DISRUPTED ABDOMINAL PREGNANCY (CLINICAL CASE)
DISRUPTED ABDOMINAL PREGNANCY (CLINICAL CASE)
Abstract
Ectopic pregnancy is the most common pathology in gynaecological practice, which leads to a decrease in reproductive function, poses a threat to the life of the foetus and mother. Modern medicine notes a significant increase in the number of cases of this pathology. Ectopic pregnancy occupies one of the leading places in the structure of maternal mortality, ranks first as a cause of intra-abdominal haemorrhage and second in the structure of acute gynaecological diseases.
Thus, our clinical observation is considered an important step to sensitise the medical community to further study this problem.
As materials and methods of research, we analysed the case history of a patient with diagnosed abdominal ectopic pregnancy, who applied to the 3 gynaecological department of the SBHI RM "Republican Clinical Hospital No. 4".
1. Введение
Внематочная (эктопическая) беременность — это имплантация и развитие плодного яйца не в полости матки, а за ее пределами. По локализации плодного яйца можно выделить трубную, яичниковую, брюшную, шеечную, а также беременность в зачаточном роге матки. Наиболее часто (около 99,5%) наблюдается трубная беременность. Имплантация плодного яйца возможна в ампулярном (43%), истмическом (54%) и интерстициальном (3%) отделах маточной трубы. Яичниковая беременность наблюдается в 0,1–0,2% случаев, брюшная беременность на висцеральной и париетальной брюшине — в 0,3%.
Последнее время отмечается тенденция к росту частоты эктопической беременности, а также увеличение частоты материнской смертности из-за ее осложнений. Материнская смертность при брюшной беременности в 7–8 раз выше, чем при трубной и в 90 раз выше, чем при маточной. Самый высокий показатель роста числа внематочной беременности в последние годы наблюдается среди женщин старше 35 лет. Причинами таких показателей могут быть: увеличение числа воспалительных заболеваний внутренних половых органов, реконструктивно-пластических операций на маточных трубах, популяризация таких методов контрацепции, как внутриматочная спираль и применение КОК, увеличение числа эндокринных заболеваний в системе гипоталамус-гипофиз-яичники-матка , .
Брюшная беременность является одной из самых редких форм и составляет 1,4% от всех зафиксированных случаев внематочной беременности. В последнее время внимание к данной форме внематочной беременности набирает обороты, в связи с увеличением частоты случаев брюшной беременности с различными сроками, а также выявлением случаев доношенной брюшной беременности.
Брюшная беременность — единственная форма внематочной беременности, при которой возможно достигнуть срока «доношенности плода» — более 20 недель, но в таких случаях высок риск перинатальной гибели плода, что связано с внутриутробной задержкой или пороками развития ребенка, такими, как контрактуры суставов, аномалии лицевого скелета, гипоплазия легких .
При изучении брюшной беременности были выявлены две формы: первичная, когда плодное яйцо изначально имплантируется непосредственно в брюшную полость, и вторичная — плодное яйцо имплантируется в брюшную полость после трубного аборта или разрыва маточной трубы. Также было выяснено, что вторичная беременность может произойти после первичной имплантации в любом другом эктопическом участке, как в случае «сальниковой беременности» — имплантация в брюшину Дугласова пространства.
Клиническая картина при брюшной беременности зависит от срока беременности и ее локализации. В первом и начале второго триместра жалобы могут быть типичны для нормально протекающей беременности. На более поздних сроках беременные могут жаловаться на боли в эпигастральной области при шевелении плода, иррадиацию боли в поясничную область, наиболее частые симптомы: стойкая боль в животе, надлобковой области, кровянистые выделения из половых путей, желудочно-кишечная диспепсия . Нередко брюшную беременность выявляют во время операции, когда манифестирует картина острого живота и геморрагического шока при разрыве капсулы плодовместилища.
Для предотвращения развития осложнений, устранения угрозы жизни и здоровья пациентки диагностика брюшной беременности должна быть ранней и комплексной. По данным физикального обследования можно выявить неправильное положение плода, смещение шейки матки, при пальпации части плода будут пальпироваться отдельно от матки. Также одним из основных методов диагностики является УЗИ и эхокардиография. Есть несколько критериев, позволяющих предположить наличие брюшной беременности:
1) визуализация пустой матки при подтвержденной беременности данным анализа ХГЧ;
2) атипичное расположение плаценты;
3) отсутствие изображения стенки матки между мочевым пузырем женщины и плодом;
4) атипичное расположение плода;
5) выраженное маловодие , .
Данная работа рассматривает случай пациентки 2001 года рождения с диагнозом «нарушенная абдоминальная беременность». У пациентки, при выполнении оперативного вмешательства по поводу внематочной беременности, было обнаружено плодное яйцо в стенке сигмовидной кишки. Данные за брюшную беременность подтвердились гистологическим исследованием. Пациентке была выполнена диагностическая лапароскопия. Адгезиолизис. Ревизия органов брюшной полости. Нижнесрединная лапаротомия, удаление брюшной беременности брыжейки сигмовидной кишки. Цистэктомия правого яичника.
Данный клинический случай был зафиксирован в отделении гинекологии ГБУЗ РМ «Республиканская клиническая больница №4».
Актуальность: Внематочная беременность до настоящего времени остается одной из актуальных проблем в гинекологии. Несмотря на многочисленные исследования и достижения медицинской науки и практики, рост частоты этого осложнения беременности и, вследствие этого, материнской смертности не имеет тенденции к снижению, но и в 2 раза превышает показатель 30-летней давности. Основным фактором сложности своевременной диагностики является различная клиническая картина, которая зависит от локализации плодного яйца. Таким образом, от места имплантации беременность подразделяют на трубную (встречается в 93–98,5%), яичниковую (0,4–1,3%), брюшную (0,1–0,9%). Так как за последние десятилетия новых исследований и публикаций по этой теме немного, мы решили представить собственное наблюдение клинического случая для привлечения внимания к изучению данной патологии, улучшению методов диагностики и поиску различных подходов к лечению.
Цель работы: Повышение осведомленности медицинских работников о рисках и признаках, методах диагностики и подходов лечения брюшной внематочной беременности.
Задачи, поставленные при выполнении настоящей работы:
1) изучить симптомы и признаки, характерные для брюшной внематочной беременности;
2) исследовать современные методы диагностики;
3) изучить подходы к лечению, в том числе хирургические методы;
4) выявить особенности ведения женщин с данной патологией.
2. Материалы и методы исследования
Материалом исследования является история болезни пациентки Х. 31.10.2001г. рождения, которая обратилась в ГБУЗ РМ «Республиканская клиническая больница №4» с жалобами на острые боли в нижних отделах живота, общую слабость, и была госпитализирована в 3 гинекологическое отделение с диагнозом «нарушенная внематочная беременность».
Из анамнеза заболевания известно: последняя менструация 27.08.24 г с задержкой на 7 дней. От беременности не предохраняется. 25.09.2024г с 12 часов появились острые боли в нижних отделах живота. Пациентка вызвала скорую помощь, бригадой СМП доставлена в приемное отделение РКБ №4 с предварительным диагнозом: «Внематочная беременность? Апоплексия левого яичника?». В стационаре было проведено УЗИ ОМТ, заключение: УЗ-признаки структурных изменений эндометрия; кисты правого яичника? Образование левого яичника? Свободной жидкости в малом тазу. Осмотрена дежурным гинекологом, госпитализирована в гинекологическое отделение №3 ГБУЗ РМ «РКБ №4» по экстренным показаниям.
Акушерско-гинекологический анамнез: Менструальная функция с 14 лет, менструальный цикл установился сразу, регулярный, менструации по 6 дней, через 28–45 дней, безболезненные, умеренные. П/М 27.08.2024 г (со слов с задержкой последние 2 месяца). Секреторная функция не нарушена. Половая жизнь с 17 лет, в браке. Детородная функция: беременностей — 3 настоящая, роды — 1 (в 2019 г.), внематочная беременность — 1 (правостороння трубная беременность — поперечная лапаротомия, тубэктомия справа, 2018 г.) Гинекологические заболевания: эктопия шейки матки, кольпит. Перенесенные операции: Лапаротомия. Удаление маточной трубы справа.
При поступлении общее состояние больной средней степени тяжести. Термометрия: 36,9 °C. Кожные покровы телесного цвета, обычной влажности, без патологических высыпаний. Отеки не определяются. Слизистые оболочки бледно-розового цвета, без патологических высыпаний. Подкожно-жировая клетчатка развита умеренно, при пальпации периферические лимфатические узлы не увеличены. При антропометрии рост 178 см, масса тела 79 кг, ИМТ 24,93 кг/м2. При аускультации легких дыхание проводится по всем отделам, хрипов нет, частота дыхательных движений 14 в минуту, насыщение крови кислородом (сатурация) 99%. При перкуссии и аускультации сердца границы не изменены, тоны сердца ясные, ритмичные, патологических шумов не определяется, частота сердечных сокращений 74 удара в минуту, артериальное давление 130/70 мм. рт. ст. При пальпации органов брюшной полости: печень по краю реберной дуги, живот чувствительный в левой подвздошной области.
Гинекологический статус: Наружные половые органы развиты правильно. Оволосение по женскому типу. Влагалище свободное.
ОЗ: шейка матки цилиндрическая, длина влагалищной части до 2,0 см, не деформирована, плотная. Наружный зев цервикального канала закрыт. Слизистая шейки матки визуально не изменена. Выделения: бели, умеренные.
Б/М: Тело матки в anteflexio, не увеличено, плотное, смещаемое, болезненное при пальпации. Придатки справа: яичник увеличен, неподвижен, болезненен при пальпации. Придатки слева: увеличены, неподвижные, болезненные при пальпации. Движения за шейку матки болезненные. Задний свод нависает, болезненный при пальпации.
Проведено экстренное лабораторно-инструментальное исследование: ОАК, ОАМ, ЭКГ, первичное определение группы крови и резус-принадлежности (A(II), Rh(+)):
- общий анализ крови (гемоглобин — 132 г/л, лейкоциты — 27,1х109/л, эритроциты — 5,3х1012/л, тромбоциты — 190х109/л, гематокрит — 41%, MCV — 77,5 фл., MCH — 25,0 пг., MCHC — 324 г/л, RDW — 12,8 фл., MPV — 6,7 фл., с/я нейтрофилы 69%, лимфоциты 25%, моноциты 6%);
- общий анализ мочи (цвет — светло-желтая, реакция кислая, слабо мутная, уд.вес — 1015, белок — 100 мг/л, лейкоциты 1–3 в п/з, эритроциты 15–20 в п/з, эпителий 2–3 в п/з);
- ЭКГ (Синусовая тахикардия с ЧСС 100 уд/мин. Горизонтальное положение ЭОС. Нарушение процессов реполяризации миокарда нижней стенки ЛЖ в виде(-) з.Т в III, AVF.).
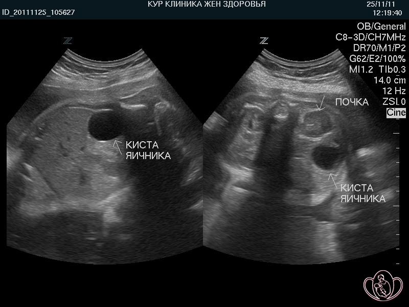
УЗИ ОМТ: (Рис.1): тело матки в anteflexio, размерами 60х45х51 мм, контур ровный, структура однородная.
М-эхо: 17 мм, полость матки расширена до 8 мм за счет анэхогенного содержимого. Шейка матки однородная, не расширена. Правый яичник: достоверно не лоцируется, в проекции правого яичника анэхогенное образование 65х55 мм. Левый яичник: достоверно не лоцируется, в проекции расположения левого яичника лоцируется анэхогенное образование 26х23 мм с толщиной стенки до 6 мм, без достоверного кровотока. Свободная жидкость в малом тазу визуализируется до 13 мм в подматочном пространстве, в области дна до 15 мм с гиперэхогенными перетяжками.
Заключение: УЗ признаки структурных изменений эндометрия, кисты правого яичника, образования левого яичника. Свободной жидкости в малом тазу.

Рисунок 1 - Ультразвуковое исследование органов малого таза
Учитывая вышеописанные жалобы, анамнез заболевания, гинекологический статус, данные инструментальных методов исследования, выставлен диагноз: «Нарушенная внематочная беременность». Пациентке показано оперативное лечение в экстренном порядке в объеме диагностическая лапароскопия, тубэктомия слева при необходимости.
Пациентке был дан общий наркоз с ИВЛ. Произведена обработка операционного поля растворами антисептиков. Наложен карбоперитонеум через иглу Вереша, заведенную параумбиликально сверху. В брюшную полость установлен порт диаметром 10 мм, через который веден лапароскоп. Под эндовидеоконтролем установлен порт в левой подвздошной области диаметром 5 мм.
При ревизии органов малого таза обнаружено: сальник подпаян к передней брюшной стенке на всем протяжении. Выполнен адгеолизис крючком в режиме монополярной коагуляции. В малом тазу, по левому и правому флангам визуализируется до 200 мл (в общей сумме) лизированной крови со сгустками — частично осушена электроотсосом. Матка увеличена, гирепемирована, несколько цианотична размерами 6,0*5,0*3,5 см. Левая маточная труба визуально патологически не изменена. Левый яичник визуально патологически не изменен. Справа маточная труба отсутствует (удалена ранее, в 2018г.) Правый яичник увеличен в размерах — 9,0* 7,0*5,0 см, с наличием кисты больших размеров — 7,0*6,0, содержимое кисты — серозная жидкость.
На поверхности брыжейки сигмовидной кишки — на 4,0 см выше ректо-сигмоидного отдела визуализируется синюшно-багровое образование размерами 5,0*5,0 см с линейным дефектом, из которого истекает алая кровь. На разрезе — хориональная ткань (рис. 2).
Принято решение о продолжении операции в объеме нижнесрединная лапаротомия, удаление брюшной беременности брыжейки сигмовидной кишки. Выполнена десуфляция газа. Операционные раны послойно ушиты. Наложены асептические повязки. После обработки кожи растворами антисептиков нижнесрединным доступом послойно вскрыта брюшная полость. Под печенью, над печенью, под селезенкой, среди петель кишечника — лизированные сгустки крови, отсушены электроотсосом.
Выполнено иссечение плодного яйца с поверхности брыжейки сигмовидной кишки путем коагуляции. На разрезе — хориальная ткань, направлена на гистологию (рис. 3). Брыжейка сигмовидной кишки ушита 2 отдельными узловыми швами. Гемостаз — сухо. Выполнено удаление кисты правого яичника: капсула кисты вылущена — на гистологию, яичник ушит непрерывным швом ПГА. Гемостаз — сухо.
Дренирование брюшной полости 4 ПВХ-трубками. Операционная рана ушита послойно. Наложена асептическая повязка.

Рисунок 2 - Образование на поверхность брыжейки сигмовидной кишки

Рисунок 3 - Материал, направленный на гистологию
С целью обезболивания назначен р-р промедола 2% — 1,0 мл в/м на 02:00, на 07:00 26.09.2024 — два раза.
С антибактериальной целью назначен р-р метронидазола 100 мл х 2 раза в день (утро, вечер), в/в, ежедневно.
С противоязвенной целью назначен фамотидин 20 мг в/в капельно на 250 мл физ. раствора.
Послеоперационный период протекал без осложнений, ведение стандартное.
Результаты обследований:
- первичное определение группы крови и резус принадлежности А(II) Rh(+);
- анализ кала на простешие и гельминтов от 26.09.2024г: не обнаружено;
- мазок на онкоцитологию от 26.09.2024 г: цитограмма без особенностей;
- мазок на степень чистоты влагалища от 26.09.2024 г: трихомонады не обнаружены, лейкоциты 1–2 в п/з, эпителий 8–10 в п/з.;
- коагулограмма от 26.09.2024 г: ПТИ — 80%, фибриноген — 3,1 г/л, МНО — 1,25, АЧТВ — 24,6 сек;
- глюкоза крови от 26.09.2024 г: 6,2 ммоль/л.
- Общий анализ крови от 26.09.2024 г: гемоглобин — 132 г/л, лейкоциты — 27,1 х109/л, эритроциты — 5,3 х1012/л, тромбоциты — 190х109/л, гематокрит — 41%, MCV — 77,5 фл., MCH — 25,0 пг., MCHC — 324 г/л, RDW — 12,8 фл., MPV — 6,7 фл., с/я нейтрофилы 69%, лимфоциты 25%, моноциты 6%.
- Общий анализ крови от 01.10.2024 г: гемоглобин — 115 г/л, лейкоциты — 11,6 х109/л, эритроциты — 4,17 х1012/л, тромбоциты — 421х109/л, гематокрит — 33,1%, MCV — 79,3 фл., MCH — 27,6 пг., MCHC — 347 г/л, RDW — 12,6 фл., MPV — 9,1 фл., с/я нейтрофилы 56%, лимфоциты 35%, моноциты 9%, СОЭ 31 мм/ч.
- Общий анализ мочи от 26.09.2024 г: цвет — желтая, реакция кислая, слабо-мутная, уд. вес — 1,015, белок — 100 мг/л, лейкоциты 1–3 в п/з, эритроциты 15–20 в п/з, эпителий 2–3 в п/з.
- Общий анализ мочи от 01.10.2024 г г: цвет — светло-желтая, реакция кислая, прозрачная, уд.вес — 1,006, белок — отр., лейкоциты 10–12 в п/з, эритроциты не обн., эпителий 4–7 в п/з.
- Коагулограмма от 03.10.2024 г: ПТИ — 80%, фибриноген — 3,2 г/л, МНО — 1,25, АЧТВ — 26,5 сек.
Результат прижизненного патолого-анатомического исследования биопсийного (операционного) материала от 25.09.2024 г.
Микроскопическое описание:
№1 В исследуемом материале фрагмент жировой клетчатки с массивными кровоизлияниями, участком врастания трофобласта. Ворсины хориона с дистрофически-некротическими изменениями, коллабированными сосудами. Элементов эмбриона не определятся.
№2 В материале фрагменты коркового слоя яичника с кистозной полостью, выстланой фолликулярнымм эпителием с участками лютеинизации.
Заключение: Гистологическая картина в исследуемом материале соответствует нарушенной абдоминальной беременности, фолликулярной кисте яичника с явлениями лютеинизции.
По результатам гистологического исследования был выставлен заключительный клинический диагноз:
Абдоминальная (брюшная) беременность. Код по МКБ О00.0
Выписана 05.10.2024 г. с улучшением.
Даны рекомендации:
1. Наблюдение врача-гинеколога, врача-терапевта амбулаторно по месту жительства.
2. Половой, физический покой 1,5 месяца.
3. Контроль ОАК, анализа крови на ферритин, сывороточное железо, ОЖСС, ОАМ, мазков на gn, ст.ч. амбулаторно.
4. Ношение компрессионных чулков 1 месяц, послеоперационного бандажа 1 месяц.
5. С антиагрегатной целью: таблетки Ацетилсалициловой кислоты ( «ТромбоАСС», либо «Кардиомагнил», либо «Ацекардол») 100 мг по 1 таб 1 р/сут. в течении 30 дней.
6. Гемостимулирующая терапия: таблетки Железа гидроксит полимальтозат («Мальтофер», либо «Феррум Лек») по 1 таб. Внутрь 2р/д ежеднемно до уровня гемоглобина выше 120 г/л и ферритина сыворотки выше 40–60 г/л.
7. Уход за послеоперационными ранами.
3. Заключение
Абдоминальная беременность является одной из самых редких форм внематочной беременности, которая может привести к тяжелым осложнениям, как со стороны матери, так и со стороны плода. Своевременная постановка беременных на учет, диагностика и лечение внематочной беременности являются залогом для благоприятного исхода. Главным методом обследования является УЗИ с определением локализации плодного яйца, но даже на современном этапе при наличии передовых методов визуализации, диагностика внематочной беременности остается проблемой для акушеров. Необходимо проявление большей настороженности к беременным из группы риска, акцентирование внимания на данных анамнеза. Также необходима профилактика повторной внематочной беременности и бесплодия, которая должна проводиться в послеоперационном периоде. При своевременной и комплексной помощи прогноз для жизни и восстановления репродуктивной функции благоприятный.
Данное клиническое наблюдение вносит дополнительный вклад в уже известные научные труды по теме данной патологии, которых немногочисленное количество. Информация в представленной работе нацелена на повышение медицинской осведомлённости и настороженности в ведении беременности.
