Морфологические особенности медуллярной карциномы щитовидной железы
Морфологические особенности медуллярной карциномы щитовидной железы
Аннотация
Медуллярный рак щитовидной железы — это злокачественная, довольно редкая и агрессивная опухоль, обладающая гормональной активностью. В отличие от других видов рака щитовидной железы, она развивается из парафолликулярных C-клеток, которые контролируют выработку кальцитонина. Среди всех злокачественных опухолей щитовидной железы медуллярный рак занимает третье место по частоте встречаемости, представляя примерно 3% от общего числа диагностированных случаев рака щитовидной железы . Патоморфологическое исследование медуллярной карциномы играет важную роль в определении стадии распространения опухоли, выборе лечебной тактики и оценке прогноза для пациента. В нашей работе представлено 6 операционных материалов с установленным диагнозом, которые были исследованы на макро- и микроскопическом уровнях.
Цель исследования: изучить особенности патоморфологии медуллярной карциномы щитовидной.
Задачи исследования: выявить основные изменения на макро- и микроскопическом уровнях; установить морфологические признаки, определяющие прогноз медуллярного рака щитовидной железы.
1. Введение
Медуллярная карцинома щитовидной железы представляет собой злокачественное новообразование нейроэндокринной природы, характеризующееся агрессивным течением. Опухоль берет свое начало из С-клеток, известных как парафолликулярные клетки, основной функцией которых является синтез и секреция кальцитонина. Морфологически парафолликулярные клетки в щитовидной железе организованы в отдельные группы, расположенные в интерстициальной ткани, а также интраэпителиально: на базальной мембране между тироцитами. Распределение С-клеток неравномерно, с преобладанием в центральных отделах долей органа. Наличие амилоида в тканях щитовидной железы в сочетании с гиперплазией парафолликулярных (С‑) клеток рассматривается как ведущий морфологический критерий медуллярной карциномы щитовидной железы
. При этом гиперплазия С‑клеток может встречаться и при других опухолевых и неопухолевых состояниях, что снижает специфичность этого признака и затрудняет патоморфологическую диагностику . Для верификации диагноза часто требуется комплексный подход, включающий клинико‑лабораторные данные и иммуногистохимические методы исследования . До настоящего времени остаются актуальными проблемы диагностики данного заболевания.Как правило, клиническая картина медуллярной карциномы щитовидной железы неспецифична: преимущественно наблюдается узловой зоб, тогда как при запущенных стадиях возникают затруднение глотания и нарушение фонации. Однако есть исключение: медуллярный рак щитовидной железы с наличием синдромальных проявлений множественных эндокринных неоплазий
. По мере прогрессирования медуллярной карциномы щитовидной железы и увеличения объема опухолевой массы, пациенты могут испытывать симптомы, связанные с механическим воздействием новообразования на окружающие органы и ткани. Инвазия в гортань может проявляться охриплостью голоса, обусловленной поражением и/или сдавлением возвратного гортанного нерва. Прорастание опухоли в пищевод приводит к дисфагии. Компрессия трахеи вызывает одышку и затруднение дыхания . Метастатическое распространение медуллярного рака щитовидной железы характеризуется последовательным поражением лимфатических узлов: на ранних стадиях поражаются центральные и боковые группы лимфатических узлов шейной области с последующим вовлечением отдаленных органов, таких как легкие, кости и печень .Медуллярная карцинома щитовидной железы классифицируется на несколько форм, различающихся по этиологии и клиническим проявлениям:
1. Спорадическая форма: является наиболее распространенной формой, составляя около 70% диагностируемых случаев. Она характеризуется односторонним поражением щитовидной железы и отсутствием связи с другими патологиями эндокринной системы
.2. Семейные формы, к которым относят: синдром множественных эндокринных неоплазий 2А типа (синдром Сиппла); синдром множественных эндокринных неоплазий 2Б типа и изолированная семейная форма.
Синдром Сиппла, характеризуется триадой поражения эндокринных органов: медуллярная карцинома щитовидной железы, феохромоцитома и гиперпаратиреоз, отражающей сочетанное поражение эндокринных органов. Феохромоцитома характеризуется избыточной продукцией катехоламинов, что приводит к развитию артериальной гипертензии, головных болей и других симптомов. Гиперпаратиреоз обусловлен повышенной секрецией паратиреоидного гормона, что приводит к повышению уровня кальция в крови и развитию поражения костной ткани
.Синдром множественных эндокринных неоплазий типа 2Б характеризуется одновременным развитием у пациента медуллярного рака щитовидной железы, феохромоцитомы и множественных ганглионевром слизистых оболочек. Ганглионевромы — доброкачественные опухолевые образования из нервных клеток, локализующиеся на слизистых оболочках рта, языка и желудочно‑кишечного тракта. Типичная конституция пациентов с этим синдромом — высокий рост и астеническое телосложение. Поражение околощитовидных желез и связанный с этим гиперпаратиреоз при МЭН‑2Б наблюдается относительно редко
.Изолированная семейная форма представляет собой наследственную разновидность медуллярного рака щитовидной железы, при которой опухолевый процесс не сопряжён с поражением других эндокринных органов. По клиническому течению и степени агрессивности эта форма считается менее злокачественной по сравнению с другими вариантами медуллярной карциномы щитовидной железы
.Исследование проведено в «Патоморфологической лаборатории СтГМУ». Получены 6 операционных материалов с установленным диагнозом медуллярного рака щитовидной железы (С-клеточный рак с амилоидозом стромы). Исследование изменения структурных свойств и поверхности мембраны атипических клеток ткани щитовидной железы проводилось с помощью световой микроскопии.
2. Обсуждение
Все 6 операционных материалов при макроскопическом и микроскопическом исследовании имели основные патоморфологические критерии, указывающие на медуллярную карциному щитовидной железы.
Макроскопически опухоль имеет вид солитарного узла размером 2,5–3 см в диаметре, плотный, мелкобугристый. На разрезе ткань узла светло-желтого цвета с участком кровоизлияний. В центре узла имеется участок западения более плотный, чем остальная часть узла. На разрезе узел инкапсулированный, но имеются фестончатые участки, как бы «разъеденные» опухолью.
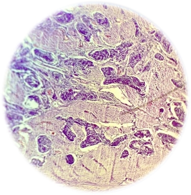
Микроскопически в медуллярной карциноме следует различать мономорфноклеточный, веретеноклеточный и полиморфноклеточный варианты. В нашем материале выявлен преимущественно веретеноклеточный вариант. Опухоль представлена солидными участками, разделенными прослойками соединительной ткани (см. рис. 1).

Рисунок 1 - Медуллярная карцинома щитовидной железы. Общий вид

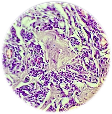
Рисунок 2 - Солидные и трабекулярные структуры медуллярной карциномы щитовидной железы
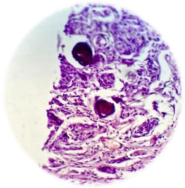
Характерной гистологической особенностью медуллярной карциномы являются изменения в строме, которая образована гиалинизированной фиброзной тканью с глыбками амилоида. Амилоид выявлен при окраске конго-красным. Гиалиноз наиболее выражен в центре узла, который представлен в виде обширного очага гиалинизированной фиброзной ткани с большим количеством амилоида. Вокруг отложений амилоида определяются гигантские клетки инородных тел, мелкие и крупные очаги обызвествления (см. рис. 3). В гиалинизированной строме видны разрозненные опухолевые клетки с дистрофическими изменениями. Среди солидных полей обнаруживаются мелкие фолликулы со следами коллоида. В медуллярной карциноме встречаются псаммомные тельца.

Рисунок 3 - Медуллярная карцинома щитовидной железы. Очаги обызвествления
Таким образом для медуллярной карциномы характерно:
1. Солидный тип строения.
2. Умеренный полиморфизм клеток.
3. Выраженный гиалиноз стромы.
4. Обнаружение амилоида.
3. Заключение
По результатам исследования выявлены некоторые патогистологические особенности медуллярного рака щитовидной железы. Медуллярная карцинома щитовидной железы развивается из парафолликулярных С-клеток, характеризуется наличием клеток веретенообразной и полигональной формы. Опухолевые клетки образуют солидные поля или трабекулярные структуры.
