Return to article
Выполнение гибридного хирургического вмешательства при осложненном огнестрельном ранении общей сонной артерии: клинический случай
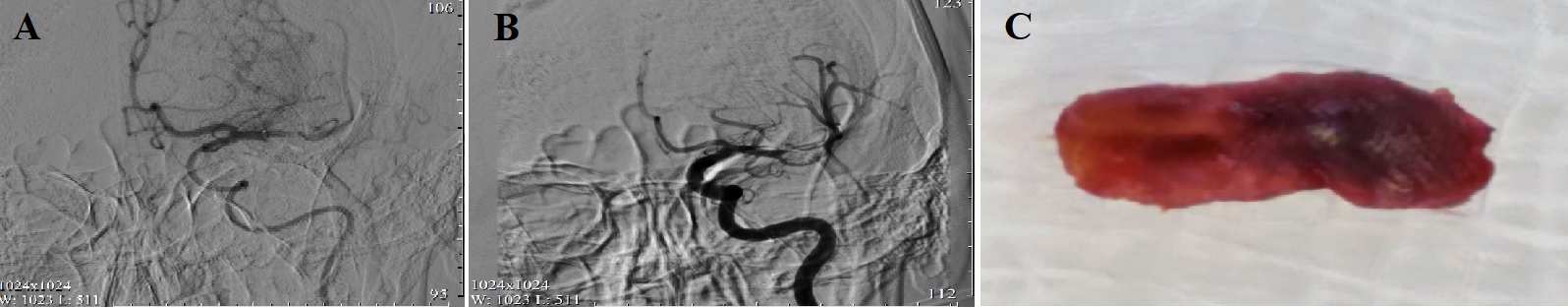
Рисунок 1 - Результаты ангиографии до (А) и после (В) выполнения тромболизиса и тромбоэкстракции: М1 сегмент контрастируется, магистральный кровоток в бассейне левой средней мозговой артерии восстановлен; извлеченный тромб 2х5 мм (С)

