ANATOMICAL ASPECTS OF PRENATAL DIAGNOSIS OF DENDY-WALKER ANOMALY BY MAGNETIC RESONANCE IMAGING. A CLINICAL CASE
ANATOMICAL ASPECTS OF PRENATAL DIAGNOSIS OF DENDY-WALKER ANOMALY BY MAGNETIC RESONANCE IMAGING. A CLINICAL CASE
Abstract
The aim is to study anatomical aspects of prenatal diagnosis of Dendy-Walker anomaly by magnetic resonance imaging.
The study was conducted in the Department of Radiation Diagnostics of the Regional Clinical Hospital №2 in Rostov-on-Don. Dendy-Walker anomaly was diagnosed in a foetus at 24 weeks of pregnancy using magnetic resonance imaging.
The anatomical parameters for diagnosing the variant of Dendy-Walker anomaly in a foetus at 24 weeks of pregnancy according to magnetic resonance imaging data are reviewed: reduction of the interhemispheric size — 21 mm and the transverse diameter of the cerebellum — 20 mm, widening of the interhemispheric cerebellar slit up to 9 mm, widening of the cerebellopontine cistern up to 8.5 mm, combination with agenesis of the corpus callosum.
Magnetic resonance imaging allows the determination of anatomical parameters of the anomaly: the size and configuration of the cerebellum (interhemispheric size, transverse diameter, diameter of the interhemispheric fissure), the size of the cerebellar cistern in different planes in early pregnancy. The detailed anatomical aspects of Dendy-Walker anomaly may improve the quality of diagnosis.
1. Введение
Частота встречаемости аномалии Денди-Уокера составляет 1 случай на 15000 среди новорожденных
. К анатомическим критериям аномалии относят агенезию (либо гипоплазию) червя мозжечка, кисту задней черепной ямки, гидроцефалию . Развитие аномалии обусловлено нарушением эмбрионального развития червя мозжечка и циркуляции ликвора в головном мозге плода. В норме червь мозжечка образуется из мозжечковой пластины на 12 неделе эмбриогенеза. На 15–16й неделях эмбрионального развития в области боковых карманов формируются латеральные апертуры IV желудочка (отверстия Люшки), в нижнем углу ромбовидной ямки — срединная апертура IV желудочка (отверстие Мажанди). При закупорке апертур IV желудочка нарушается отток ликвора, расширяются подпаутинные пространства (преимущественно за счет расширения мозжечково-мозговой цистерны) и желудочки мозга, что приводит к окклюзионной гидроцефалии. Окклюзионная гидроцефалия способствует деформации червя мозжечка и его смещению. Расширение IV желудочка и появление сообщения между ним и задней черепной ямкой приводит к развитию ее кисты .На скрининговом ультразвуковом исследовании (УЗИ) во втором триместре беременности впервые проводится оценка размеров мозжечка, желудочков мозга и мозжечково-мозговой цистерны
. При подозрении на аномалию развития головного мозга для уточнения диагноза показано проведение магнитно-резонансной томографии (МРТ) . Учитывая, что научно-исследовательских работ по фетальной анатомии головного мозга на основе данных современных методов медицинской визуализации недостаточно, имеющиеся в литературе сведения обуславливают необходимость углубленного изучения закономерностей развития аномалий уже в ходе пренатальной диагностики.Цель — изучить анатомические аспекты аномалии Денди-Уокера по данным МРТ плода.
2. Клинический случай
В консультативную поликлинику Областной клинической больницы № 2 г. Ростова-на-Дону 25 ноября 2021 года была направлена женщина С. 34 лет. Из анамнеза известно, что беременность третья, двое родов естественным путем. УЗИ на 11 неделе по месту жительства данной аномалии развития не выявило. На скрининговом УЗИ (20 неделя эмбрионального развития) отмечалась нечеткая визуализация червя мозжечка, расхождение полушарий мозжечка, прерывистое мозолистое тело. Для получения более точной информации была рекомендована и выполнена магнитно-резонансная томография головного мозга плода.

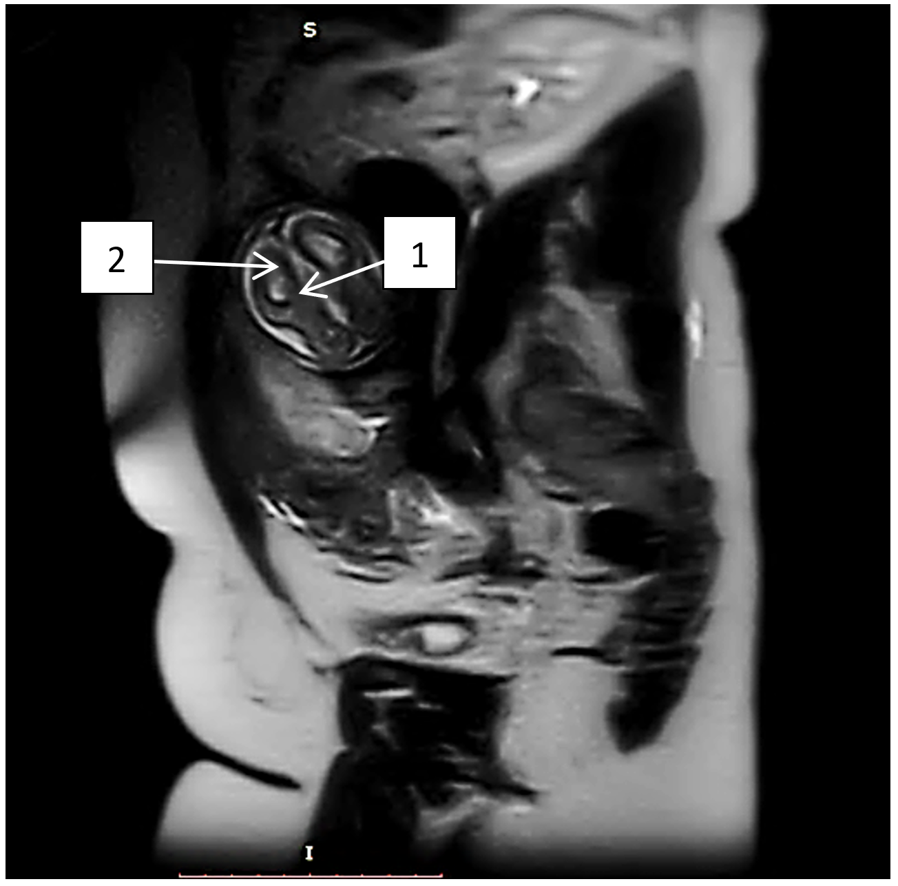
Рисунок 1 - МРТ плода в сагиттальной проекции Т2 ВИ:
1 - агенезия мозолистого тела; 2 - расширение межполушарной щели

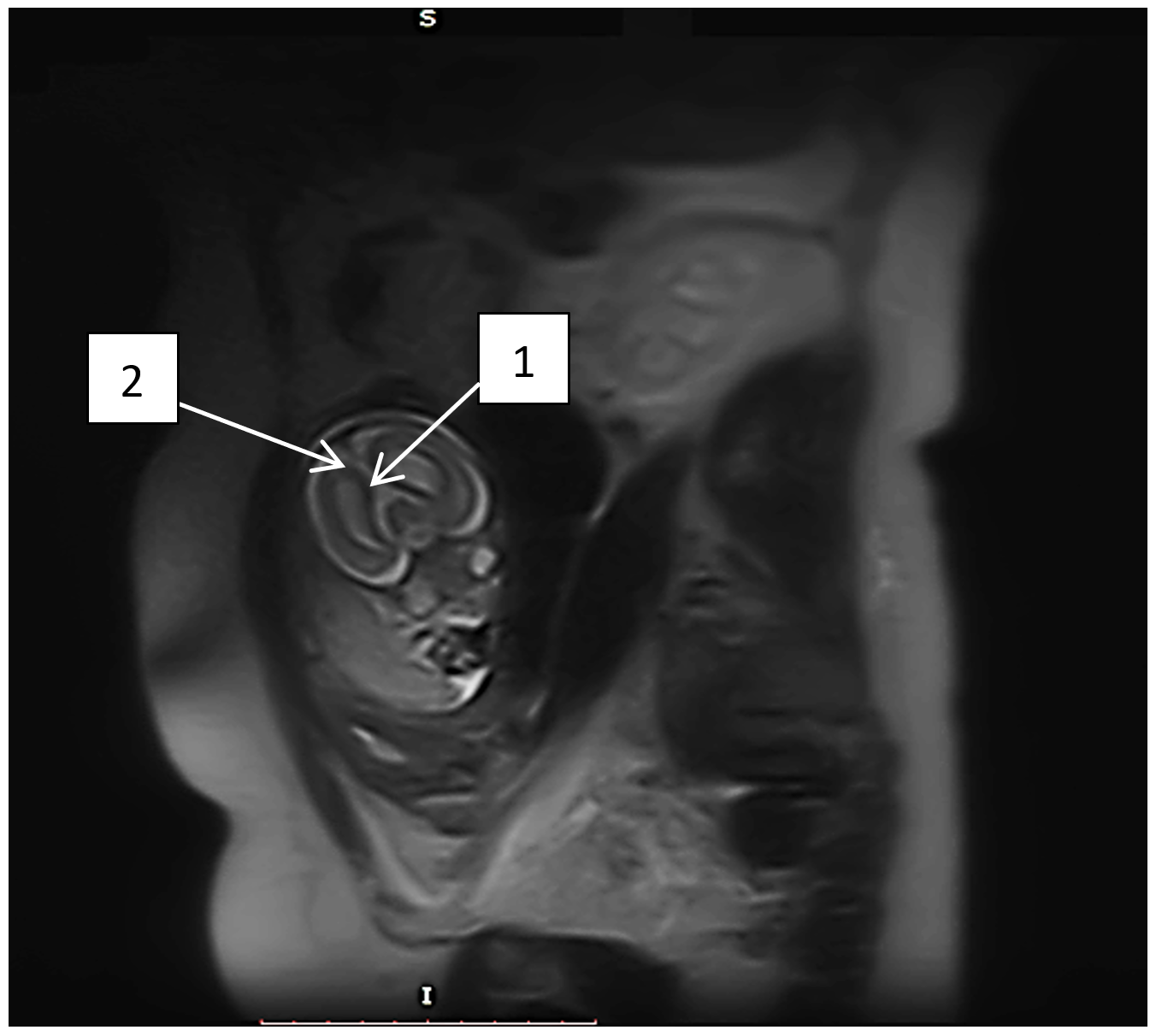
Рисунок 2 - МРТ плода в сагиттальной проекции Т2 ВИ:
1 - агенезия мозолистого тела; 2 - расширение межполушарной щели

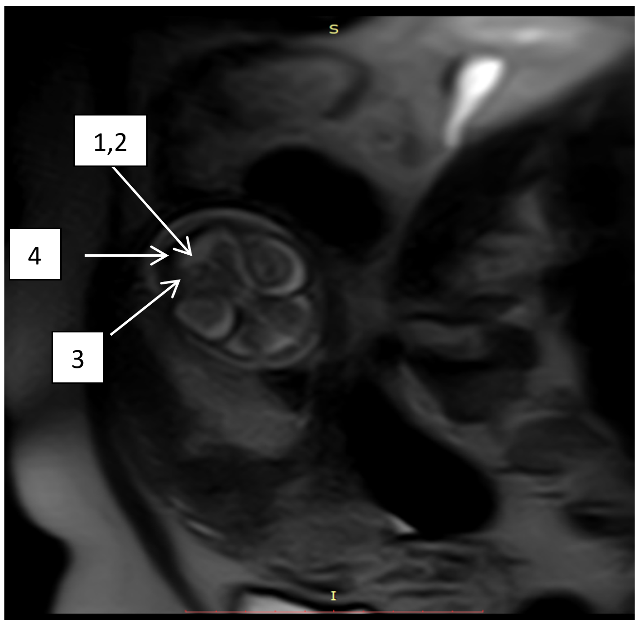
Рисунок 3 - МРТ плода в сагиттальной проекции Т2 ВИ:
1 - гипоплазия червя мозжечка; 2 - расширение межполушарной щели мозжечка; 3 - уменьшение межполушарного диаметра мозжечка; 4 - расширение мозжечково-мозговой цистерны
3. Обсуждение
По итогам работы с научной литературой нами не были получены данные о частоте встречаемости аномалии Денди-Уокера в Ростовской области. Проведя ретроспективный анализ за последние 10 лет имеющегося архива МРТ-исследований отделения лучевой диагностики Областной клинической больницы №2, обнаружены один клинический случай синдрома Денди-Уокера, диагностированный на вторые сутки у новорожденного
, а также представленный в данной работе единственный случай пренатальной диагностики исследуемой аномалии у плода. Учитывая, что данная аномалия развития встречается крайне редко, приведенные данные о ее анатомических аспектах могут представлять научный и практический интерес для анатомов и клиницистов.На современном этапе изучения анатомии головного мозга плода наряду с секционными доступами, широко используются прижизненные методы визуализации, в том числе УЗИ, МРТ. Внедрение в клиническую практику методов прижизненной визуализации позволяет изучать анатомию головного мозга плода на различных сроках беременности, открывает перспективы для внедрения анатомических знаний в клиническую практику врачей различных специальностей: неврологов, нейрохирургов, педиатров, неонатологов. Возможности пренатального УЗИ позволяют визуализировать аплазию либо гипоплазию червя мозжечка, крупное кистозное образование в области задней черепной ямки, расширение и деформация межполушарной щели мозжечка, увеличение размеров и деформация желудочков мозга
. Однако визуализация анатомических структур IV желудочка с использованием ультразвукового метода на ранних сроках беременности затруднена. Анализ литературы показал, что с помощью УЗИ диагностика данной аномалии возможна преимущественно на 32–33-й неделях гестации, возможности метода позволили диагностировать аномалию лишь у 4% обследованных на 15–16-й неделях внутриутробного развития . Возможности МРТ значительно шире: метод позволяет визуализировать анатомические структуры в разных плоскостях на ранних сроках беременности, что позволяет считать данный метод исследования приоритетным для диагностики аномалии Денди-Уокера .Согласно классификации, базирующейся на результатах МРТ диагностики, позволяющей выделять различные формы аномалии , в данной работе описана форма, соответствующая варианту Денди-Уокера. Возможности метода показали выраженную гипоплазии червя мозжечка (уменьшение передне-заднего и межполушарного размеров червя и поперечного диаметра мозжечка), расширение мозжечково-мозговой цистерны, представляющей собой расширение подпаутинного пространства между задним краем мозжечка и продолговатым мозгом, сообщение мозжечково-мозговой цистерны с IV желудочком, в сочетании с нормальными размерами IV желудочка и нормальными размерами задней черепной ямки, отсутствие окклюзии отверстий апертур IV желудочка, что свидетельствует о клинически более благоприятной форме аномалии — варианте Денди- Уокера. Мозжечково-мозговая цистерна сообщается с IV желудочком срединным и двумя боковыми отверстиями в нижнем мозговом парусе, а также прилегает к задней и боковым отделам продолговатого мозга, сообщаясь с расположенным позади ее подпаутинным пространством спинного мозга. Вследствие связи мозжечково-мозговой цистерны с другими отделами подпаутинного пространства ее расширение может нарушить ликвородинамику и привести к повышению внутричерепного давления. Установленное в ходе исследования расширение межполушарной щели — пространства между полушариями головного мозга, также свидетельствует о нарушении оттока ликвора, накоплении спинномозговой жидкости между полушариями мозга, и как следствие возможном повышении внутричерепного давления. Е.А. Саркисян с соавт. (2023) установили, что аномалия Денди-Уокера в 62–70% случаях сочетается с различными аномалиями головного мозга , , в ходе данного исследования обнаружена агенезия мозолистого тела.
4. Заключение
Возможности магнитно-резонансной томографии позволяют с высокой точностью оценивать анатомические параметры аномалии в разных плоскостях на ранних сроках беременности: размеры и конфигурацию мозжечка (межполушарный размер, поперечный диаметр, диаметр межполушарной щели), размеры мозжечково-мозговой цистерны. Углубленный анализ анатомических аспектов аномалии Денди-Уокера позволит повысить качество пренатальной диагностики. Знания в области фетальной анатомии позволят адекватно интерпретировать данные магнитно-резонансной томографии мозга плода.
