Клиническое наблюдение круглой пневмонии у ребенка 7 лет
Клиническое наблюдение круглой пневмонии у ребенка 7 лет
Аннотация
Круглая пневмония относится к пневмониям, отличительным признаком которой является очаговое затемнение округлой или сферической формы на рентгенограммах органов грудной клетки. Оно встречается преимущественно у детей до 8 лет, что обусловлено анатомо-физиологическими особенностями строения дыхательных путей. Диагноз «круглая пневмония» следует устанавливать детям с типичными клиническими проявлениями и характерными рентгенологическими признаками. Однако некоторые заболевания в детском возрасте могут проявляться в виде округлых затемнений на рентгенограммах, что требует проведения дифференциальной диагностики. Статья посвящена клиническому наблюдению круглой пневмонии у ребенка 7 лет, включая комплексный анализ клинико-анамнестических и лабораторно-инструментальных данных, алгоритм дифференциальной диагностики и эффективные подходы к терапии.
1. Введение
В российской педиатрии пневмония определяется как «острое инфекционное заболевание легочной паренхимы, диагностируемое по синдрому дыхательных расстройств и/или физикальным данным, а также инфильтративным изменениям на рентгенограмме» .
Круглая пневмония относится к пневмониям, отличительным рентгенологическим признаком которой является очаговое затемнение округлой или сферической формы диаметром 1–7 см. Данный патологический процесс локализуется чаще субплеврально в задних отделах легких, с возможной реакцией со стороны плевры, но без формирования выпота , . Встречается, в основном, у детей младшего возраста (чаще до 8 лет), что обусловлено недостаточным развитием коллатеральных путей вентиляции (поры Кона и каналы Ламберта) , .
Согласно статистическим данным встречаемость круглой пневмонии в Российской Федерации, как и во всем мире, составляет менее 1% , . По результатам проведенного литературного анализа (PubMed, Web of Science и Cochranelibrary) в течение 20 лет было зарегистрировано 25 работ, где описано 29 случаев круглой пневмонии. Наиболее частыми клиническими симптомами заболевания были лихорадка (79%), кашель (62%), одышка (41%), боли в грудной клетке (28%), астеновегетативные проявления (головные боли, слабость, миалгия) (14%). По локализации круглые пневмонии чаще располагались в верхней доле правого легкого (66%). В половине случаев (48%) верифицированы возбудители: Streptococcus pneumoniae, Enterobacter hormaechei, Rickettsia typhi и Chlamydia pneumoniae. Антибактериальная терапия была эффективна во всех наблюдениях .
Таким образом, анализ этиологических факторов, клинических проявлений, а также подходов к терапии при круглых пневмониях не выявил значимых различий от инфекционных воспалительных заболеваний легочной паренхимы. Однако некоторые патологические состояния могут иметь схожие с круглой пневмонией рентгенологические признаки (абсцесс легкого, новообразования, туберкулез, аспергиллез, гранулематозный васкулит, пороки развития), в связи с чем проведение дифференциальной диагностики является важным условием для своевременного начала рациональной терапии , (Таб. 1).
Таблица 1 - Дифференциальная диагностика округлых уплотнений выявляемых при проведение лучевой диагностики
Круглая пневмония | 2–8 лет с типичными симптомами пневмонии (лихорадка, кашель и тахипноэ) |
Рентгенограмма органов грудной клетки: паренхиматозное округлое затемнение в нижней доле, соприкасающееся с щелями, ± воздушные бронхограммы | |
Грибковая инфекция | На рентгенограмме может быть представлена как округлая гомогенная непроницаемость, которая кавитирует по мере восстановления иммунной системы ребенка. На КТ представлена как признак гало, признак полумесяца (указывает на грибковый шар), кавитация |
Абсцесс легкого | Бактериальная этиология |
На рентгенограмме легких округлое затемнение с уровнем воздуха и жидкости (одинаковые размеры в обеих проекциях). КТ может помочь лучше охарактеризовать и оценить связь с соседними структурами в случае необходимости дренирования и выявления сопутствующей эмпиемы, инфаркта легкого. | |
Туберкулез | На рентгенограмме легких любой вид паренхиматозного затемнения + внутригрудная лимфаденопатия |
Врожденные пороки развития легких — секвестрация | Рентгенологически проявляется как пневмония, локализуется в нижних долях (слева > справа) КТ-ангиография показывает диагностический, системный артериальный приток, системный венозный (экстралобарная секвестрация) и легочный венозный (интралобарная секвестрация) дренаж |
Врожденные пороки развития легких — врожденная кистозно-аденоматозная мальформация | Рентгенологически проявляется как пневмония На КТ (в идеале после устранения инфекции) зависит от типа, отсутствуют связанные системные сосуды или трахеобронхиальное сообщение |
Врожденные пороки развития легких — бронхогенная киста | При внутрилегочном расположении на рентгенограмме в легких видны четко очерченные затемнения. КТ-ангиография позволяет оптимально оценить состояние, исключить аномалии кровоснабжения |
Опухоли | Лимфома — у подростков, изолированное затемнение паренхимы встречается редко, обычно с аденопатией. Нейробластома – образование в заднем средостении на рентгенограмме, часто с кальцинатами. |
Грыжа диафрагмы / эвентрация | Обычно в реберно-диафрагмальном углу на рентгенограмме видны уровни жидкости и газа, указывающие на содержимое кишечника |
Примечание: составлена авторами на основе источника [10]
2. Клиническое наблюдение
Пациент и его законные представители дали свое информированной согласие на обработку персональных данных.
Мальчик 7 лет поступил в пульмонологическое отделение ГБУЗ «Морозовская ДГКБ ДЗМ» 15.12.2024 года в сопровождении родителей с жалобами на кашель, повышение температуры тела до фебрильных цифр, боль в левой половине грудной клетки.
Анамнез заболевания: за три недели до обращения в стационар ребенок перенес острую респираторную инфекцию, сопровождающуюся повышением температуры тела до 40,0Со в течение пяти дней. Проводилась симптоматическая терапия с положительным эффектом. 13.12.2024 у ребенка появились жалобы на кашель, в связи с чем самостоятельно была начата ингаляционная терапия будесонидом в дозировке 1 мг в сутки. 14.12.2024 у мальчика появилась фебрильная лихорадка, максимально до 39,0Со, сохранялись жалобы на кашель. В терапии: нестероидные противовоспалительные препараты (до четырех раз в сутки в возрастной дозировке) с кратковременным положительным эффектом, ингаляции с будесонидом. 15.12.2024 в связи с сохранением вышеописанных жалоб, а также появлением болевого синдрома в левой половине грудной клетки, самотеком обратились в приемное отделение ГБУЗ «Морозовской ДГКБ ДЗМ». Ребенок был госпитализирован в пульмонологическое отделение.
Анамнез жизни: ребенок от 1 беременности (беременность во всех триместрах протекала без особенностей) от 1 родов естественным путем на 40 неделе. Масса при рождении 3000г, длина тела 52см, оценка по шкале Апгар 8/9 баллов. Ребенок вакцинирован согласно национальному календарю.
Объективный статус при поступлении: на момент осмотра в пульмонологическом отделении состояние ребенка средней степени тяжести, температура тела — 38,4Со, в сознании, вялый. Кожные покровы бледно-розовой окраски, чистые от аллергической и инфекционной сыпи. Видимые слизистые оболочки розовые, чистые. Дыхание самостоятельное. Аускультативно в легких дыхание ослаблено слева в нижних отделах, хрипы не выслушиваются. Кашель малопродуктивный. Частота дыхательных движений — 26 в минуту, сатурация по данным пульсоксиметрии — 94–95%. Гемодинамика стабильная. Тоны сердца ясные, ритмичные, патологические шумы не выслушиваются. Живот мягкий, доступен поверхностной и глубокой пальпации, безболезненный. Печень и селезенка не пальпируются. Диурез адекватный.
Результаты проведенного лабораторного и инструментального обследования:
- клинический анализ крови от 15.12.2024: нейтрофильный лейкоцитоз (лейкоциты 39,84 х 109/л, абсолютное количество нейтрофилов — 35,26 х 109/л);
- биохимический анализ крови от 15.12.2024: повышение маркеров воспаления (С-реактивный белок (СРБ) — 206 мг/л, прокальцитонин (ПКТ) — 44,0 нг/мл), маркеры цитолитической активности, азотистого и пигментного обмена, кардиомаркеры — в норме;
- коагулограмма от 15.12.2024: нормокоагуляция;
- исследование на инфекции от 15.12.2024: экспресс-тест на грипп А и В, COVID-19 — отрицательно, ПЦР со слизистой носоглотки на Mycoplasma pneumoniae (M.pneumoniae) и Chlamydophila pneumoniae (Chl. pneumoniae) — не обнаружено, определение IgM и IgG путем иммуноферментного анализа (ИФА) на M.pneumoniae, Chl. рneumoniae, Pneumocystis jivorecii (carinii) — отрицательно;
- клинический анализ мочи от 15.12.2024: без отклонений;
- посев мокроты на микрофлору от 16.12.2024: выделен рост Streptococcus pneumoniae;
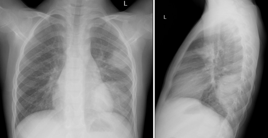
- рентгенография органов грудной клетки от 15.12.2024: слева в проекции периферических отделов S3 и S9-10 определяются два крупных участка затемнения с несколько нечеткими контурами, однородные по структуре. В остальных отделах легочные поля прозрачные, без очагов и инфильтративных изменений (рис.1)
- эхокардиография от 16.12.2024: камеры сердца не увеличены. Геометрия левого желудочка обычная. Признаков гиперторофии левого желудочка нет. Показатели сократительной способности миокарда левого желудочка в норме, ФВ 62%. Жидкость в перикарде не определяется. Эхо признаков легочной гипертензии нет.
- электрокардиография от 16.12.2024: ритм предсердный ускоренный, регулярный. ЧСС 97–101 уд/мин. Нормальное положение электрической оси сердца. Повышение электрической активности миокарда левого желудочка.
- ультразвуковое исследование (УЗИ) плевральных полостей от 16.12.2024: эхографических признаков скопления патологического жидкостного содержимого в плевральных полостях не обнаружено, пневматизация нижней доли левого легкого снижена, там же прослеживается слабо выраженная воздушная бронхограмма.

Рисунок 1 - На рентгенограмме органов грудной клетки определяются полисегментарные инфильтративные изменения в левом легком
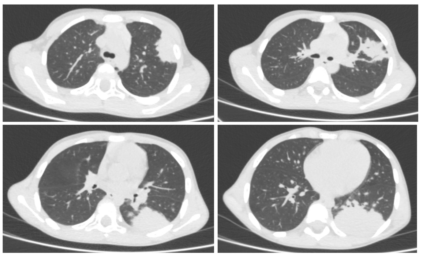
С учетом высоких маркеров воспаления, болевого синдрома, округлого затемнения на рентгенограмме органов грудной клетки с целью дифференциальной диагностики с абсцессом легкого принято решение о проведение компьютерной томографии (КТ) органов грудной клетки. При проведении КТ органов грудной клетки (от 15.12.2024) в S3, S6, S10, S9 левого легкого определяются две крупных зоны уплотнения легочной паренхимы. Структура их гомогенная, солидная, с небольшими участками воздушной бронхограммы, контуры достаточно четкие, местами тяжистые. Нижняя зона прилежит к париетальной плевре на уровне задних отрезков VII–X ребер, верхняя зона на уровне переднего отрезка 2 межреберья. Правое легкое во всех отделах без нарушения воздушности. Трахея и крупные бронхи не изменены. Плеврального выпота не выявлено (рис.2).

Рисунок 2 - КТ-картина соответствует левосторонней полисегментарной пневмонии
На фоне проводимого лечения отмечена положительная динамика: лихорадка купирована, аускультативно в легких дыхание проводится равномерно по всей поверхности легких. По результатам проведенной лабораторной диагностики в динамике наблюдалось снижение маркеров воспаления (табл. 2), в посеве мокроты выявлен предполагаемый возбудитель — Streptococcus pneumoniae.
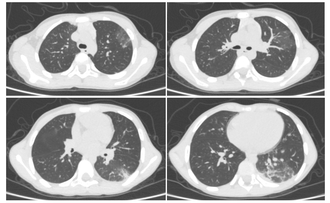
С целью оценки эффективности терапии 23.12.2024 г. ребенку было проведено также КТ органов грудной клетки: на уровне ранее выявленных зон консолидации легочной паренхимы в S3, S6, S10, S9 левого легкого при настоящем исследовании определяются участки инфильтрации с ретикулярными изменениями. В паренхиме правого легкого без очаговых и инфильтративных изменений. Трахея и крупные бронхи не изменены. Плеврального выпота не выявлено (рис.3).
Таблица 2 - Лабораторная диагностика в динамике
Показатель | 16.12.2024 | 17.12.2024 | 20.12.2024 | 23.12.2024 |
Количество лейкоцитов, абс., 109/л | 22,24 | 14,8 | 8,72 | 8,12 |
Количество нейтрофилов, абс., 109/л | 18,22 | 10,27 | 4,49 | 3,92 |
СРБ, мг/л | - | 112,1 | 20 | 6 |
ПКТ, нг/л | - | 14,3 | 2,46 | 0,56 |
Примечание: составлена авторами на основе клинического наблюдения

Рисунок 3 - КТ-картина соответствует левосторонней полисегментарной инфильтрации с положительной динамикой в сравнении с предыдущим исследованием
3. Заключение
У детей младше 8 лет с клиническими симптомами и признаками пневмонии, а также типичными рентгенологическими признаками (округлое или сферическое затемнение на рентгенограммах органов грудной клетки) почти всегда диагностируется круглая пневмония. Согласно имеющимся литературным данным с учетом предполагаемого возбудителя (Streptococcus pneumoniae) лечение круглой пневмонии аналогично лечению долевой пневмонии и проводится антибактериальными препаратами широкого спектра действия. Через несколько дней после начала лечения целесообразно проводить контрольную лучевую диагностику с целью оценки динамики и эффективности проводимой терапии. При атипичной клинической картине, нарастании маркеров воспаления, отрицательной динамике по результатам лучевой диагностики следует проводить дифференциальную диагностику с врожденными пороками развития, абсцессом легкого, туберкулезом, грибковыми инфекциями и новообразованиями.
