Analysis of a rare clinical case: infantile form of Pompe disease with cardiac involvement
Analysis of a rare clinical case: infantile form of Pompe disease with cardiac involvement
Abstract
Pompe disease is a complex autosomal recessive genetic disorder caused by mutations in the GAA gene, which encodes the enzyme acid alpha-glucosidase, involved in the breakdown of glycogen by lysosomes. This article examines the unique clinical picture of infantile Pompe disease, diagnosed at 3 months of age. This case study provides an in-depth examination of multisystem problems in a child, highlighting the importance of early genetic diagnosis and enzyme replacement therapy. The aim of the study is to examine the clinical, diagnostic and therapeutic traits of infantile Pompe disease on the basis of a rare clinical case.
1. Введение
Лизосомные болезни накопления — это гетерогенная группа наследственных метаболических заболеваний, характеризующихся прогрессирующей клеточной дисфункцией и системными проявлениями вследствие дефицита лизосомных ферментов и накопления нерасщепленных субстратов. Среди них болезнь Помпе (гликогеноз II типа) — сложное наследственное заболевание, относящееся к группе лизосомных болезней накопления и характеризующееся полисистемным поражением. Особую клиническую значимость представляет младенческая форма заболевания, проявляющаяся выраженной органной дисфункцией и мультисистемным вовлечением, что определяет неблагоприятный прогноз для пациентов . Эпидемиологическая ситуация по болезни Помпе в Российской Федерации недостаточно изучена. Регистрируются лишь отдельные случаи, что затрудняет определение точной частоты встречаемости заболевания. В мировой литературе суммарная частота всех форм болезни Помпе оценивается как 1:40 000 .
Болезнь Помпе представляет собой редкое генетическое расстройство, наследуемое по аутосомно-рецессивному типу. Причиной заболевания являются мутации в гене, отвечающем за синтез фермента кислой альфа-глюкозидазы (GAA), который локализован на участке 17q25 хромосомы . Основным механизмом развития болезни Помпе является патологическое отложение гликогена в различных органах и тканях, при этом наибольшему поражению подвергаются: сердечная мышца, скелетная и гладкая мускулатура. Изначально заболевание классифицировалось как первично-мышечное, однако современные исследования расширили представление о его патогенезе, выявив влияние на эндотелиальные клетки и мотонейроны. Накопление гликогена в центральной нервной системе приводит к развитию каскада патологических процессов, включая нейродегенерацию, васкулопатию и когнитивные расстройства, что подтверждает мультисистемное вовлечение . Дыхательная дисфункция, часто встречающаяся при болезни Помпе, обусловлена комплексным поражением, включающим не только мышечную слабость, но и структурные и функциональные изменения в проксимальных и дистальных дыхательных путях .
Прогрессирующее течение является характерной особенностью болезни Помпе, при этом выделяют инфантильную и взрослую формы, отличающиеся временем манифестации и тяжестью клинических проявлений. Инфантильная форма, дебютирующая в первые месяцы жизни, характеризуется наиболее агрессивным течением и высокой летальностью в течение первого года жизни. К основным клиническим проявлениям инфантильной формы относят: выраженную мышечную слабость, приводящая к генерализованной гипотонии, задержку формирования двигательных навыков, повышенную восприимчивость к респираторным инфекциям, дыхательную недостаточность, кардиомегалию, гипертрофическую кардиомиопатию с развитием сердечной недостаточности, гепатоспленомегалию, а также макроглоссию . В некоторых случаях гипертрофическая кардиомиопатия развивается внутриутробно. Без заместительной ферментной терапии, заболевание быстро прогрессирует, и пациенты обычно умирают на первом году жизни .
К основным методам диагностики, помимо детально собранного анамнеза жизни и заболевания, относят также лабораторные и молекулярно-генетические методы исследования. Особое внимание уделяется наличию случаев болезни Помпе или других генетических заболеваний в семье. Следует уточнить наличие необъяснимых смертей в младенческом возрасте. Определение активности кислой альфа-глюкозидазы в пятнах высушенной крови методом тандемной масс-спектрометрии является эффективным и перспективным подходом для скрининга болезни Помпе, обладающим высокой чувствительностью и специфичностью. При инфантильной форме заболевания активность кислой альфа-глюкозидазы значительно снижается (менее 10% от нормы) . При болезни Помпе наблюдается повышение уровня креатинфосфокиназы (КФК) в крови, что свидетельствует о разрушении мышечных клеток (миоцитолизе), а также повышенное выделение тетрасахарида глюкозы (Glc4) с мочой .
При выявлении сниженной активности кислой альфа-глюкозидазы всем пациентам необходимо проводить молекулярно-генетическое исследование гена GAA. Для обнаружения точечных мутаций в этом гене наиболее точным методом считается прямое секвенирование по Сэнгеру, которое является «золотым стандартом». Next Generation Sequencing (NGS) технология позволяет одновременно секвенировать все экзоны гена GAA, что значительно увеличивает скорость и эффективность анализа . Секвенирование нового поколения является полезным для выявления редких и ранее не описанных мутаций. Существуют различные варианты NGS, включая таргетное секвенирование (анализ только гена GAA) и секвенирование всего экзома, что позволяет одновременно выявлять мутации в гене GAA и других генах, ассоциированных с лизосомными болезнями накопления.
На сегодняшний день основой патогенетической терапии является ферментозаместительная терапия. Первым препаратом, получившим одобрение, стала алглюкозидаза альфа в 2006 году . Клинические исследования демонстрируют, что применение данного препарата у пациентов с болезнью Помпе приводит к существенному увеличению продолжительности жизни, а также к улучшению переносимости физических нагрузок (увеличению дистанции ходьбы) и стабилизации легочной функции, что особенно актуально при сопутствующей легочной недостаточности , . Внутривенное введение алглюкозидазы альфа рекомендуется в дозе 20 мг/кг один раз в две недели .
Информированное согласие на публикацию
От законного представителя пациента получено письменное информированное согласие на публикацию персональной медицинской информации в обезличенной форме.
2. Клиническое наблюдение
Ребенок от 3 беременности, протекавшей на фоне анемии, роды срочные в 39 недель. При рождении: масса тела 4014 грамм, рост 56 см. Пренатально на 32 недели беременности был диагностирован врожденный порок сердца (ВПС). Пациент А. рожден в октябре 2024 года в ФГБУ «НМИЦ акушерства, гинекологии и перинатологии имени академика В.И. Кулакова». Состояние при рождении относительно стабильное, по шкале Апгар 7–8 баллов, ВПС подтвержден, оперативного лечения не требовалось. В период новорожденности обследован в условиях ФГБУ НМИЦ сердечно-сосудистой хирургии имени А.Н.Бакулева. Был выставлен диагноз: ВПС: недостаточность трикуспидального клапана 3 степени, дефект межпредсердной перегородки, открытый артериальный проток, гипоплазия легочной артерии, недостаточность кровообращения 2А степени, функциональный класс 2 по классификации NYHA.
При рождении и в период новорожденности у пациента наблюдалась выраженная генерализованная мышечная гипотония, проявляющаяся общей вялостью, значительно сниженным сопротивлением при пассивных движениях в конечностях, а также слабой способностью удерживать голову. Неврологический статус характеризовался гипорефлексией, включая вялые сухожильные рефлексы, что свидетельствовало о поражении периферического нейромышечного аппарата. Парадоксально, но на фоне общей мышечной слабости отмечалась псевдогипертрофия, преимущественно икроножных мышц, которые при пальпации определялись как плотные, что является характерным признаком для нарушений метаболизма гликогена в мышечной ткани. Трудности с кормлением были обусловлены дисфагией, связанной с мышечной слабостью глотки, гортани и языка. Ребенок быстро уставал при акте сосания, что требовало длительных пауз для восстановления сил. Наряду с этими трудностями, отмечались частые срыгивания, усугубляющие риск аспирации и затрудняющие поддержание нутритивного статуса. Наблюдались эпизоды поверхностного дыхания и периодически возникающая одышка, что было связано как с общей мышечной слабостью, так и с сопутствующим ВПС. Помимо указанных проявлений, при объективном осмотре также отмечалась гепатомегалия.
В связи с отягощенным наследственным анамнезом, объективным осмотром и данными лабораторных методов исследования в условиях лаборатории ФГБУ «НМИЦ акушерства, гинекологии и перинатологии имени академика В.И. Кулакова» в декабре 2024 года выполнено полное секвенирование экзома. Обнаружено 2 вероятно патогенных варианта нуклеотидной последовательности (с.1822С> Т; с.2189+1G> А) в гене GAA.
В феврале 2025 года в условиях лаборатории наследственных болезней обмена веществ ФГБНУ «Медико-Генетический Научный Центр Имени Академика Н.П. Бочкова» выполнена энзимодиагностика: по результатам исследования выявлено снижение активности альфа-глюкозидазы-0,3 мкМ/л.ч при норме 1-25 мкМ/л.ч.
В марте 2025 года в условиях ФГБНУ «МГНЦ» методом массового параллельного секвенирования на приборе Illumina NextSeq проведен полный анализ гена GAA. Выявлены варианты: описанный ранее как патогенный (HGMD_ID CM082738) вариант нуклеотидной последовательности в экзоме 13 гена GAA (сhr17:80112645С> Т) в гетерозиготном состоянии, приводящий к появлению преждевременного терминирующего кодона (NM_000152.5:с.1822С>Т,q.(Arg608*)). Выявлен описанный ранее как патогенный (HGMD_ID CS083933) вариант нуклеотидной последовательности в донорном сайте сплайсинга, интроне 15 гена GAA (сhr17:80113367G>A) в гетерозиготном состоянии, приводящий к нуклеотидной замене (NM_000152.5: с.2189+1 G> A).
Также в марте 2025 года в условиях лаборатории селективного скрининга ФГБНУ «МГНЦ» в рамках научных исследований методом ВЭЖХ-МС/МС проведено определение концентрации Glc4 (тетрасахарид глюкозы) в моче. Концентрация Glc4 составила: 56,91 ммоль/моль креатинина при норме 2,4–16,2 ммоль/моль креатинина.
Важно, что выявленные мутации ранее были описаны в научной литературе, что предполагает потенциальную генотип-фенотипическую корреляцию. Гетерозиготное состояние этих мутаций указывает на носительство и потенциальную семейную генетическую предрасположенность. Данные генетические мутации приводят к значительному снижению функциональной активности фермента альфа-глюкозидазы. В результате этого нарушается процесс расщепления гликогена в лизосомах, и он начинает накапливаться в этих органеллах, вызывая их перегрузку и клеточную дисфункцию. Течение болезни оказало существенное влияние на развитие нервно-мышечной системы пациента. Клинические наблюдения постоянно отмечали мышечную гипотонию, снижение мышечного тонуса и прогрессирующую слабость. У пациента наблюдалась значительная задержка двигательного развития, типичная для раннего начала болезни Помпе.
Наблюдался генетиком с диагнозом: Болезнь Помпе, неонатальная форма, аутосомно-рецессивный тип наследования, с поражением сердца (гипертрофическая кардиомиопатия), ЖКТ (гепатомегалия). Вернувшись домой появилась одышка, сухой кашель, слабость, снижение массы тела. В марте 2025 года были госпитализированы в отделение реанимации и интенсивной терапии ГБУЗ СК «ГДКБ им. Г.К. Филиппского» г. Ставрополь. Проведена телемедицинская консультация с НМИЦ им. В.А. Алмазова: подтвержден диагноз болезни Помпе, обоснована необходимость ферментозаместительной терапии алглюкозидазой альфа по схеме: 20 мг/кг каждые 2 недели.
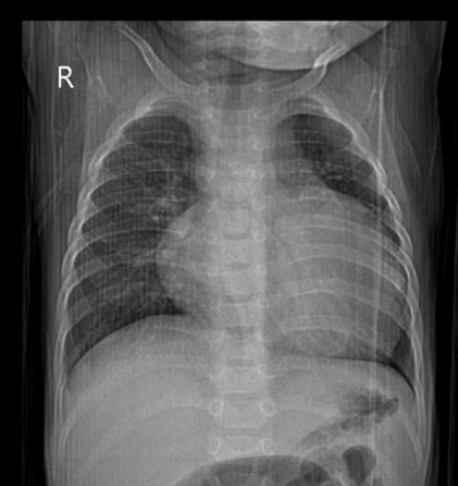
Для дальнейшего лечения и наблюдения пациент был переведен в ГБУЗ СК КДКБ г. Ставрополь отделение кардиологии и ревматологии, где в дальнейшем проводились лабораторно-инструментальные методы исследования, а также патогенетическая и симптоматическая терапия. Было выполнено рентгенографическое исследование органов грудной клетки, где выявлены признаки сгущения легочного рисунка в проекции S3 правого легкого; рентгенпризнаки резко выраженной кардиомегалии; тень сердца резко расширена в поперечнике, КТИ= 0,71 (рис. 1).

Рисунок 1 - Рентгенография органов грудной клетки на момент госпитализации в ГБУЗ СК КДКБ г. Ставрополь
Последующая ферментозаместительная терапия с июня 2025 года осуществлялась препаратом авалглюкозидаза альфа. Переход на данный препарат, стал возможен благодаря его выделению из Фонда поддержки детей с тяжёлыми жизнеугрожающими и хроническими заболеваниями, в том числе редкими (орфанными) заболеваниями «Круг добра». Это решение было обусловлено как доступностью нового препарата через фонд, так и его улучшенным фармакологическим профилем (увеличенное содержание остатков маннозо-6-фосфата), что обеспечивает более эффективный захват фермента клетками и потенциально лучшую клиническую эффективность. Препарат авалглюкозидаза альфа применялся в его стандартной терапевтической дозировке 40 мг/кг на 1 введение каждые две недели.
На фоне проводимой ферментозаместительной терапии препаратом авалглюкозидаза альфа наблюдалась положительная динамика со стороны сердечно-сосудистой системы, проявляющаяся в улучшении сократительной функции миокарда левого желудочка, о чем свидетельствует увеличение фракции выброса (ФВ). Согласно данным ЭхоКГ, ФВ по Teicholz возросла с 43% (март 2025 года) до 63% (октябрь 2025 года), а ФВ по Simpson — с 45% до 61% за тот же период (рис. 2). Кроме того, отмечалось уменьшение степени легочной гипертензии в период с марта по октябрь 2025 года: систолическое давление в легочной артерии снизилось с 47 мм/Hg до 33 мм/Hg (рис. 3).

Рисунок 2 - Показатели Эхо-КГ (фракция выброса по Teicholz и Simpson) в динамике

Рисунок 3 - Показатели Эхо-КГ (систолическое давление в легочной артерии) в динамике
Таблица 1 - Биохимические показатели крови в динамике
Дата | АЛТ, е/л; N=0-33 | АСТ, е/л; N=0-37 | КФК, е/л; N=39-308 | КФК - МВ, е/л; N=0-25 | NT-proBNP, пг/мл; N=0-320 |
Апрель 2025 года | 234 | 436 | 1105 | 51 | 10822,0 |
Июнь 2025 года | 160 | 418 | 1167 | 41 | 9833,0 |
Август 2025 года | 89 | 300 | 995 | 41 | 2232,0 |
Октябрь 2025 года | 81 | 324 | 1175 | 29 | 24,7 |
Примечание: АЛТ - аланинаминотрансфераза, АСТ - аспартатаминотрансфераза, КФК - креатинфосфокиназа, КФК - МВ - креатинфосфокиназа-МВ, NT-proBNP - мозговой натрийуретический пептид, N - нормальные значения
3. Заключение
Представленное клиническое наблюдение демонстрирует гетерогенность клинических проявлений инфантильной формы болезни Помпе и необходимость комплексного подхода к диагностике и лечению. Несмотря на наличие ВПС, диагностированного антенатально, заподозрить метаболическое заболевание удалось лишь после рождения. Применение современных методов генетической и биохимической диагностики позволило подтвердить диагноз и своевременно начать ферментозаместительную терапию, что привело к улучшению сердечной функции и метаболического статуса пациента. Однако сохраняющиеся признаки кардиомиопатии и необходимость длительного наблюдения подчеркивают необходимость дальнейших исследований в области патогенеза и лечения болезни Помпе. Крайне важна также доступность ферментозаместительной терапии и мультидисциплинарный подход к ведению таких пациентов.
