EVALUATION OF THE INDUCED MEMBRANE STATE DURING TREATMENT OF TUBULAR BONE DEFECTS WITH PRP IN EXPERIMENT
EVALUATION OF THE INDUCED MEMBRANE STATE DURING TREATMENT OF TUBULAR BONE DEFECTS WITH PRP IN EXPERIMENT
Abstract
The Masquelet induced membrane technique, which requires two surgical steps and provides the formation of a biological structure secreting growth factors, is an example of a modern personalised approach to the treatment of posttraumatic tubular bone defects. However, the technique needs the development of effective treatment schemes and clinical observations. One possible addition to this technique is the use of autologous platelet-rich plasma (PRP therapy). The aim of the study was the morphological evaluation of the induced membrane state in the treatment of posttraumatic defects of tubular bones using PRP in experiment. On the experimental model of the bone defect created by the authors on 24 rabbits the study of the induced membrane state at the terms of 2, 3, 4 and 6 weeks with the use of bone cement for the control group and cement with the addition of PRP for the experimental group was carried out. At the second week after defect formation, the newly formed membrane was represented by a tissue matrix with the presence of collagen fibres and a small number of vessels. In the fourth week, newly formed vessels predominated, and in the sixth week, connective tissue fibres predominated in the formed, well-vascularised membrane. In the study of membrane proliferative activity both at early and late terms of the experiment, significantly higher values of proliferation index were observed in the groups with PRP application than in the control groups. No statistically significant differences were found between the early terms of the experiment in terms of proliferation index between the experimental group with PRP application and the control group. When neoangiogenesis was studied, the late phase of vascularisation in the group with PRP was characterised by statistically significant differences from the control and, accordingly, higher values of the studied indices. Adding the use of autologous platelet-rich plasma (PRP therapy) to the Masquelet method in the surgical treatment of large diaphyseal defects of long bones can be effective because it improves the quality of the formed membrane, increases its proliferative activity, and maintains vascularisation even in later follow-up periods.
1. Введение
В последние годы аутологичная богатая тромбоцитами плазма (PRP-терапия) стала широко использоваться в терапии различных заболеваний, что обусловлено её эффективностью и универсальностью. PRP демонстрирует свойства биологического стимулятора, способствующего регенерации тканей благодаря наличию различных факторов роста в тромбоцитах , . Данная тромбоцитарная аутоплазма модулирует и регулирует функциональную активность первичных факторов роста, таких как инсулиноподобный фактор роста (IGF), тромбоцитарный фактор роста (PDGF), эпидермальный фактор роста (EGF), фибробластный фактор роста (FGF), «семейство» трансформирующего фактора роста бета (TGF-b), тромбоцитарный фактор роста эндотелиальных клеток (PDEGF), способствующие ангиогенезу ростовые факторы эндотелия сосудов (VEGF и PDAF), а также плацентарные ростовые факторы PLGF-1/-2. PDGF играет ключевую роль в активации пролиферации и миграции мезенхимальных остеогенных клеток, а также в стимулировании процессов ангиогенеза. IGF содействует дифференцировке молодых клеток, увеличивая образование костной ткани и синтез коллагена. TGF-b осуществляет дифференциацию мезенхимальных клеток и способствует выделению трансформирующих факторов роста костных морфогенетических белков , , . Метод PRP-терапии положительно зарекомендовал себя, продемонстрировал эффективность не только в области косметологической хирургии и стоматологии, но также и в лечении различных заболеваний, включая патологии костно-мышечной системы.
В настоящее время наблюдается значительное расширение перечня нозологий, для которых в практике травматологов и ортопедов находит прменение аутологичная богатая тромбоцитами плазма (PRP). Однако данная методика требует разработки эффективных схем лечения и клинических наблюдений. Совершенствование современного персонифицированного подхода к терапии посттравматических дефектов трубчатых костей подчеркивает необходимость сравнительной оценки эффективности различных хирургических технологий, направленных на санацию и пластику дефектов костной ткани. Одним из таких методов является техника индуцированной мембраны по Masquelet, которая включает в себя выполнение двух хирургических этапов и способствует формированию биологической структуры, секретирующей факторы роста, предотвращающей резорбцию аутотрансплантата и выполняющей роль надкостницы. Применение данной методики является надежным в экстренных ситуациях или при наличии септического состояния, когда возможность лечения костного дефекта путем укорочения отсутствует. Использование PRP при исполнении этой техники может помочь многократно повысить указанные свойства и, таким образом, улучшить результаты лечения пациентов.
Цель исследования: Дать морфологическую оценку состояния индуцированной мембраны при лечении посттравматических дефектов трубчатых костей с применением PRP в эксперименте.
2. Методы и принципы исследования
Для проведения экспериментального исследования была разработана модель, предназначенная для реализации подходов двухэтапной костной пластики дефектов трубчатых костей. В рамках данного метода на кроликах, находившихся под наркозом, создавали костной дефект в проксимальной метаэпифизарной области большеберцовой кости. Доступ к исследуемой зоне осуществлялся с помощью продольного разреза, выполненного по медиальной поверхности, и включал предварительное послойное рассечение кожи, подкожной клетчатки и фасции длиной 3 см. Для создания дефекта использовалась острая фреза, что минимизировало риск механического повреждения окружающей костной ткани. Размеры формируемого костного дефекта составили 8x2x2 мм, что обеспечивало необходимую механическую стабильность сегмента и снижало вероятность перелома в зоне дефекта. Заполнение дефекта производили с использованием костного цемента Synicem 1G с гентамицином. В результате проведенного гистологического исследования было установлено, что разработанная модель обеспечивала формирование дефекта трубчатой кости и подтверждено формирование индуцированной мембраны при предложенном виде экспериментальной модели на различных интересующих нас сроках исследования .
С использованием этой модели было проведено исследование, включающее изучение экспериментального материала от 24 взрослых кроликов породы «Серый великан» 6–8-месячного возраста весом от 1800 до 2100 граммов. Исследование было выполнено в отделении экспериментальной хирургии с виварием ФГБОУ ВО «ПИМУ» Минздрава России в соответствии с требованиями «Европейской конвенции о защите позвоночных животных, используемых для экспериментов или в иных научных целях» (Страсбург, 2014) на разных сроках (2, 3, 4, 6 недель) с применением костного цемента Synicem 1G (Synimed, France) у 12-ти животных контрольной группы и цемента с добавлением РRP у 12-ти животных экспериментальной группы. Задачами исследования стало изучение состояния индуцированной мембраны у кроликов на различных сроках. Процедура получения PRP состояла из следующих этапов: забор крови в ёмкость с антикоагулянтом, центрифугирование крови, выделение плазмы с высокой концентрацией тромбоцитов, активация тромбоцитов. Полученный препарат доставляется в целевую область путём аппликации. Для забора крови использовались специальные коммерческие наборы для PRP.
Экспериментальных животных содержали в стандартных условиях вивария, размещенными в клетках с обеспечением свободного доступа к пище и воде. Все манипуляции проводили в соответствии с приказом Минздравсоцразвития России № 708н от 23.08.2010 «Об утверждении правил лабораторной практики». Исследование одобрено локальным этическим комитетом «ПИМУ» Протокол № 16 от 21.10.2022. Выведение животных из эксперимента осуществляли воздушной эмболией под наркозом: КсилаВет (Pharmamagist Ltd, Венгрия) и 1,0 мл Золетил (Virbac Sante Animale, Франция).
Полученный экспериментальный материал фиксировали в растворе нейтрального 10% формалина и отправляли на гистологическое исследование в лабораторию патоморфологии университетской клиники ФГБОУ ВО «ПИМУ» Минздрава России.
Костную ткань подвергали декальцинации в бескислотном растворе MoL-DECALCIFIER (Italy). Стандартную парафиновую гистологическую проводку осуществляли на аппарате Excelsior ES (Thermo Scientific, СШA). После проводки изготавливали парафиновые блоки с использованием заливочной станции HistoStar (Thermo Scientific, СШA). Срезы толщиной 4–6 мкм получали на микротоме Microm HM 325 (Thermo Scientific, СШA). Полученные препараты окрашивали гематоксилином и эозином при помощи станции для окраски Gemini AS (Thermo Scientific, СШA).
В ходе исследования гистологического материала использованы обзорные окраски: гематоксилином и эозином и трихромом по Массону с анилиновым синим (набор Biovitrum, Россия), а также иммуногистохимическое исследование неоангиогенеза биологической мембраны с применением первичных антител к CD31 (PECAM-1, мышиное антитело, клон GM006, ПраймБиоМед), иммуногистохимическое исследование пролиферативной активности мембраны с применением первичных антител к Ki-67 (мышиное антитело, clon MIB-1, Dako). В качестве вторичных антител был использован реагент MACH 2 Double Stain 2 (Italy), который включает конъюгат goat anti-mouse polymer horseradish peroxidase (HRP). Сигнал регистрировали по реакции с диаминобензидином (ДАБ) в течение 10 минут, срезы контрастировали гематоксилином. Подсчет пролиферативной активности клеток проводили путем определения среднего количества Ki-67 позитивных клеток в 10 полях зрения, при увеличении Х400. Подсчет активности неоангиогенеза проводили путем определения количества новообразованных сосудов при окраске гематоксилином и эозином, а также определения среднего количества CD-31 позитивных клеток в 10 полях зрения при увеличении Х400.
Подсчет относительного содержания коллагеновых волокон в срезах производили измерением площади окрашенных анилиновым синим волокон. Для данного анализа использовали программу ImageJ, ver. 1.53q (США, 2022). Нормализованные изображения сохраняли в 8-битном tiff-формате. Далее производили настройку порога серого, чтобы коллагеновые структуры становились максимально контрастными. После всех преобразований максимальная яркость наблюдалась у коллагеновых волокон, окрашенных в синий цвет анилиновым синим. После калибровки программы в мкм переходили к подсчету площади выделенных структур. Таким образом, были подсчитаны общая площадь коллагеновых волокон в мкм2 в поле зрения и процентное содержание данных структур относительно всей площади фотографии.
Статистический анализ проводили с использованием программного обеспечения Stаtistiсa 10.0 (StatSoft Inc., США). Поскольку числовые переменные не удовлетворяли условиям параметрического тестирования при статистическом анализе данных использовались непараметрические критерии. Описательный анализ был представлен в виде медианных значений (нижний квартиль — верхний квартиль). Для сравнения двух независимых групп числовых переменных использовался U-критерий Манна-Уитни. При значении p≤0,05 отличия между группами считались статистически значимыми.
3. Основные результаты
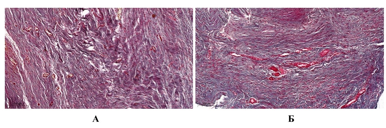
Оценка относительного количества соединительнотканных волокон проводилась с использованием окраски трехцветным методом по Массону (Рис.1). Гистологический анализ соединительной ткани показал следующее. При исследовании мембраны в экспериментальном материале было установлено, что она состояла из васкуляризированного матрикса на основе коллагена, однако, в зависимости от сроков эксперимента и, соответственно, её созревания, интенсивность васкуляризации, либо развития соединительной ткани, различались. Через 2 недели после начала эксперимента новообразованная мембрана была представлена тканевым матриксом с присутствием коллагеновых волокон и небольшим количеством сосудов. На четвертой неделе преобладали новообразованные сосуды, на шестой неделе эксперимента в сформированной, хорошо васкуляризированной мембране преобладали соединительнотканные волокна.

Рисунок 1 - Соединительнотканные волокна в остеоиндуцированной мембране на 4 неделе эксперимента:
А – контрольная группа с костным цементом; Б – экспериментальная группа группа «цемент+ PRP»
Примечание: окраска трихромом по Массону, Х200
Таблица 1 - Морфологическая оценка развития соединительной ткани индуцированной мембраны на разных сроках исследования в эксперименте
Срок эксперимента, недели | Площадь среза, занятая коллагеновыми волокнами | |
Контрольная группа «костный цемент», % | Экспериментальная группа «цемент+PRP», % | |
2 | 15 | 20 |
3 | 20 | 22 |
4 | 20 | 25* |
6 | 35 | 28* |
Примечание: * - статистически значимые отличия значений исследуемого показателя в экспериментальной группе «цемент+PRP» от контрольной группы «костный цемент» (p≤0,05)
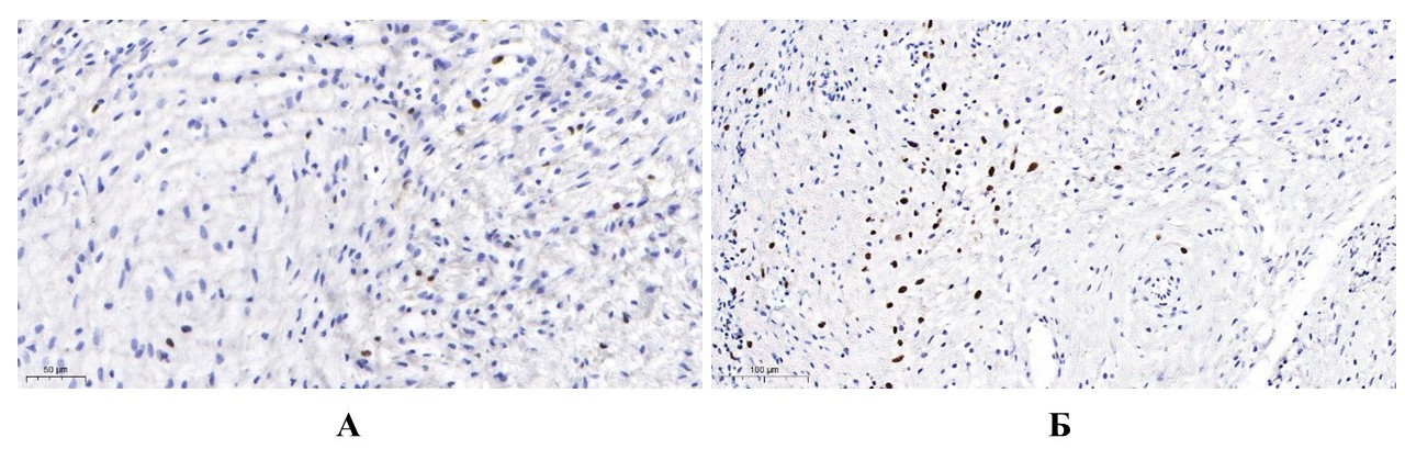
При исследовании Ki-67 было установлено, что медиана индекса пролиферации составила 3% [2,75; 4,5] в группе контроль и 5% [4,75; 6,25] в группе с использованием PRP в первые две недели после начала эксперимента (Таблица 2). На третьей неделе индекс пролиферации составил 7% [3,45; 8,25] в контрольной группе и 15% [12,36; 22,75] в группе с дополнительным использованием PRP. На четвертой неделе после начала эксперимента индекс пролиферации в контрольной и экспериментальной группе выросли вдвое и их значения составили 14% [11,35; 22,55] и 30% [23,25; 33,35], соответственно. В завершении эксперимента, на 6 неделе исследования, индекс пролиферации составил 10% [6,95; 15,35] в контроле и 28% [17,35; 29,45] в экспериментальной группе с PRP. Как на ранних, так и на поздних сроках в группах «цемент+PRP» наблюдались значительно более высокие значения индекса пролиферации, чем в контрольных группах (р=0,005 и р=0,006 соответственно). Не было выявлено статистически значимых отличий между ранними сроками исследования в отношении индекса пролиферации как в группе c PRP, так и в контрольной группе (p=0,87 и p=0,16 соответственно) (Рис. 2).
Таблица 2 - Морфологическая оценка пролиферативной активности Ki-67 индуцированной мембраны на разных сроках исследования в эксперименте
Срок эксперимента, недели | Морфометрическая оценка пролиферативной активности | |
Контрольная группа «костный цемент», % | Экспериментальная группа «цемент+PRP», % | |
2 | 3 | 5 |
3 | 7 | 15* |
4 | 14 | 30* |
6 | 10 | 28* |
Примечание: * - статистически значимые различия группы «цемент+PRP» относительно контрольной группы «костный цемент» (p≤0,01)

Рисунок 2 - Пролиферативная активность клеток в остеоиндуцированной мембране на 4 неделе эксперимента:
А – группа «костный цемент»; Б – группа «цемент+PRP»
Примечание: иммуногистохимическая реакция с антителами к Ki-67, Х200
Таблица 3 - Морфологическая оценка CD31 позитивных клеток индуцированной мембраны на разных сроках исследования в эксперименте
Срок эксперимента, недели | Морфометрическая оценка неоангиогенеза | |
Контрольная группа «костный цемент» | Экспериментальная группа «цемент+PRP» | |
2 | 10 | 15 |
3 | 14 | 25 |
4 | 28 | 35* |
6 | 17 | 30* |
Примечание: * - статистически значимые различия группы «цемент+PRP» относительно контрольной группы « костный цемент» (p≤0,05)

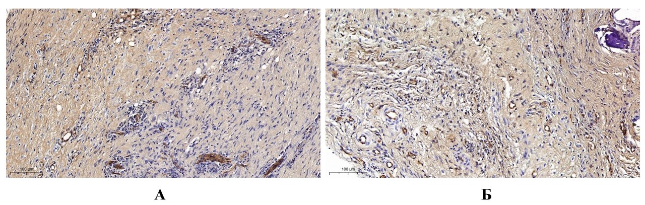
Рисунок 3 - CD31 позитивные клетки в остеоиндуцированной мембране на 4 неделе эксперимента:
А – контрольная группа «костный цемент»; Б – экспериментальная группа «цемент+PRP»
Примечание: иммуногистохимическая реакция с антителами к CD31, Х 200
4. Обсуждение
Индекс пролиферации в индуцированной мембране был значительно выше в экспериментальной группе с дополнительным использованием PRP по сравнению с контрольной группой как на ранней, так и на поздней стадиях эксперимента (p=0,005 и p=0,006 соответственно). Henrich et al. сообщили, что индекс пролиферации на мембране был самым высоким на 2-й неделе, а на бедренной кости крысы индекс пролиферации статистически значимым образом снижался со 2-й по 6-ю неделю. В бедренной кости кролика не было обнаружено снижения пролиферации. Высокие значения индекса пролиферации в группах, получавших PRP, можно интерпретировать как увеличение пролиферации макрофагов. CD31 относится к семейству иммуноглобулинов и в норме содержится в эндотелии сосудов на высоком уровне. Доказано, что он играет важную роль в формировании новых сосудов . Васкуляризация (CD31) была значительно выше в группе c применением PRP по сравнению с контрольной группой на поздних стадиях (p=0,004 для обеих групп). Оказалось, что PRP предотвращал снижение васкуляризации на поздней стадии, по сравнению с контрольной группой. Результаты текущего исследования контрольной группы соответствуют результатам исследования Henrich et al. , которые сообщили, что васкуляризация и остеогенная активность были максимальными через две-четыре недели и снижались через шесть недель. PRP содержит VEGF в высокой концентрации, который, как известно, индуцирует ангиогенез и играет важную роль в регуляции васкулогенеза , . Это объясняет продолжающуюся васкуляризацию через 6 недель в группах, получавших PRP.
5. Заключение
Добавление использования аутологичной богатой тромбоцитами плазмы (PRP-терапия) к методу Masquelet при хирургическом лечении больших диафизарных дефектов длинных костей может быть эффективным, поскольку способствует повышению качества формируемой мембраны, ее пролиферативной активности, а также поддержанию васкуляризации даже в более поздние сроки наблюдения.
