PATHOGENETIC ROLE OF PRO- AND ANTIOXIDANT BLOOD SYSTEMS IN THE MECHANISMS OF INFLAMMATORY PATHOLOGY OF ORAL CAVITY TISSUES IN PATIENTS
PATHOGENETIC ROLE OF PRO- AND ANTIOXIDANT BLOOD SYSTEMS IN THE MECHANISMS OF INFLAMMATORY PATHOLOGY OF ORAL CAVITY TISSUES IN PATIENTS
Abstract
In recent years, the literature has presented data on the participation of reactive oxygen species (ROS) and the process of lipid peroxidation (LPO) in the aspect of their pathogenetic role in the development of a number of inflammatory diseases of oral tissues, despite their participation in LPO under physiological conditions. Studying the mechanisms of development of lipid peroxidation process and activity of antioxidant system in blood and their participation in the genesis of inflammatory pathology of periodontal tissues in clinical patients. The research included 25 patients divided into two groups: control (healthy subjects, n=10) and patients with inflammatory pathology of oral tissues (n=15). Periodontological, clinical, radiological analysis of oral tissue indices and blood biochemical studies were performed. Increased levels of OHI-s, PMA and SBI indices indicating the presence of inflammatory process were detected. There was an increase in malonic dialdehyde (MDA) and a decrease in the activity of superoxide dismutase (SOD) in erythrocytes, indicating the development of oxidative stress. A decrease in the level of NOx and an increase in total cholesterol (TC) and LDL-C in blood plasma, which are markers of vascular endothelial dysfunction, were found. Activation of oxidative processes at the systemic level can be viewed as a component of the response of the acute phase of inflammatory process development in oral cavity tissues.
1. Введение
На современном этапе развития медико-стоматологической науки воспалительные заболевания пародонта являются одной из актуальных проблем, обусловленной их распространенностью, а также неблагоприятным влиянием на состояние организма. В многочисленных исследованиях установлено сочетание различных соматических заболеваний с существенными функциональными и морфологическими изменениями в зубочелюстной системе. Представителем патологии тканей полости рта является пародонтит — иммунноопосредованный воспалительный процесс, приводящий к утрате прикрепления периодонта к поверхности корня зуба и разрушению прилежащей альвеолярной кости. Рассматривая патогенетические механизмы, определяется важная роль взаимосвязи между патологическим изменением тканей пародонта и системными заболеваниями: сердечно-сосудистой патологией и сахарным диабетом , , . Сочетание соматических патологических процессов с пародонтитом может быть обусловлено нарушением микробиоценоза, изменениями метаболизма, гемодинамики, иммунологическими и нейрорегуляторными расстройствами.
В последние годы, данные литературы представляют информацию об участии активных форм кислорода (АФК) и процесса перекисного окисления липидов (ПОЛ) в аспекте их патогенетической роли в развитии и прогрессировании воспалительных заболеваний тканей полости рта . Вместе с тем следует отметить участие свободно-радикального окисления в нормальном клеточном метаболизме. В условиях эндогенной интоксикации, вызванной нарушением микробиоциноза, происходит повышенная выработка АФК клетками врожденной иммунной системы — нейтрофилами и макрофагами в процессе фагоцитоза как «дыхательный взрыв». В развитии окислительного стресса наряду с АФК участвует недостаточная активность ферментов антиоксидантной системы (АОС). Таким образом, отсутствие сбалансированности между про- и антиоксидантной системами является условием для повреждения клеток тканей, молекул ДНК, белков и метаболически важных ферментов . За последние годы многочисленные кинические и фундаментальные экспериментальные исследования свидетельствуют о взаимосвязи окислительного стресса и с патологией тканей полости рта , , , . Изучение механизмов развития ПОЛ при пародонтите у больных позволит установить его патогенетическую роль в развитии воспалительного процесса.
Целью данного исследования является изучение механизмов развития процесса перекисного окисления липидов и активности антиокислительной системы в крови как патогенетического звена, воспалительной патологии тканей пародонта у больных.
2. Методы и принципы исследования
Отбор больных с воспалительной патологией тканей полости рта производили в условиях стоматологической поликлиники АО «Стоматология», а все биохимические и функциональные исследования проводили на базе лаборатории патобиохимии ИБМИ ВНЦ РАН в соответствии с договором и планом НИР. В исследование включено 25 пациентов в возрасте от 22 до 65 лет и длительностью заболевания от 1 до 5 лет, которые были разделены на две группы: 1-ая группа — контрольная — исследуемые здоровые субъекты, без отсутствия манифестации других патологий (n=10). 2-ая группа — больные с воспалением тканей пародонта (n=15). Участники всех обследуемых групп прошли пародонтологический анализ показателей клинических и биохимических исследований. Обследование тканей полости рта включало измерение глубины пародонтального кармана с использованием зонда UNC-PCP15 (Hu Friedy) в шести местах (мезиобуккальном, средне-буккальном, дистобуккальном, мезиолингвальном, среднеязычном и дистолингвальном) для каждого зуба, исключая третьи коренные зубы. Данные измерения были выражены в миллиметрах и рассчитаны средние значения данных на исследуемых участках пародонта у каждого пациента. Состояние тканей пародонта также оценивали по следующим показателям: упрощенный индекс гигиены — OHI-s, РМА — папиллярно-маргинально-альвеолярный индекс, SBI — индекс кровоточивости. Рентгенологическая оценка для определения степени резорбции костной массы зубо-челюстной системы проводилась с использованием прикусных и периапикальных рентгенограмм, а также панорамных снимков. Биохимические исследования в крови включали: определение интенсивности ПОЛ по данным концентрации малонового диальдегида (МДА) в гемолизате эритроцитов по реакции с тиобарбитуровой кислотой ; активности ферментов антиокислительной системы (АОС): каталазы ; СОД , концентрации церулоплазмина (ЦП) методом Равина и суммарных метаболитов оксида азота – NOx в плазме крови модифицированным методом Метельской В.А. .
Принимая во внимание участие нарушенного обмена холестерина в снижении биодоступности L-аргинина к ферменту эндотелиальной NO-синтазе (eNOS), а также возрастной аспект больных, определяли показатели обмена холестерина общепринятыми методиками: содержание общего холестерина, холестерина липопротеинов низкой плотности, (ХС ЛПНП), холестерина липопротеинов высокой плотности (ХС ЛПВП). Проводили сравнительный анализ данных у больных с пародонтитом с результатами контрольной группы. Исследование проводили в соответствии с Надлежащей клинической практикой и принципами Хельсинкской декларации 1975 г. и ее пересмотренному варианту 2000 г. и этическими стандартами Этического комитета ИБМИ ВНЦ РАН (протокол № 6 от 26.12.2018 г.). Все больные подписали добровольное информированное согласие до включения в исследование.
С помощью программы MicrosoftExcel проводили статистическую обработку полученных данных и представили в виде среднего значения (Mean) и среднеквадратичной ошибки (SξM). Принимая во внимание равномерность распределения данных, достоверность различий определяли по t-критерию Стьюдента и считали различия достоверными при p<0,05.
3. Основные результаты

Рисунок 1 - Динамика индексных показателей, характеризующих состояние тканей пародонта, у больных с пародонтитом
Примечание: M±m
Таблица 1 - Данные показателей окислительно-восстановительных процессов, обмена оксида азота и холестерина у больных с воспалительной патологией тканей пародонта
Показатели | Контроль – здоровые субъекты | Пациенты с пародонтитом |
МДА нмоль/мл. | 18,45±0,245 | 28,7±0,561111) |
СОД усл.ед. | 69,24±0,38 | 35,5±0,951111) |
Каталаза мкат/л. | 235,8±2,63 | 381,34±14,71111) |
ЦП мг/дл | 330,1±15,6 | 498,2±2,861111) |
NOxммоль | 69,15±0,4165 | 39,12±0,431111) |
ОХС ммоль/л | 4,9±0,23 | 5,62±0,181111) |
ХС ЛПНП ммоль/л | 2,98±0,281 | 3,99±0,261111) |
ХС ЛПВП ммоль/л | 1,36±0,058 | 0,98±0,611111) |
Примечание: M±m; МДА – малоновый диальдегид; СОД – супероксиддисмутаза, ЦП – церулоплазмин; NOx – суммарные метаболиты оксида азота; ОХС – общий холестерин; ХС ЛПНП - липопротеины низкой плотности; ХС ЛПВП – липопротеины высокой плотности; 1111) p<0,001 достоверность данных показателей при пародонтите по сравнению с уровнем контроля

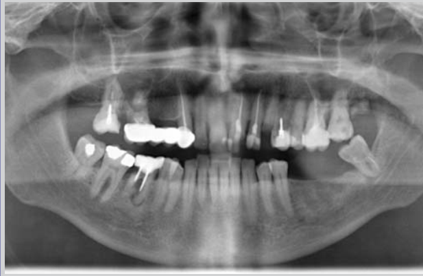
Рисунок 2 - Рентгенограмма, характеризующая у больных воспалительный процесс в тканях пародонта

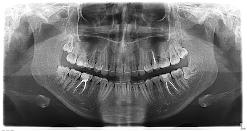
Рисунок 3 - Рентгенография зубо-челюстной системы пациента без отклонений от нормы
4. Заключение
Анализ полученных данных у пациентов с воспалительной патологией тканей полости рта показал наличие существенных изменений в измеряемых и расчетных характеристиках состояния тканей полости рта по сравнению с контролем. Результаты повышения уровней индексов OHI-s и SBI свидетельствуют о наличии активного воспалительного процесса в тканях полости рта. Присутствие атерогенных липопротеидов низкой плотности (ХС ЛПНП), изменяющих молекулярную структуру эндотелия сосудистой стенки, способствует расстройствам микроциркуляции, что приводит к нарушению транспорта кислорода и соответственно к циркуляторной и тканевой гипоксии. Образующиеся активные формы кислорода (АФК) индуцируют активацию процесса ПОЛ и развитие оксидативного стресса, что является патогенетическим звеном развития воспалительного процесса. АФК изменяют молекулярную структуру эндотелиальной NO-синтазы (eNOS) и продукцию NOx, являющиеся маркером эндотелиальной дисфункции сосудов и микроциркуляторных гемодинамических нарушений в тканях полости рта . Более того, активация фосфолипазной системы в условиях окислительного стресса, способствует образованию медиаторов воспаления, что подтверждается данными литературы , , . Проведенный анализ показателей окислительного стресса и индексной оценки воспалительного процесса в тканях полости рта позволил утверждать, что нарушение системных окислительно-восстановительных процессов, недостаток NOx, повышение уровня атерогенных липопротеинов, и возможное образование медиаторов воспалительного процесса, явились патогенетическими звеньями развития воспалительного процесса у пациентов.
