A comparison of segmental and integral measurements of proton density in the lipid fraction of the liver based on magnetic resonance imaging data
A comparison of segmental and integral measurements of proton density in the lipid fraction of the liver based on magnetic resonance imaging data
Abstract
Relevance. Quantitative evaluation of liver steatosis using magnetic resonance imaging (MRI) based on the proton density of the lipid fraction is widely used in clinical practice. However, segmental heterogeneity in the distribution of lipid infiltration may affect the comparability of segmental and integral measurements and the reproducibility of local assessments.
Objective. To compare segmental and integral measurements of proton density in the lipid fraction of the liver and to evaluate the influence of the number of segments on the reproducibility of the mean hepatic value.
Materials and methods. This retrospective study included 241 patients who underwent multiparametric liver MRI with calculation of the proton density of the lipid fraction. A segmental analysis was performed using the Couinaud classification. The absolute error in reproducing the mean hepatic value was calculated when using various combinations of segments. Statistical analysis was performed using non-parametric tests and FDR correction (FDR <0,05).
Results. Segment-specific values of proton density in the lipid fraction showed variability relative to the integral value. The median absolute error of a single segment-specific measurement exceeded 1% in a number of segments. When using two segments, the median absolute error in reproducing the mean hepatic value was 0,33% [0,19; 0,70]; with three segments, it was 0,25% [0,14; 0,56] (p < 0,001). A further increase in the number of segments was accompanied by an additional reduction in error.
Conclusion. The accuracy of the integral proton density value for the lipid fraction depends on the number of segments analysed. Using three or more segments reduces the variability relative to the mean hepatic value.
1. Введение
Стеатоз печени широко распространен у пациентов с метаболическими нарушениями и может прогрессировать с формированием стеатогепатита и фиброзных изменений
. Количественная оценка стеатоза по данным МРТ на основе протонной плотности жировой фракции рассматривается как воспроизводимая неинвазивная методика количественной оценки жировой инфильтрации печени , . Ряд исследований показал высокую точность и воспроизводимость данной методики при сравнении с референсными методами оценки стеатоза , .В большинстве исследований протонная плотность жировой фракции, полученная при локальных измерениях, интерпретируется как интегральный показатель жировой инфильтрации печени
, . Однако данные МРТ свидетельствуют о неоднородности распределения жировой инфильтрации в паренхиме печени, что может влиять на сопоставимость сегментарных и интегральных значений , . Минимальные требования к количеству сегментов, обеспечивающие воспроизведение среднепеченочного показателя, изучены недостаточно , .Цель исследования — сопоставить сегментарные и интегральные измерения протонной плотности жировой фракции печени и оценить влияние количества сегментов на воспроизведение среднепеченочного значения.
2. Методы и принципы исследования
Ретроспективное исследование включило 241 пациента (131 женщина, 110 мужчин, средний возраст 50,1 ± 13,3 года), которым выполнена мультипараметрическая МРТ органов брюшной полости с количественной оценкой протонной плотности жировой фракции печени. По среднепеченочному значению протонной плотности жировой фракции 164 пациента не имели признаков стеатоза, у 60 выявлена легкая степень, у 9 — умеренная, у 8 — выраженная степень жировой инфильтрации. Стратификацию проводили по следующим порогам: отсутствие стеатоза <6,4%, стеатоз 1 степени — 6,4–17,4%, стеатоз 2 степени — 17,4–22,1%, стеатоз 3 степени — >22,1%.
Исследования проводили на магнитно-резонансном томографе Magnetom Vida (Siemens, Германия) с индукцией магнитного поля 3 Тл. Протонную плотность жировой фракции определяли по картам, полученным с применением трехмерной мультиэховой последовательности 3D VIBE q-DIXON с коррекцией T2*-затухания. Постобработку выполняли в системе Vitrea® Advanced Visualization (Canon Medical Informatics, Inc., США).
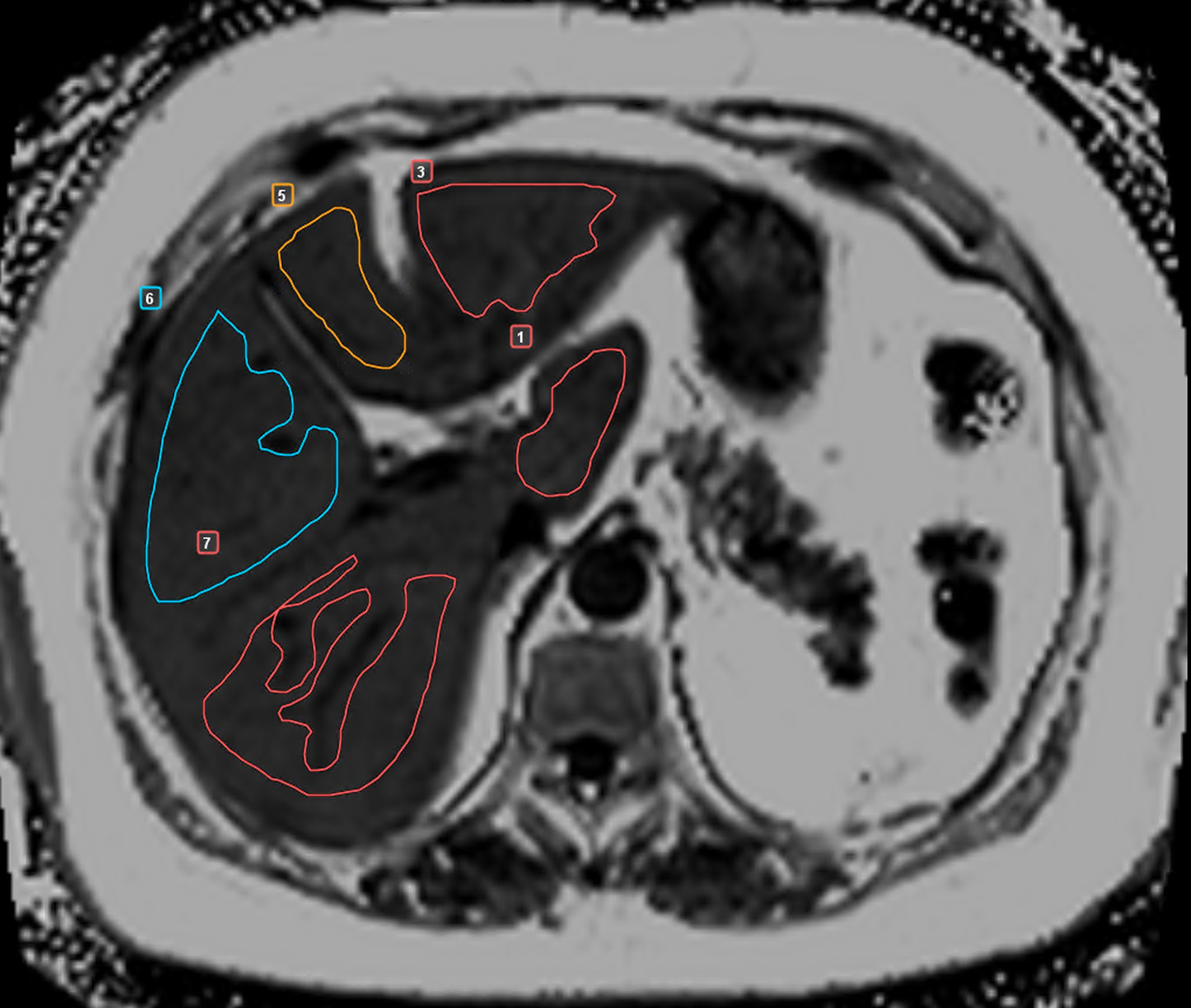
Сегментарный анализ осуществляли в соответствии с классификацией Couinaud. В каждом сегменте на аксиальных изображениях формировали зоны интереса максимальной площади с исключением сосудов, желчных протоков, очаговых образований и субкапсулярных участков (рис. 1).

Рисунок 1 - Пример измерений протонной плотности жировой фракции в S1, S3, S4b, S5 и S6 печени
Среднепеченочное значение рассчитывали как среднее по всем сегментам печени. Дополнительно анализировали различные комбинации сегментов для оценки влияния их количества на воспроизведение интегрального показателя.
Статистическую обработку выполняли в IBM SPSS Statistics 23.0. Использовали непараметрические методы: коэффициент ранговой корреляции Спирмена, критерии Манна-Уитни, Крускала-Уоллиса и Вилкоксона для связанных выборок. Согласие между сегментарными и интегральными значениями оценивали методом Бланда-Алтмана. Для учета множественных сравнений применяли коррекцию уровня значимости по методу Бенджамини-Хохберг. В анализ включали результаты при FDR <0,05.
3. Основные результаты
Сегментарный анализ протонной плотности жировой фракции выявил вариабельность значений между сегментами печени с отклонениями различной величины относительно среднепеченочного показателя (рис. 2).

Рисунок 2 - Распределение значений протонной плотности жировой фракции по сегментам печени у пациентов со стеатозом
Количественные характеристики сегментарных значений и медианы их отклонений от интегрального показателя представлены в таблице 1.
Таблица 1 - Сегментарные характеристики протонной плотности жировой фракции и отклонения от среднепеченочного значения
Сегмент | Протонная плотность жировой фракции, медиана [Q1; Q3], % | Отклонение сегментарного значения протонной плотности жировой фракции от среднепеченочного (сегмент — среднее), медиана, % |
S1 | 9,81 [7,65; 14,34] | -0,976 |
S2 | 10,43 [7,83; 16,07] | -0,396 |
S3 | 9,83 [7,84; 15,58] | -0,155 |
S4a | 10,93 [8,11; 14,19] | -0,226 |
S4b | 11,16 [8,28; 15,83] | 0,304 |
S5 | 10,79 [7,88; 14,59] | -0,099 |
S6 | 11,49 [8,31; 15,35] | 0,548 |
S7 | 11,13 [8,41; 16,19] | 0,393 |
S8 | 11,82 [8,86; 17,71] | 0,853 |
Абсолютная ошибка одиночного сегментарного измерения, определяемая как модуль разности между сегментарным и среднепеченочным значением, варьировала в зависимости от выбранного сегмента (рис. 3). В ряде сегментов медиана абсолютной ошибки превышала 1%.

Рисунок 3 - Абсолютная ошибка одиночного сегментарного измерения протонной плотности жировой фракции относительно среднепеченочного значения
При междолевом анализе у пациентов со стеатозом среднее значение протонной плотности жировой фракции правой доли статистически значимо превышало показатель левой доли (критерий Вилкоксона, p = 0,002) (рис. 4).

Рисунок 4 - Сопоставление средних значений протонной плотности жировой фракции правой и левой долей печени у пациентов со стеатозом
Для оценки воспроизведения интегрального показателя проанализированы различные комбинации сегментов. При использовании двух сегментов медиана абсолютной ошибки составила 0,33% [0,19; 0,70]. При включении трех сегментов, расположенных в обеих долях печени, медиана ошибки снижалась до 0,25% [0,14; 0,56] (p <0,001).
Среди отдельных комбинаций трех сегментов наиболее точное воспроизведение среднепеченочного значения протонной плотности жировой фракции обеспечивала комбинация S2 + S5 + S7. Сопоставимую точность демонстрировали и другие комбинации сегментов, включающие сегменты обеих долей печени, в частности S2 + S4a + S6 и S2 + S4a + S7. В анализируемых комбинациях сегменты были распределены между правой и левой долями печени, тогда как использование сегментов только одной доли не обеспечивало сопоставимой точности воспроизведения среднепеченочного показателя.
При использовании четырех сегментов медиана ошибки составила 0,21% [0,10; 0,45], при пяти – 0,16% [0,08; 0,36]. Снижение ошибки при увеличении числа сегментов более трех носило менее выраженный характер (рис. 5).

Рисунок 5 - Зависимость абсолютной ошибки воспроизведения среднепеченочного значения протонной плотности жировой фракции от количества сегментов печени
Таким образом, результаты анализа показали, что точность воспроизведения среднепеченочного значения протонной плотности жировой фракции существенно варьирует в зависимости от количества анализируемых сегментов печени. Полученные данные формируют количественную основу для последующей интерпретации пространственной неоднородности стеатоза печени и обсуждения методологических ограничений локальных подходов к его оценке.
4. Обсуждение
Полученные результаты подтверждают вариабельность сегментарных значений протонной плотности жировой фракции печени и наличие отклонений от среднепеченочного показателя. Аналогичные особенности распределения жировой инфильтрации по данным МРТ ранее описаны в литературе
, , .Несмотря на высокую диагностическую точность протонной плотности жировой фракции как количественного биомаркера стеатоза
, , локальные измерения отражают ограниченный объем паренхимы. В условиях неоднородного распределения жировой инфильтрации выбор сегмента может влиять на величину отклонения от интегрального показателя, что соответствует данным исследований, посвященных источникам вариабельности количественной оценки стеатоза , , .В настоящем исследовании медиана абсолютной ошибки одиночного сегментарного измерения в ряде сегментов превышала 1%. В диапазоне значений, соответствующих стеатозу 1 степени, такое абсолютное отклонение эквивалентно относительному изменению показателя примерно на 6–16% в зависимости от исходного уровня протонной плотности жировой фракции, при стеатозе 2 степени — около 4–6%, а при стеатозе 3 степени — менее 5%, при этом влияние абсолютной ошибки наиболее выражено при низких значениях показателя и уменьшается по мере его увеличения.
Анализ воспроизведения интегрального показателя показал, что использование одного или двух сегментов сопровождается большей величиной абсолютной ошибки по сравнению с комбинациями из трех и более сегментов. При включении трех сегментов, расположенных в обеих долях печени, достигалось снижение медианы абсолютной ошибки по сравнению с двумя сегментами (p <0,001). Дальнейшее увеличение числа сегментов сопровождалось дополнительным уменьшением ошибки, однако выраженность эффекта снижалась.
Таким образом, сегментарные измерения протонной плотности жировой фракции демонстрируют зависимость точности воспроизведения интегрального показателя от числа анализируемых сегментов. Использование нескольких анатомически разобщенных зон интереса уменьшает вариабельность относительно среднепеченочного значения.
К ограничениям исследования относится неравномерное распределение пациентов по степеням стеатоза с преобладанием отсутствия или легкой степени жировой инфильтрации. Дополнительным ограничением является моноцентровый характер исследования и выполнение всех МР-исследований на оборудовании одного производителя (Siemens), что может ограничивать прямую экстраполяцию полученных результатов на другие МР-системы.
5. Заключение
Сегментарные значения протонной плотности жировой фракции печени демонстрируют вариабельность относительно среднепеченочного показателя. Использование одного или двух сегментов сопровождается большей величиной абсолютной ошибки воспроизведения интегрального значения по сравнению с комбинациями из трех и более сегментов. При включении трех сегментов, расположенных в обеих долях печени, медиана абсолютной ошибки статистически значимо снижается по сравнению с двумя сегментами. Дальнейшее увеличение числа сегментов сопровождается дополнительным уменьшением ошибки.
