EVALUATION OF HAEMORRHAGIC COMPLICATIONS AFTER REPERFUSION THERAPY OF ACUTE ISCHAEMIC STROKE USING RADIAL DIAGNOSTIC METHODS
EVALUATION OF HAEMORRHAGIC COMPLICATIONS AFTER REPERFUSION THERAPY OF ACUTE ISCHAEMIC STROKE USING RADIAL DIAGNOSTIC METHODS
Abstract
The aim of the study was to determine the incidence and risk factors of haemorrhagic transformation (HT) in patients with acute ischaemic stroke (AIS) after thrombolytic therapy (TT), thrombectomy (TE) and their combined use.
Materials and Methods. 460 patients with AIS aged from 23 to 97 years were examined, 263 of them underwent TT, 197 patients underwent invasive interventions (TE, combination of TE with TT and stenting). Cerebral blood flow was analysed using duplex scanning (DS) of brachiocephalic (BCA) and intracranial arteries, computer angiography of cerebral vessels, and X-ray contrast cerebral angiography (CCA) in patients who received invasive treatment.
Results. Among strokes complicated by HT, the cardioembolic subtype is of leading importance. Cardiac pathology, especially rhythm disturbances, is not only the most frequent potential source of cerebral embolism, but also a predictor of HT. The presence of hypertension, a history of AIS, haemodynamically significant stenosis of BCA and increased blood flow velocity in intracranial arteries may serve as risk factors for HT development in the early period after reperfusion. Intracranial arterial DS revealed a significant correlation between blood flow velocity and peripheral resistance indices with the risk of HT development.
Conclusion. The severity of neurological deficit, ischaemia centre size, cardioembolic subtype of stroke and cardiac pathology (in particular, rhythm disturbances, hypertension), ultrasound DS data (haemodynamically significant stenosis of BCA and increased blood flow velocity in intracranial arteries) are significant predictors of HT.
1. Введение
Геморрагическая трансформация (ГТ) — одна из наиболее частых и серьезных проблем в лечении острого ишемического инсульта (ОИИ), влияющая как на план лечения, так и на клинический прогноз. ГТ — наиболее опасное осложнение тромболизиса, ограничивающее показания к его применению. Своевременная идентификация предикторов ГТ может стать полезной для коррекции тактики реперфузионной терапии и поводом для более интенсивного динамического наблюдения, а также может служить основанием для отказа от вторичного профилактического назначения антиагрегантов и/или антикоагулянтов .
Частота встречаемости ГT, по данным мультиспиральной компьютерной томографии (МСКТ), колеблется от 10% до 40%, по результатам аутопсии — от 40% до 70%. Указанный широкий диапазон связывают с различными индивидуальными факторами риска. Частота симптомной ГТ составляет от 0,6% до 20%, после эндоваскулярного лечения — 6,0% . Дуплексное сканирование (ДС) рассматривается как доступный неинвазивный диагностический инструмент для исследования церебральной гемодинамики, который можно неоднократно воспроизводить у постели пациента . В современной литературе отсутствуют рекомендации по использованию методик нейровизуализации для прогнозирования риска ГT. Наиболее высокий уровень доказательности при прогнозировании ГТ представлен в метаанализе различных модальностей МСКТ, включая бесконтрастную, с использованием контраста, перфузионную и компьютерно-томографическую ангиографию (КТА) .
2. Методы и принципы исследования
В настоящее проспективное исследование включало 460 пациентов с ОИИ, из них 45,6% (210) мужчин, 54,4% (250) женщин в возрасте от 23 до 97 лет. Медиана возраста пациентов составила 71 [62; 79] лет. Значимых различий пациентов мужского и женского пола по возрасту выявлено не было (р=0,493). Из исследования были исключены пациенты с аневризмами, артериовенозными мальформациями и непроницаемостью височных акустических окон для ультразвука.
В соответствии с примененным видом реваскуляризации пациенты были разделены на группы (табл. 1): в группе 1 проводилась внутривенная ТЛТ (n=263), в группе 2 – ТЭ (n=87), в группе 3 использовали сочетание ТЛТ и ТЭ (n=91), в группе 4 – ТЭ сопровождалась установкой стента (n=19).
Таблица 1 - Распределение пациентов с ОИИ по группам в соответствии с видом реперфузионной терапии
Группа | Число пациентов (абс.) | Число пациентов (%) |
ТЛТ | 263 | 57,2 |
ТЭ | 87 | 18,9 |
ТЛТ и ТЭ | 91 | 19,8 |
ТЭ и стентирование | 19 | 4,1 |
Всего | 460 | 100,0 |
Комплексное обследование пациентов всех групп включало: неврологический осмотр, лабораторные исследования (в том числе определение концентрации тромбоцитов и коагулограмма), электрокардиографию, эхокардиографию, ДС брахиоцефальных и интракраниальных артерий, МСКТ и КТА сосудов головного мозга. Пациентам, получившим инвазивное лечение, проводилась рентгенконтрастная церебральная ангиография (ЦАГ).
Ультразвуковое исследование выполняли на ультразвуковом аппарате GE Vivid E9 и Vivid IQ (в условиях реанимационных палат) с помощью линейного датчика частотой 4,5–12,0 МГц при исследовании сосудов шеи и секторного датчика частотой 1,5–4,0 МГц при исследовании интракраниальных артерий. МСКТ проводили на аппарате Somatom Emotion 16 с системой внутривенного болюсного контрастирования MEDRAD Stellant Injection System и томографе Canon Aquilion Prime SP и GE Revolution EVO. ЦАГ выполняли на ангиографической установке GE Innova IGS 540.
При оценке неврологического статуса использовали шкалу тяжести инсульта Национального института здоровья (National Institutes of Health Stroke Scale, NIHSS) и модифицированную шкалу функциональных исходов Rankin (mRs).
Объем ДС магистральных артерий шеи включал оценку проходимости, степени стенозирующего поражения общих сонных (ОСА), внутренних сонных (ВСА), позвоночных (ПА) и подключичных артерий. Определяли пиковую систолическую скорость (ПСС), усредненную по времени максимальную скорость (TAMX) и конечную диастолическую скорость (КДС), а также индексы периферического сопротивления — резистивный (RI) и пульсационный (PI) индексы. Для оценки степени стеноза использовали гемодинамические (линейные скорости кровотока в пре-, постстенотическом участках и в зоне стеноза) и планиметрические (диаметр свободного просвета сосуда в зоне максимального стенозирования) критерии. Выявленные стенотические поражения оценивали методом ECST, при котором стеноз определяют по сопоставлению диаметра (или площади) свободного просвета артерии с диаметром (или площадью) сосуда в зоне стеноза, и методом NASCET, при котором диаметр свободного просвета артерии сопоставляют с диаметром артерии дистальнее зоны стеноза. Критерии оценки степени стеноза сонных артерий, которые были использованы в исследовании, представлены в таблице 2 , .
Таблица 2 - Критерии диагностики степени стеноза (ECST) каротидных артерий
Степень стеноза | Параметры | |||
ПСС ВСА, см/с | ВСА/ОСА отношение ПСС | КДС ВСА, см/с | Остаточный просвет | |
Норма | Менее 125 | Менее 1,8 | Менее 40 | Нет |
Менее 50% | 130-150 | Менее 2,0 | Менее 40 | Не менее 50% |
50-69% | 160-230 | 2,0-4,0 | 40-100 | Менее 50% |
70-80% | 250-300 | Более 4,0 | 120-140 | Менее 70% |
Субокклюзия | Более 300см/с, вариабельна | Более 4,0, вариабельно | Более 140, вариабельна | Просвет минимальный (около 1,0мм) |
Окклюзия | Не определяется | Не определяется | Не определяется | Просвет не визуализируется |
При ДС интракраниальных артерий оценивали проходимость, скоростные показатели (ПСС, TAMX, КДС) и резистивный индекс (RI) в средней (СМА), задней (ЗМА) и передней (ПМА) мозговых артериях, позвоночной (ПА) и базилярной (БА) артериях с определением коэффициента асимметрии до лечения, а также на 1, 3 и 7 сутки после проведенной терапии. Гемодинамику в СМА оценивали как нормальную при значениях ПСС и TAMX в СМА 70–160 см/с и 45–90 см/с, в ПМА – 60–150 см/с и 35–70 см/с, в ЗМА — 50–85 см/с и 30–50 см/с, в ПА – 45–70 см/с и 30–45 см/с, в БА – 50–90 см/с и 35–50 см/с соответственно. Значения ниже приведенных расценивали как гипоперфузию, выше — гиперперфузию (табл. 3) , .
Таблица 3 - Критерии оценки кровотока в интракраниальных артериях
Характеристика кровотока | Гипоперфузия | Гиперперфузия | ||
ПСС, см/с | ТAMX, см/с | ПСС, см/с | ТAMX, см/с | |
СМА | <60 | <40 | >220 | >85 |
ПМА | <45 | <30 | >155 | >70 |
ЗМА | <40 | <25 | >145 | >50 |
ПА | <20 | <15 | >120 | >30 |
БА | <30 | <20 | >140 | >40 |
Во всех случаях результаты ДС интракраниальных артерий были сопоставлены с данными КТА сосудов головного мозга в качестве референсного метода. В группах инвазивного лечения пациентам (197 человек) в качестве референсного метода выполнялась ЦАГ. МСКТ головного мозга выполняли всем обследованным до и после лечения с целью исключения внутримозгового кровоизлияния и оценки степени ишемических изменений. Для количественной оценки степени ишемического повреждения головного мозга применяли шкалу ASPECTS.
Статистическая обработка полученных данных проводилась с помощью пакета программ Statistica 12.0, SPSS Statistics 17.0. При анализе данных использовали: среднее арифметическое (М), стандартное отклонение (SD), медиана и квартили (Me [LQ; UQ]). Для оценки корреляционной связи параметров использовался метод Спирмена. Сравнение групп по количественным показателям проводили с помощью U-критерия Манна-Уитни, по качественным показателям — при помощи точного критерия Фишера или Хи-квадрат (χ²). При проверке статистических гипотез допустимым уровнем ошибки первого типа считалось значение, не превышающее показатель 0,05. Определяли значения чувствительности, специфичности, прогностической ценности положительного (ПЦПР) и прогностической ценности отрицательного (ПЦОР) результатов. При проведении ROC-анализа (receiver operating characteristic) рассчитывали специфичность, чувствительность, а также площадь под ROC-кривой — AUC (Area Under Curve).
3. Основные результаты
Геморрагические осложнения выявлены после лечения у 42 (9,1%) пациентов: у 23 (8,7%) пациентов 1 группы, 10 (11,5%) человек 2 группы и 9 (9,9%) пациентов 3 группы. В исследовании учитывали внутричерепные кровоизлияния, выявленные при МСКТ, которые были симптомные с ухудшением неврологического дефицита не менее 4 баллов по NIHSS. Установлено, что частота ГТ была существенно выше при большом размере очага (рис. 1): среди пациентов с очагом ишемии более 2 см — 70,3%, при очаге менее 2 см — 13,5% (p=0,001).

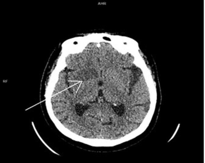
Рисунок 1 - Пациент Н., 70 лет, с острым ишемическим инсультом до эндоваскулярной тромбэкстракции, осложнившейся геморрагическим пропитываем очага ишемии
Примечание: мультиспиральная компьютерная томография головного мозга без контрастного усиления в аксиальной проекции: зона снижения денситометрической плотности в правой лобной доле (+22 HU) размерами 29 х 19 мм (стрелка) – ASPECTS 8 (бассейн правой СМА)

Рисунок 2 - Частота встречаемости различных типов ишемического инсульта среди пациентов с геморрагической трансформацией и без нее
Сопутствующая сердечно-сосудистая патология представлена в таблице 4, у лиц с ГТ инсульта встречалась значимо чаще, чем у пациентов без ГТ (табл. 4) — 73,8% и 38,5% соответственно (p=0,0001). Аналогичные результаты получены по частоте ОИИ в анамнезе (42,9% и 14,8% соответственно), гипертонической болезни (88,1% и 78,3% соответственно), нарушений ритма (66,7% и 25,2% соответственно) и гемодинамически значимых каротидных стенозов (38,1% и 3,3% соответственно) (рис. 3). Статистически значимых различий по частоте встречаемости сахарного диабета подтвердить не удалось (p=0,462).
Таблица 4 - Частота встречаемости факторов риска эмболии и тромбоза у пациентов с геморрагической трансформацией и без нее
Фактор риска | Геморрагическая трансформация (n=42) | Без геморрагической трансформации (n=418) | р | ||
Абс. | % | Абс. | % | ||
Гипертоническая болезнь | 37 | 88,1 | 327 | 78,3 | 0,045 |
Сахарный диабет | 11 | 26,2 | 104 | 24,9 | 0,462 |
Кардиальная патология* | 31 | 73,8 | 161 | 38,5 | 0,002 |
Нарушения ритма | 28 | 66,7 | 105 | 25,2 | 0,0001 |
ОИИ в анамнезе | 18 | 42,9 | 62 | 14,8 | 0,003 |
Гемодинамически значимые экстракраниальные стенозы | 16 | 38,1 | 14 | 3,3 | 0,0001 |
Примечание: кардиальная патология – ишемическая болезнь сердца, инфаркт миокарда, пороки сердца, кардиомиопатии

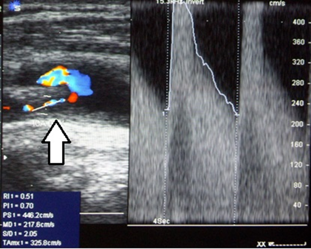
Рисунок 3 - Пациент В., 67 лет, с ишемическим инсультом, осложнившимся геморрагической трансформацией очага ишемии после тромболитической терапии
Примечание: Дуплексное сканирование сонных артерий на экстракраниальном уровне: стеноз правой ВСА 80% (NASCET) с ускорением систолической скорости кровотока до 446 см/с и диастолической скорости кровотока до 217 см/с (стрелка)
Таблица 5 - Результаты оценки клинического и функционального статусов у пациентов с геморрагической трансформацией и без нее
Шкала оценки | С геморрагической трансформацией | Без геморрагической трансформации | p |
NIHSS | 16,7 ±5,2 | 8,2 ± 4,5 | 0,0001 |
mRS | 4 [3; 6] | 3 [2; 4] | 0,001 |
При использовании метода корреляционных деревьев получено пороговое значение NIHSS, связанное со значимо большей частотой ГТ (рис. 4): более 15 баллов, позволяющее с высокой специфичностью (70,3%) и чувствительностью (82,5%) прогнозировать риск развития ГТ (AUC – 0,848).

Рисунок 4 - ROC-кривая взаимосвязи тяжести неврологического дефицита и риска развития геморрагической трансформации после острого ишемического инсульта
Несмотря на то, что наличие синдрома гиперперфузии после реваскуляризации (37,3% в группе ТЛТ и 36,5% в группах инвазивного лечения на первые сутки) имело положительную корреляционную взаимосвязь с благоприятным исходом (r=0,79, р=0,023), в совокупности с другими факторами риска, такими как сопутствующие заболевания, стенозы брахиоцефальных артерий, гиперперфузия имела высокую прогностическую ценность развития ГТ (p=0,001) по данным множественной логистической регрессии.

Рисунок 5 - Пациент С., 58 лет, с ишемическим инсультом после сочетанного применения тромболитической терапии и тромбэкстракции, осложнившегося геморрагической трансформацией очага ишемии
Примечание: а – Мультиспиральная компьютерная томография головного мозга без контрастного усиления в аксиальной проекции; геморрагическая трансформация очага ишемии в конвекстиальных отделах лобной и теменной долей справа (круг); б – Транскраниальное дуплексное сканирование артерий головного мозга через височное окно; увеличение пиковой систолической скорости кровотока до 177 см/с и повышение индексов периферического сопротивления (RI=0,86; PI=2,82) в правой СМА у пациента с геморрагической трансформацией очага ишемии
Таблица 6 - Распределение пациентов разных групп по результатам дуплексного сканирования интракраниальных артерий в ранние сроки после лечения
Результат ДС | Сроки после лечения | Группа 1 (n=263) | Группа 2 (n=87) | Группа 3 (n=91) | Группа 4 (n=19) | Всего (n=460) | |||||
абс. | % | абс. | % | абс. | % | абс. | % | абс. | % | ||
Нормальный кровоток | 1 сутки | 46 | 17,5 | 24 | 27,6 | 31 | 34,1 | 7 | 36,8 | 108 | 23,5 |
3 сутки | 67 | 25,5 | 31 | 35,6 | 38 | 41,7 | 10 | 52,6 | 146 | 31,7 | |
7 сутки | 74 | 28,1 | 35 | 40,3 | 42 | 46,1 | 11 | 57,9 | 162 | 35,2 | |
Гиперперфузия | 1 сутки | 98 | 37,3 | 32 | 36,8 | 35 | 38,5 | 5 | 26,3 | 170 | 37 |
3 сутки | 75 | 28,5 | 24 | 27,6 | 26 | 28,6 | 4 | 21,1 | 129 | 28,3 | |
7 сутки | 68 | 25,9 | 20 | 23 | 22 | 24,2 | 3 | 15,8 | 113 | 24,6 | |
Гипоперфузия | 1 сутки | 56 | 21,3 | 10 | 11,5 | 10 | 11 | 0 | 0 | 76 | 16,5 |
3 сутки | 42 | 16 | 10 | 11,5 | 9 | 9,9 | 0 | 0 | 61 | 13,3 | |
7 сутки | 42 | 16 | 9 | 10,3 | 8 | 8,8 | 0 | 0 | 59 | 12,8 | |
Кровоток затрудненной перфузии | 1 сутки | 29 | 11,1 | 12 | 13,8 | 9 | 9,9 | 5 | 26,3 | 55 | 11,9 |
3 сутки | 30 | 11,4 | 12 | 13,8 | 12 | 13,2 | 3 | 15,8 | 57 | 12,4 | |
7 сутки | 35 | 13,3 | 15 | 17,3 | 13 | 14,3 | 3 | 15,8 | 66 | 14,3 | |
Отсутствие кровотока | 1 сутки | 34 | 12,9 | 9 | 10,3 | 6 | 6,6 | 2 | 10,5 | 51 | 11,1 |
3 сутки | 42 | 16 | 9 | 10,3 | 6 | 6,6 | 2 | 10,5 | 59 | 12,8 | |
7 сутки | 44 | 16,7 | 9 | 10,3 | 6 | 6,6 | 2 | 10,5 | 61 | 13,3 | |

Рисунок 6 - Пациент Л., 73 лет, с ишемическим инсультом после тромболитической терапии, осложнившейся геморрагической трансформацией очага ишемии. Транскраниальное дуплексное сканирование артерий головного мозга через височное окно
Примечание: а – Первые сутки после тромболитической терапии: синдром гиперперфузии в виде ускорения пиковой систолической скорости кровотока до 175 см/с и усредненной по времени максимальной скорости кровотока (TAMAX) до 101 см/с в левой СМА у пациента с геморрагической трансформацией очага ишемии; б – 7-е сутки после тромболитической терапии: скоростные показатели в пределах нормативных значений – пиковая систолическая скорость кровотока 119 см/с, усредненная по времени максимальная скорость кровотока (TAMAX) 77 см/с в левой СМА у пациента с геморрагической трансформацией очага ишемии.

Рисунок 7 - Пациент А., 66 лет, с ишемическим инсультом, осложнившимся геморрагической трансформацией очага ишемии после тромбэкстрации
Примечание: рентгенконтрастная церебральная ангиография во фронтальной проекции: а – Отсутствие контрастирования СМА (стрелка) – тромбоз М1 сегмента СМА; б – Восстановление кровотока в СМА (стрелка) после тромбэкстракции
Таблица 7 - Распределение пациентов разных групп по результатам восстановления кровотока по данным дуплексного сканирования интракраниальных артерий
Степень восстановления кровотока | Группа 1 (n=263) | Группа 2 (n=87) | Группа 3 (n=91) | Группа 4 (n=19) | Всего (n=460) | |||||
абс. | % | абс. | % | абс. | % | абс. | % | абс. | % | |
Полное восстановление | 117 | 44,5 | 54 | 62,1 | 64 | 70,3 | 14 | 68,4 | 249 | 54,1 |
Частичное восстановление | 102 | 38,8 | 24 | 27,6 | 21 | 23,1 | 3 | 21,1 | 150 | 32,6 |
Восстановление отсутствует | 44 | 16,7 | 9 | 10,3 | 6 | 6,6 | 2 | 10,5 | 61 | 13,3 |
4. Обсуждение
ГТ определяется как спонтанное кровоизлияние в ишемизированную зону после инфаркта мозга. Установлено, что риск развития ГТ повышается при наличии обширных ишемических очагов. Кроме того, большинство авторов связывают осложнение с кардиоэмболическим подтипом инсульта, чаще всего на фоне кардиальной патологии. Источником вторичной геморрагии в данном случае служит эмбол, вызвавший окклюзию церебральной артерии и подвергшийся фибринолизу, в условиях нарушения проницаемости капилляров. Понятно, что при проведении системной ТЛТ риск ГТ увеличивается. Другой возможной причиной ГТ является восстановление коллатерального кровообращения при отсутствии реканализации инфаркт-ассоциированной артерии. Способствующим фактором при данном механизме является повышенное артериальное давление .
Клинически выделяют бессимптомные и симптоматические формы ГТ. В исследовании ECASS II (2001) симптоматические ГТ предложено констатировать при увеличении оценки по шкале инсульта Национального института здравоохранения (NIHSS) на четыре или более баллов при установлении связи клинического ухудшения с кровоизлиянием . Ряд авторов предлагают рассматривать ГТ как признак реканализации, но, учитывая иные патофизиологические механизмы, в том числе окислительный стресс, воспаление, инфильтрацию лейкоцитами, нарушение внеклеточного протеолиза, приводящих к повреждению гематоэнцефалического барьера, реперфузия не является обязательным условием для возникновения ГТ.
Среди клинических факторов, ассоциированных с повышенным риском ГТ, в литературе приводят пожилой возраст, фибрилляцию предсердий, кардиоэмболический механизм инсульта, высокий балл по шкале NIHSS, гипергликемию, тромбоцитопению, отсроченную реперфузию, внутривенное введение рекомбинантного тканевого активатора плазминогена IV (rt-PA), одновременное применение антитромботических средств, антикоагулянтов, фибринолитических средств и эндоваскулярное лечение.
Массивный инфаркт головного мозга также относят к наиболее опасным факторам развития ГТ . Объем ишемического повреждения головного мозга является доказанным предиктором развития ГТ, значимость которого подтверждена при пороговом значении более 2 см. Вероятно, данный феномен объясняется тем, что внутри крупного очага ишемии выше риск формирования ишемической васкулопатии и повреждения сосудистой стенки , . С размером очага ишемии также коррелирует тяжесть неврологического дефицита, которая, в свою очередь, по данным настоящего исследования, может быть использована в качестве сильного предиктора ГТ. Результаты исследования совпадают с данными других авторов, которые отметили значимую корреляцию тяжести инсульта по NIHSS и размеров инфаркта с риском развития ГТ . По мнению ряда авторов, вторичные геморрагии чаще осложняют инсульты умеренной и выраженной степени тяжести (15 и более баллов по NIHSS) . В настоящей работе получены сходные результаты с пороговым значением NIHSS 15 балов. Преобладание среди инсультов, осложненных ГТ, кардиоэмболического подтипа, выявленное в данном исследовании, согласуется с данными литературы . Наличие значимого стенозирования экстракраниальных артерий явилось одним из факторов риска ГТ, возможно, за счет исходного дефицита церебрального кровотока и формирования очага ишемии большего размера, развития многочисленных коллатеральных ветвей как возможного источника геморрагии.
Проанализирована взаимосвязь потенциальных источников кардиогенной церебральной эмболии при ГТ: отмечено влияние гипертонической болезни, патологии сердечно-сосудистой системы, в частности, нарушений ритма, а также перенесенного ОИИ в анамнезе. В литературе имеются указания на взаимосвязь ГТ с фибрилляцией предсердий . Роль артериальной гипертензии в развитии ГТ изучалась многими исследователями , . Ряд авторов отрицает наличие взаимосвязи гипертонической болезни с риском ГТ, утверждая, что не хроническое повышение артериального давления, а только систолическая и/или диастолическая артериальная гипертензия в первые 24–48 ч от дебюта инсульта, то есть в период наиболее высокого риска развития спонтанных и посттромболитических ГТ, имеет значение для развития вторичной геморрагии и определяет ее объем , .
Помимо возможности регистрации микроэмболических сигналов, ДС интракраниальных артерий может существенно дополнять ангиографические данные, в том числе для контроля реканализации. Изменения скорости кровотока в инфаркт-ассоциированных интракраниальных артериях могут быть связаны с возникновением дальнейших сосудистых событий после инсульта . Увеличение пиковой систолической скорости кровотока в реканализированной артерии по отношению к контралатеральной артерии у пациентов после успешной реканализации ассоциировано с повышенным риском ГТ . Подобные утверждения встречаются в работах других авторов, которые сообщают о взаимосвязи повышения средней скорости кровотока после успешной реканализации с риском развития геморрагических осложнений . Нами подтверждена взаимосвязь повышения скоростных показателей интракраниального кровотока после реперфузии с частотой формирования ГТ, что согласуется с данными Baracchini C. с соавт. (2019) и Kneihsl M. с соавт. (2018) , . Отмечено, что гиперперфузия в ранние сроки после лечения ОИИ не имеет самостоятельного влияния на риск развития геморрагических осложнений, но в совокупности с другими перечисленными выше факторами может служить предиктором данного осложнения.
5. Заключение
Таким образом, геморрагическая трансформация ОИИ ассоциирована с тяжелым или умеренной тяжести (15 баллов и более по NIHSS) инсультом и большими (более 2 см) размерами очага повреждения. Среди инсультов, осложнившихся ГТ, ведущее значение имеет кардиоэмболический подтип. Кардиальная патология (гипертоническая болезнь, нарушения ритма), наличие перенесенного ОИИ в анамнезе являются факторами риска развития геморрагических осложнений в раннем периоде после реперфузии. Помимо клинических факторов, выявление гемодинамически значимого стенозирования экстракраниальных артерий и повышения скорости кровотока в интракраниальных артериях ультразвуковым методом имеет существенное значение в прогнозировании геморрагических осложнений в раннем периоде после реперфузии.
На основании исследования можем рекомендовать проводить оценку гемодинамики в церебральных артериях в раннем периоде после реваскуляризации не менее трех раз (1, 3 и 7 сутки после лечения). В случае, если синдром гиперперфузии на 7 сутки не регрессирует или увеличивается, то необходимо выполнение МСКТ головного мозга для исключения ГТ. Изменения гемодинамики в интракраниальных артериях в виде снижения КДС менее 30-35см/с и повышения RI более 0,76 свидетельствуют о нарастании отека головного мозга и развитии геморрагического осложнения, также являются показаниями к выполнению МСКТ.
