Evaluation of the efficacy of anti-inflammatory gel including drugs based on bischofite mineral and titanium molecules in the treatment of periodontal diseases. Clinical case
Evaluation of the efficacy of anti-inflammatory gel including drugs based on bischofite mineral and titanium molecules in the treatment of periodontal diseases. Clinical case
Abstract
Periodontitis is an inflammatory-destructive disease of tissues included in the periodontal complex, which is characterised by polyetiological nature. It's widespread all over the world, causing a constant search for new drugs and methods of treatment of periodontal diseases. Thus, a new mineral-containing combination of Polykatan (magnesium-containing gel based on the mineral bischofite) and Tizol (a drug based on titanium molecules), previously not used in therapeutic dentistry, can be a good addition to the standard method of periodontitis treatment. The aim of the study was to analyse a clinical case and evaluate the efficacy of 'Polycatan' and 'Tizol' gel in the treatment of moderate periodontitis. Materials and methods: an evaluation was performed before treatment, on days 3, 7, 14, 3 and 6 months after completion of therapy, by determining periodontal and hygienic indices. Bacteriological examination from the deepest periodontal pocket before and after treatment was also carried out. The treatment was done with the combined use of standard technique with daily application of 'Polycatan' and 'Tizol' gel for 5 visits. Conclusion: clinical examination showed positive dynamics of all index indicators, rapid reduction of inflammation in periodontal tissues, rapid elimination of painful and unpleasant sensations in the patient. There was a decrease in opportunistic flora and an increase in the number of resident flora, which indicates the antibacterial effect of the gel.
1. Введение
Частота выявления заболеваний пародонта неизменно остается на высоком уровне. Во всем мире заболевания пародонта занимают 11 место среди остальных соматических патологий и 2 место после кариеса среди стоматологических болезней . Для пародонтита характерна дистрофия костной ткани смешанного характера в результате воспалительного процесса, основным триггером которого является микробиота зубной бляшки . Сложность лечения воспалительных заболеваний пародонта заключается в его полиэтиологичном происхождении, на ряду с микробным фактором, выделяют влияние иммунного ответа организма, наличие коморбидных патологий, наследственный фактор, анатомического строения челюстно-лицевой области и наличие вредных привычек , . Мультифакторная теория этиологии, отсутствие у пациентов знаний и мотивационного компонента, неправильно выбранная тактика лечения врачом или отсутствие возможности проведения каких-либо манипуляций объясняет лидирующую позицию пародонтита среди патологий полости рта. Широкое распространение подчеркивает актуальность поиска новых методов лечения, совершенствование уже существующих и доказано эффективных методов и препаратов .
Лечение заболеваний пародонта носит комплексный характер . На сегодняшний день главной целью терапии воспалительных заболеваний пародонта является деструкция зубной бляшки и уничтожение находящихся в ней микробов путем воздействия звуковых, ультразвуковых, воздушно-абразивных приборов, а также наборов для ручного метода очищения над- и поддесневой области. В соответствии с клиническими рекомендациями терапия дополняется назначением антисептических, антибактериальных, нестероидных противовоспалительных препаратов по показаниям. Также отводится важная роль препаратам, направленных на коррекцию иммунного ответа. Хорошо зарекомендовали себя в клинической практике воздействия на десну низкочастотным лазерным светом и клеточная плазмотерапия . Однако все препараты и методы имеют строгие показания и в ряде случаев не могут применяться у отдельных групп людей. В таком случае хорошей альтернативой может выступить комбинированный противовоспалительный гель «Поликатан и Тизоль», отдельные компоненты которого показали свою эффективность в лечении патологий полости рта, в том числе воспалительных заболеваний десен (Поликатан). Так Поликатан (патент РФ №2053774 от 10.02.1996) оказывает следующие эффекты: снимает воспаление (противовоспалительный), отек (противоотечный); способствует нормализации состава микрофлоры пародонтальных карманов, угнетению роста патогенной флоры (антимикробный, антисептический); стимулирует иммунный тканевой ответ (иммунотропный); снижает время удаления девитализированных тканей (протеолитический) . В свою очередь Тизоль («Тизоль®» МЗ РФ (Р № 001667/01-010807)) наряду с похожими свойствами как у Поликатан, дополнительно устраняет боль и зуд (обезболивающий и противозудный эффект), улучшает оксигенацию тканей, является сильнейшим транскутаным проводником . Синергия двух препаратов может значительно повысить успех терапевтического лечения воспалительных заболеваний пародонта.
2. Методы и принципы исследования
За стоматологической помощью обратился пациент А. 40 лет (1984г.). Его беспокоила боль различной интенсивности в области передних зубов верхней и нижней челюстей, ощущение неприятного запаха изо рта, появление крови во время чистки зубов, иногда при употреблении жесткой пищи.
В анамнезе жизни — пациент считает себя здоровым, у других специалистов не наблюдается.
При сборе анамнеза заболевания выяснено, что ранее пациенту не проводилось лечение тканей пародонта, неприятные ощущения появились около года назад, к врачу не обращался, дома периодически применял ополаскиватели для полости рта разных фирм, наносил на десна противовоспалительные гели, улучшений не отмечал.

Рисунок 1 - Клиническая картина до лечения

Рисунок 2 - Пародонтологический вкладыш до лечения

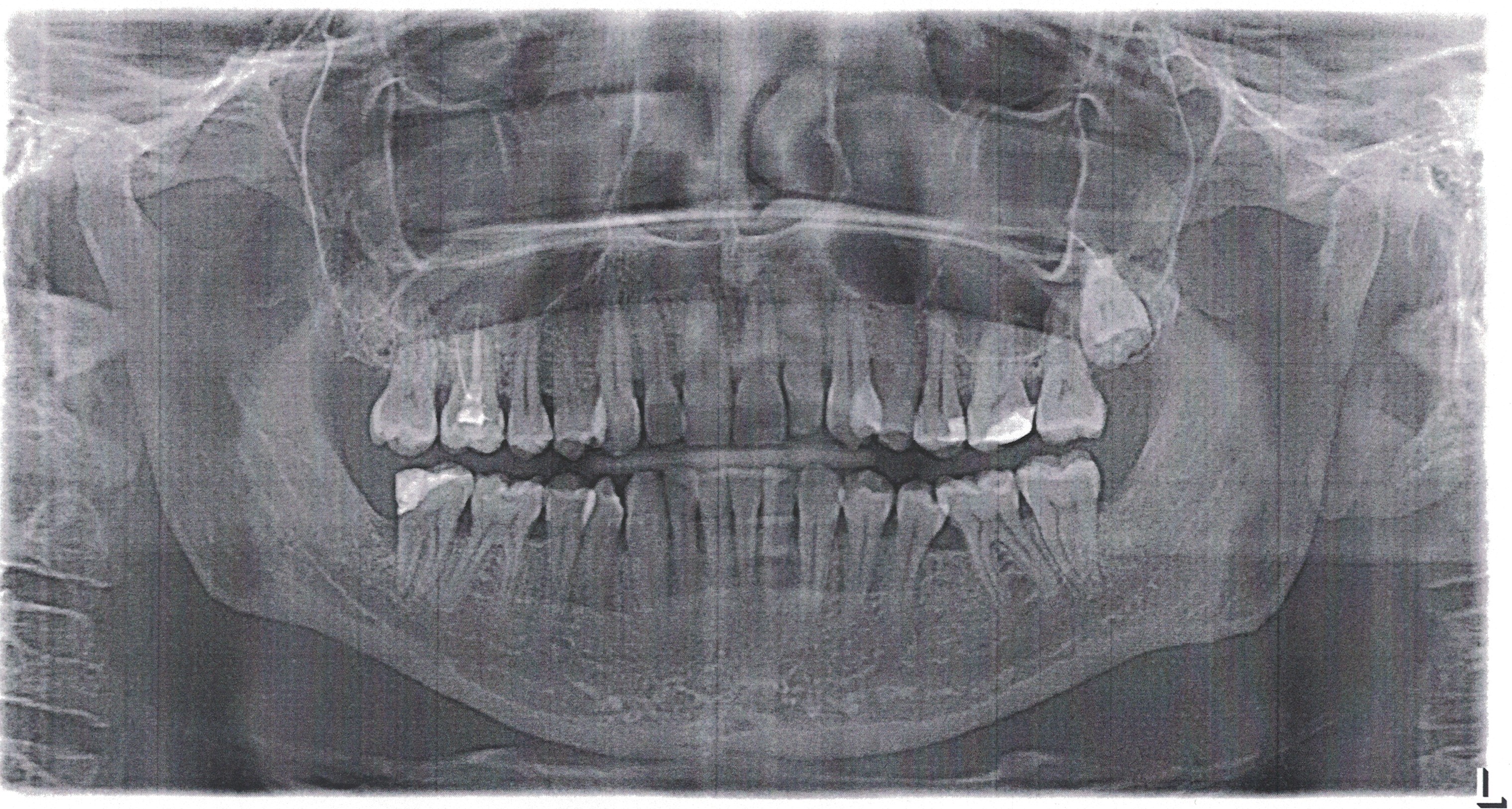
Рисунок 3 - Ортопантомограмма пациента до лечения
При бактериальном посеве содержимого самого глубокого пародонтального кармана до начала терапии наблюдалось превалирование условно-патогенной флоры, наблюдалось нарушение баланса микрофлоры. Были высеяны: Streptococcus mutans -4*107 КОЕ/мл, Streptococcus mitis — 5*1012 КОЕ/мл, Streptococcus salivarius — 4*104 КОЕ/мл; Lactobacillus spp. — 5*1014 КОЕ/мл. Neisseria spp., патогенная флора и Candida spp. не были выявлены.
Пациенту была применена следующая схема лечения:
1. Проведение профессиональной гигиены полости рта.
2. Нанесение комбинированного геля тонким слоем на десну, легкими массажными движениями внесения препарата в пародонтальные карманы.
3. Экспозиция 15 минут.
4. После процедуры рекомендовали исключить прием пищи в течении 30–60 минут, для полного всасывания препарата.
5. Процедуру повторяли ежедневно или через 1 день, в течение 5–7 посещений.
В первую очередь проводилось обучение гигиене полости рта, с подбором индивидуальных средств. Пациенту удалили мягкий зубной налет (щеточкой и пастой для профессиональной гигиены полости рта). Над- и поддесневые твердые зубные отложения удаляли по средствам ультразвукового аппарата и воздушно-абразивного способа. Пародонтальные карманы обработаны зоноспецифическими кюретами Грейси. Далее медикаментозная обработка пародонтальных карманов раствором Хлоргекседина 0,02% и обработка десен раствором Ротокан, с целью остановки кровотечения. После наносили гель «Поликатан и Тизоль» на десну тонким слоем и легкими массажными движениями нагнетали в пародонтальные карманы, экспозиция 15 минут.
3. Основные результаты

Рисунок 4 - Пародонтологический вкладыш 3 день терапии

Рисунок 5 - Пародонтологический вкладыш 7 день терапии

Рисунок 6 - Клиническая картина на 7 день терапии

Рисунок 7 - Пародонтологический вкладыш 14 день терапии

Рисунок 8 - Клиническая картина на 14 день, после начала терапии

Рисунок 9 - Пародонтологический вкладыш (3 месяца после окончания лечения)

Рисунок 10 - Пародонтологический вкладыш (через 6 месяцев после завершения лечения)
4. Обсуждение
На 3 день терапии по полученным показателям можно говорить о том, что пациенту эффективно провели гигиену полости рта, сам он успешно обучен и воспалительные процессы в тканях пародонта стремительно уменьшаются.
На 7 день терапии по объективным данным и индексным показателям наблюдается стойкое снижение воспалительного процесса и восстановления тканей пародонта.
На 14 день после начала лечения анализ полученных данных выявил продолжение снижения воспалительного процесса. А результаты повторного бактериологического исследования свидетельствуют об антибактериальном действии геля «Поликатан и Тизоль».
Через 3 месяца у пациента сохраняется положительная динамика, однако локально появляется кровоточивость при инструментальном обследовании, что говорит об ухудшении навыков очищения полости рта.
Через 6 месяцев низкие показатели пародонтологических индексов говорят об эффективном противовоспалительном действии геля «Поликатан и Тизоль», а также его влиянии на пролонгирование ремиссии.
5. Заключение
В результате применения комбинированного геля «Поликатан и Тизоль» при лечении хронического генерализованного пародонтита средней степени тяжести достоверно снизились показатели гигиенических и пародонтологических индексов, улучшились субъективные ощущения пациента в короткие сроки (на 3 день полностью отсутствовала боль и дискомфортные ощущения), значительно снизился отек и кровоточивость десны. Ушла рыхлость десны, в области отдельных групп зубов эпителиальное прикрепление стало более плотным. Во время проведения процедуры пациент не испытывал болевых ощущений. Аллергических и побочных реакций не отмечено.
Полученные данные позволяют делать выводы об эффективности применения минералсодержащего комбинированного геля «Поликатан и Тизоль» в лечении воспалительных заболеваний пародонта и рекомендовать его для более широкого использования в клинической практике врачей стоматологов.
