Комбинированная хирургия почечно-клеточного рака (клинический случай)
Комбинированная хирургия почечно-клеточного рака (клинический случай)
Аннотация
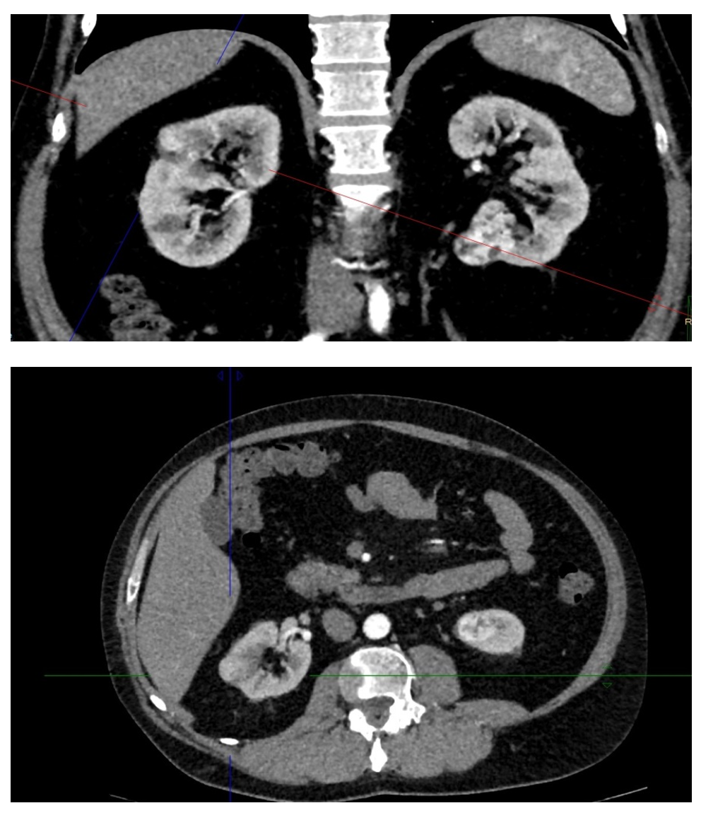
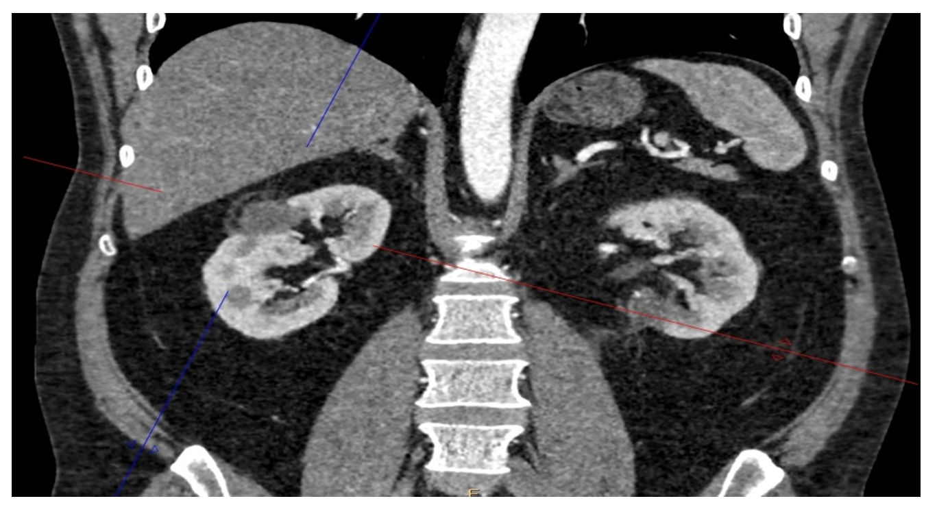
Разнообразие методов хирургического лечения ПКР, (эндоскопические и полостные резекции почки и нефрэктомии, криоаблация и РЧА), позволяют проводить хирургическое лечение пациентам, различающимся по возрасту, конституциональным особенностям, соматическому состоянию. Индивидуализация подходов к хирургическому лечению ПКР позволяет добиться наибольшей результативности и обеспечить благоприятный онкологический прогноз. Данный пример клинического случая позволяет проследить эффективность комбинации эндоскопической резекции почки и криоаблации при билатеральном ПКР. Больной Л., 43 лет, в декабре 2024 обратился в ГБУ РО КДЦ «Здоровье», при КТ органов брюшной полости и почек 09.12.2024, выявлено: в среднем сегменте правой почки с умеренным экстраренальным ростом (менее 50%) — образование р-ми 25х24х27 мм, накапливающее контраст до 138 НU, RENAL 9, баллов; в нижнем сегменте левой почки с экстраренальным ростом (более 50%) образование 30х26х31 мм, накапливающее контраст до 125 HU, RENAL 6 баллов. Установлен диагноз: первично-множественный билатеральный рак почек: рак левой почки T1NoMo ST I кл. гр.2, рак правой почки T1N0M0 ST I, кл. гр.2. 12.12.2024 — эндоскопическая резекция левой почки. 13.01.2025 чрескожная криоблация опухоли правой почки с одномоментной биопсией. Послеопреационный период в обоих случая протекал без осложнений. Через 3 месяца после последнего вмешательства (криоаблации). При КТ почек с контрастированием 16.04.2025 — в правой почке — в верхней трети изоденсивная зона не накапливающая контраст р-ми 28х22х31 мм, в нижнем сегменте левой почки дефект контрастирования паренхимы 20х20х22 мм, с фиброзными изменениями. Впервые сформирована тактика лечения больного с билатеральным ПКР, основанная на комбинации высокотехнологичных хирургических методов. Применение криоаблации в данном случае позволяет снизить риски развития ОПН, инфекционных осложнений, исключить повторное анестезиологическое пособие. Данная тактика должна применяться с учётом топографических особенностей опухолей.
1. Введение
В структуре онкологических заболеваний рак почки в Мире занимает 10 место . На протяжении нескольких лет, отмечается рост числа больных с билатеральным почечно-клеточным раком (БПКР). По данным различных авторов доля БПКР составляет 2–6% среди общей популяции больных с почечно-клеточным раком (ПКР) . Разнообразие методов хирургического лечения ПКР, таких как эндоскопические и полостные резекции почки и нефрэктомии, криоаблация и радиочастотная аблация (РЧА) опухолей почки, позволяют проводить хирургическое лечение пациентам, различающимся по возрасту, коморбидному статусу, конституциональным особенностям, соматическому состоянию. При опухолях до 4 см органосохраняющая хирургия при ПКР является стандартизованным подходом в современном онкоурологическом сообществе. Современные диагностические возможности позволяют тщательно смоделировать 3D-модель опухоли, определив её топографию, сосудистый рисунок опухоли, а также её кровоснабжение, и расположение относительно сосудистых структур, что позволяет тщательно спланировать тактику лечения больного. Особое внимание заслуживают больные с коморбидным статусом, предполагающим высокий риск осложнений в послеопреационном периоде, усугубление коморбидного фона, длительное восстановление после хирургического лечения, а также подверженность инфекции, обусловленной заведомо сниженной иммунологической сопротивляемостью. Данный подход позволяет выполнить комбинацию хирургических методов без утяжеления коморбидного статуса пациента. Индивидуализация подходов к хирургическому лечению ПКР позволяет добиться наибольшей результативности с минимальным уровнем осложнений и обеспечить благоприятный онкологический прогноз. Данный клинический случай демонстрирует эффективность комбинации эндоскопической резекции почки и криоаблации при БПКР с минимальными показателями осложнений.
2. Методы и принципы исследования

Рисунок 1 - Исходные данные
Выполнена 12.12.2024 эндоскопическая резекция левой почки на системе Da Vinci под эндотрахеальным наркозом (гистологическое заключение № 192619-30/24: в резецированной почке светлоклеточная почечно-клеточная карцинома G1, R0). В 1-е сутки послеоперационного периода показатели азотемии: креатинин 95 мкмоль/л, мочевина 6,7 ммоль/л — без клинически значимых отклонений, функция почки также без клинически значимых отклонений: СКФ 128 мл/мин. По данным узи от 13.12.2024 эхографически гематома не визуализирована. Послеоперационный период протекал без осложнений, больной выписан на 8 день.
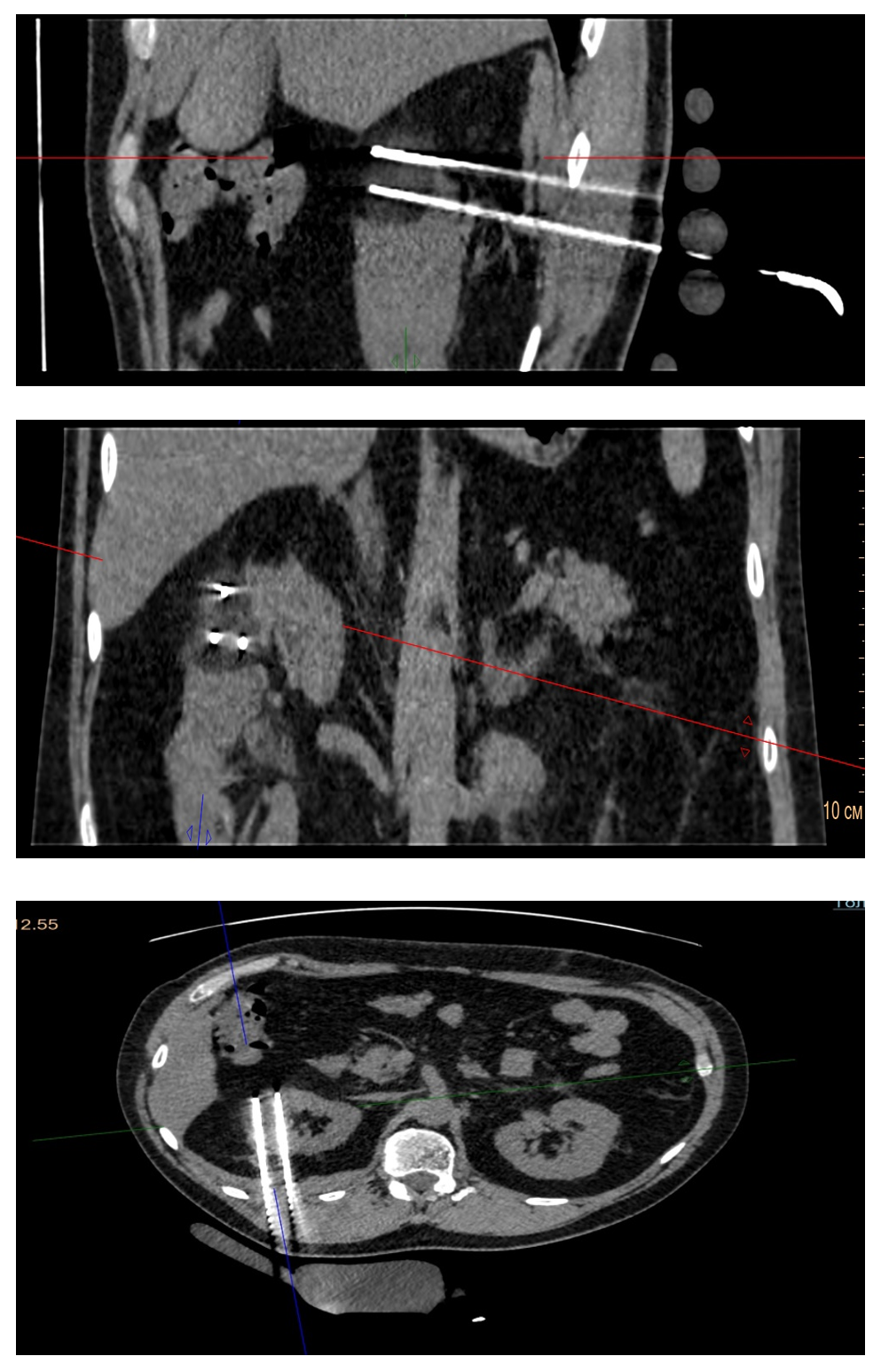
Выполнена 13.01.2025 чрескожная криоаблация опухоли правой почки с одномоментной биопсией под местной анестезией (рис.2) (гистологическое заключение № 8538-39/25: в биоптате светлоклеточная карцинома G1). Для выполнения хирургического вмешательства использовалась система навигации для биопсий SIRIO, для криоаблаци применен аппарат 3-го поколения SeedNet Gold, производства компании Galil Medical. Маленький размер игл и вариабельный объем заморозки обеспечивает достаточно точный захват опухоли или органа-мишени с минимальным воздействием на здоровые ткани. Криоаблация проведена 3-мя циклами, каждый из которых включал 15 минут заморозки и 10 мин оттаивания (пассивное с чередованием активного).

Рисунок 2 - Послеоперационный период
3. Результаты и обсуждение

Рисунок 3 - Через 3 месяца после последнего вмешательства
Grimaldi G., и соавт неотъемлемой часть лечения ненаследственной формы БПКР является резекция почки при выявлении опухоли на ранних стадиях, данная категория пациентов представляет популляцию благоприятного прогноза .
Ю.Г. Аляев и соавт. утверждают что двухсторонний рак почек является абсолютным показанием к органосохраняющей операции . За органосохранение выступают и зарубежные авторы .
Проблему билатерального ПКР с каждым годом актуализируют отечественные и зарубежные учёные. Этиология БПКР остаётся дискутабельной темой. Разные авторы определяют два этиологических фактора: генетический или первично-множественный и метастатический , , , . Вероятнее всего, имеют место оба фактора, в зависимости от которых и должна определяться тактика лечения. При сочетании вышеописанных методов, вопрос о последовательности хирургического лечения сторон поражения утрачивает свою актуальность, так как криоаблация может быть выполнена как до, так и после основного этапа лечения, и как правило, это нефрэктомия или резекция, в сроки от 2‑х недель до 1 месяца. В таком варианте сроков лечения, не требуется восстановления и длительной реабилитации больного, что исключает риски прогрессирования заболевания.
4. Заключение
Клинический случай ярко демонстрирует возможности сочетанного применения высокотехнологичных методов хирургического лечения при БПКР. Впервые сформирована тактика лечения больного с БПКР, основанная на комбинации высокотехнологичных хирургических методов. Безусловно для более точного понимания эффективности комнинированного лечения данной категории больных необходимо развернутое многоцентровое исследование. Применение криоаблации в данном случае как малоинвазивной методики позволяет снизить риски развития ОПН, инфекционных осложнений, исключить повторное анестезиологическое пособие. Данная тактика должна применяться с учётом топографических особенностей опухолей.
