МОРФОМЕТРИЧЕСКАЯ И ГИСТОХИМИЧЕСКАЯ ХАРАКТЕРИСТИКА ПЛАЦЕНТЫ СЕВЕРНЫХ ДОМАШНИХ ОЛЕНЕЙ (RANGIFER TARANDUS)
МОРФОМЕТРИЧЕСКАЯ И ГИСТОХИМИЧЕСКАЯ ХАРАКТЕРИСТИКА ПЛАЦЕНТЫ СЕВЕРНЫХ ДОМАШНИХ ОЛЕНЕЙ (RANGIFER TARANDUS)
Аннотация
Фрагменты плаценты (толщиной от 5 мм и площадью до 3 см²), полученные от северных домашних оленей (rangifer tarandus), фиксировали в 10% забуференном формалине HistoSafe, затем обезвоживали в растворе Изопреп с последовательным увеличением концентрации и заливали в парафин Гистомикс. Микрофотографии анализировали статистически, используя среднее значение и стандартное отклонение для непрерывных данных и межквартильный размах для категориальных. Статистическая значимость определялась при p <0,05. Расчеты проводились в программах IBM SPSS Statistics 26 и Microsoft Excel. Впервые у северных домашних оленей установлена способность мезенхимальных стромальных клеток проявлять пластичность, характерную для мезенхимально-эпителиального перехода. В плаценте северного домашнего оленя на последних сроках гестации установлено частичное разрушение эпителия амниона с образованием вакуолей. Клетки цитотрофобласта имеет вид кубических, округло-овальных, уплощенных и полигональных клеток со скудной и умеренной по объему цитоплазмой, нередко включающей мелкокапельные вакуоли, вследствие чего некоторые клетки приобретают просветленный вид, а также с небольшими и средними по размеру ядрами. Под ним располагается пластинка из РВСТ. Клетки фибробластического ряда карункулов материнской части плаценты северного домашнего оленя (rangifer tarandus) с умеренной и выраженной внутриклеточной вакуолизацией, вследствие чего они приобретают перстневидную и просветленную морфологию, что указывает на вакуольную дистрофию клеток эпителия ворсин хориоаллантоиса. В плацентомных срезах отмечается вакуольная дистрофия фибробластов материнской части плаценты, проявляющаяся в вакуолизации и изменении формы клеток (перстневидные, просветлённые). Полнокровие капиллярной сети, умеренная лимфоцитарная инфильтрация соединительной ткани ворсин хориоаллантоиса. Кроме того, выявили полиморфную инфильтрацию соединительной ткани ворсин и стромы карункулов в плацентомах и выраженную гиперемию капилляров ворсин, а также вакуолизацию и просветление клеток эпителия ворсин хориоаллантоиса.
1. Введение
Существенное снижение племенного поголовья северных домашних оленей (Rangifer tarandus), приобретают особо важное государственное значение в аграрных предприятиях и домохозяйств территории Республики Саха (Якутия) Российской Федерации , . В первую очередь это связано с вопросами репродукции и ведения селекционно-племенной работы . Одним из наиболее распространенных репродуктивных патологий у племенных оленей является бесплодие важенок и рождение нежизнеспособного молодняка — мультисистемных заболеваний, главной причиной которых является нарушения обмена веществ, гомеостаза и плацентации в период беременности, которое приводят к репродуктивным патологиям в родах и после родов . Однако этиология и патогенез плацентарной недостаточности остаются вне сферы интересов исследователей.
Современные исследования в области междисциплинарных фундаментальных достижений в области геномной селекции, иммунологии, гистологии и цитологии доказывают, что оптимальным прогностическим признаком возникших репродуктивных патологий, являются геномные и клеточные молекулярные нарушения , . Для выявления молекулярных биомаркеров ответственных за данный процесс в научных исследованиях применяются гистохимические методы биоматериала, (плацента), а полученные результаты обладают предиктивной способностью, что позволит создать диагностические тест-системы для устранения негативных явлений. В исследованиях , плаценты у импал выявлено, что её макроскопическая и гистологическая структура, а также иммуногистохимические свойства демонстрируют значительные различия между плацентами жвачных животных. Авторы , указывают на то, что плацента антилопы гну была типично синэпителиохориальной макрокотиледональной у жвачных животных с многочисленными плоскими плацентомами, развивающимися в головном роге и ни материнское желтое тело, ни аллантоис не показали иммуногистохимического окрашивания на цитохром P450 ароматазу.
Развивающаяся плацентарная недостаточность, не только негативно влияет на рост и развитие плода, но и снижает продуктивность животных, что, в итоге, приводит к значительным экономическим потерям , . Известно несколько факторов риска, которые предрасполагают к бесплодию на почве осложненной беременности, но объединяющий патогенез остается неуловимым из-за его многофакторной этиологии и плохо поддающимся корреляциями. В исследованиях , , , с помощью гистологии, иммуногистохимии и зимографии были проанализированы различные молекулы внеклеточного матрикса (металлопротеиназы, их ингибиторы и фибриллярные компоненты) в трёх сегментах матки (краниальном, среднем и каудальном) взрослых вискачей. Установлено, что изменения в матриксе эндометрия матки по краниокаудальной оси могут способствовать процессам ремоделирования матки, которые регулируют выживаемость эмбриона во время беременности , , . Кроме того, в научной литературе отсутствуют экспериментальные данные о том, какие молекулярные механизмы лежат в основе патогенеза патологического состояния важенок, связанного с нарушением плацентации н последних сроках гестации.
Морфологические параметры определения степени достаточности плаценты включают такие критерии:
– иммуномодулирующие свойства эпителиальных и мезенхимальных клеток в период имплантации и последующих сроков гестации;
– метаболизм системы «мать-плацента-плод» и митотический индекс клеток синэпителиохориальной плаценты жвачных на последних сроках периода беременности и непосредственно в родах;
– наличие выраженности фокусов апаптоза эпителиально-мезенхимных клеток синцитиотрофобластов на последних сроках гестации и в процессе родов. Заполнение пробелов в данной области знаний позволит установить основополагающие процессы, принимающие прямое или опосредованное участие в патогенезе плацентарной недостаточности и механизма развития репродуктивных патологий у самок и убытия из воспроизводства.
Цель исследования состоит из изучения морфометрической и гистохимической характеристики плаценты северных домашних оленей (rangifer tarandus).
2. Методы и принципы исследования
Для гистологического анализа были отобраны фрагменты плаценты толщиной не менее 5 мм и площадью до 3 см². Первым этапом была фиксация образцов в 10% нейтральном забуференном формалине HistoSafe (ООО «ЭргоПродакшн», Россия) на 24 часа. Затем проводилось обезвоживание с использованием раствора Изопреп (ООО «ЭргоПродакшн», Россия), где образцы последовательно проходили через серии с возрастающей концентрацией реагента, по 30 минут в каждой. Следующим шагом было уплотнение материала в двух сериях парафиновых сред Гистомикс (ООО «ЭргоПродакшн», Россия), каждая продолжительностью 50 минут. Для получения тонких срезов использовался ротационный микротом «Ротмик-2» (ЗАО «Орион Медик», Россия), с толщиной срезов 5 мкм. Готовые срезы наносились на предметные стекла и подвергались окрашиванию. Для общего обзора применялись стандартные методы (гематоксилин и эозин, ООО «ЭргоПродакшн», Россия), а для выявления специфических компонентов — специальные методики: альциановый синий для кислых гликозаминогликанов и ШИК-реакция для нейтральных гликозаминогликанов (ООО «ЭргоПродакшн», Россия), в соответствии с установленными протоколами.
При статистической обработке данных применяли описательную статистику (среднее значение ± стандартное отклонение для нормально распределенных непрерывных переменных и межквартильный размах для категориальных переменных) рассчитывали для каждой группы. Все непрерывные переменные проверяли на нормальность с использованием теста Колмогорова-Смирнова для визуальных микрофотографий. Категориальные данные оценивали с помощью теста Фишера, когда предполагаемое число клеток было <5. Результат считался статистически достоверным значимым при уровне значимости р<0,05. Все анализы проводили с использованием программного обеспечения IBM SPSS Statistics 26 («IBM Corp.», США), Microsoft Excel 2000 SPSS 10.0.5 for Windows.
3. Основные результаты
Топологические свойства полученных количественных данных показал, что у важенок северных домашних оленей на финальных этапах гестации плацентомы приобретают выпуклую форму и достигают значительных размеров (в среднем 14,6 на 8,67 см). При этом их общее количество сокращается до 4-7 единиц, рис. 1.

Рисунок 1 - Олигокотиледонная анатомическая структура плаценты важенок северного домашнего оленя после отделения
Для плаценты важенок северного домашнего оленя (Rangifer tarandus) характерно формирование отделяющими ворсины хориоаллантоиса от промежуточной пластины к поверхности определенного участка контакта спланхноплевры аллантоиса с соматоплеврой хориона. Визуализируются выраженные различия в высоте эпителиальных структур ворсин, параметрах ядер ворсин при сравнении хориоаллантоиса смежных участков фетальной части плаценты. В норме хориоаллантоис котиледона важенок северных домашних оленей на последних сроках гестации имеет типичную ворсинчатую, сильно разветвленную структуру, основу ворсин составляет рыхлая волокнистая соединительная ткань с фокусами миксоидного строения, рис. 2.

Рисунок 2 - Морфология фрагмента ворсинки хориона
Примечание: а) ув. 100, окраска гематоксилин-эозином, визуализируется плотный слой трофобласта, покрывающий поверхность ворсинки (стрелки); б) ув. 400, окраска гематоксилин-эозином, показаны клетки трофобласта, имеющие призматическую форму, с выраженной вакуолизацией цитоплазмы и наличием пигментных включений бурого цвета (стрелки)
Соединительная ткань, формирующая хориальную пластинку ворсин хориона, на единицу площади котиледона характеризовалась повышенной плотностью и обильным содержанием волокнистых элементов, рис. 3а.

Рисунок 3 - Ворсины хориона:
а) фрагмент: цитоплазма высоких призматических эпителиоцитов содержит ШИК-позитивные включения; б) строма ворсин хориона характеризуется высокой плотностью коллагеновых фибрилл (отмечены стрелками)
Примечание: а – применялась комбинированная гистохимическая окраска (альциановый синий, ШИК-реакция) с последующей ядерной окраской гематоксилином Майера, увеличение ×400; б – окраска по Ван-Гизону, увеличение ×100
На внутренней поверхности амниотической оболочки, обращенной к плоду, находились призматические эпителиальные клетки. В их верхней части была обнаружена плотная сеть мелких выростов (микроворсинок), рис. 4а.

Рисунок 4 - Фетальная часть плаценты северного домашнего оленя на последних сроках гестации (эпителий амниона с частичным разрушением и перинуклеарной вакуолизацией, стрелки)
Примечание: окраска гематоксилин и эозин; увеличение: а – х100; б – х400
Подавляющее большинство ворсинок хориона покрыто характерным двухслойным эпителием, (трофобластом). Этот трофобласт состоит из двух слоев: внутреннего цитотрофобласта и наружного синцитиотрофобласта. Далее следует хориальная пластинка, образованная рыхлой волокнистой соединительной тканью (РВСТ). Клетки цитотрофобласта отличаются разнообразием: они могут быть кубическими, округло-овальными, иметь три ядра (трехъядерные), быть уплощенными или крупными с двумя ядрами (двуядерные гигантские). Также встречаются клетки фибробластического ряда, в которых из-за скопления пузырьков (вакуолей) внутри они приобретают вид колец (перстневидная морфология) или становятся более прозрачными (просветленная морфология). Эти изменения указывают на дистрофические процессы, связанные с образованием вакуолей, в клетках эпителия ворсин хориона, что проиллюстрировано на рис. 4.
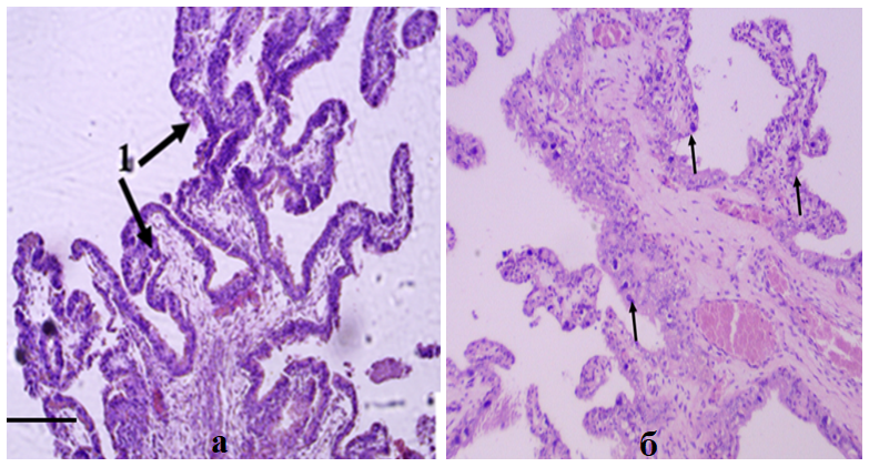
Отмечается рассеянная полиморфноклеточная инфильтрация в рыхлой волокнистой соединительной ткани ворсин хориона и стромальных элементах. Наблюдается резко выраженная гиперемия капиллярного русла ворсин. Эпителий ворсин хориона кубический, с умеренной внутриклеточной вакуолизацией, поэтому клетки приобретают перстневидную и просветленную морфологию, рис. 5а.

Рисунок 5 - Плацентома, поперечный срез карункула с котиледоном северного домашнего оленя на последних сроках гестации:
1 – крипты; 2 – ворсины хориона; 5 – отслаивание эпителия; 6 – вакуолизация клеток РВСТ ворсин хориона
Примечание: окраска гематоксилин и эозин; увеличение: а – х40, б – х400,
Цитоплазма в этих клетках содержится в небольшом или умеренном количестве и часто содержит мелкие вакуоли, из-за чего некоторые клетки выглядят светлыми. Ядра клеток небольшие или средние по размеру. Под слоем цитотрофобласта находится пластинка из рыхлой волокнистой соединительной ткани (РВСТ), что подтверждается данными других исследований , . Фибробласты в материнской части плаценты северного оленя характеризуются умеренной или выраженной вакуолизацией (образованием вакуолей внутри клеток). Это приводит к тому, что клетки приобретают вид «перстневидных» или просветленных, что указывает на вакуольную дистрофию клеток эпителия ворсин хориоаллантоиса. Под эпителием располагается густая, разветвленная сеть капилляров с выраженным полнокровием (гиперемией). В соединительной ткани и строме ворсин хориоаллантоиса котиледона наблюдается инфильтрация лимфоцитами, варьирующая от слабой до умеренной. В плацентомах отмечается рассеянная инфильтрация различными типами клеток в рыхлой волокнистой соединительной ткани ворсин хориоаллантоиса котиледонов и стромальных элементах крипт карункулов. Капиллярное русло ворсин котиледонов сильно переполнено кровью (резко выраженная гиперемия). Эпителий ворсин хориоаллантоиса состоит из кубических клеток с умеренной вакуолизацией, что придает им «перстневидный» или просветленный вид. В работе , , посвященной водяному оленю, отмечается сходство его морфологических характеристик с северным оленем (R. tarandus tarandus). Плацентомы у этого вида имеют овальную форму и характеризуются разветвленной структурой ворсин, разделенных на три слоя: глубокий, средний и поверхностный. Биноклеарные клетки трофобласта (BNC) преимущественно располагаются в глубоком слое, что подтверждает синепителиохориальный тип плаценты.
Исследования , нормальной плаценты крупного рогатого скота в период родов, включающие гистологические, гистохимические и электронно-микроскопические методы, показали следующее параметры плацентомы (карункулы и котиледоны) до родов характеризуются тесным контактом трофобласта с криптовым эпителием, образующим четкую границу. На ультраструктурном уровне наблюдается переплетение материнских и плодных микроворсинок, иногда с признаками повреждений и атрофии эпителия. Отделение плаценты происходит без значительного повреждения клеток обоих типов. Трофобласты активно поглощают эритроциты, накапливая железосодержащий пигмент. Плацента жвачных животных характеризуется неоднородностью плацентомов по размеру и количеству, но при этом всегда содержит двуядерные клетки трофобласта (15-20%). Эти клетки, вырабатывающие гормоны, мигрируют и сливаются с клетками матки, формируя тринуклеатные гибридные клетки и синцитиальные бляшки. У разных видов оленей этот процесс изучен недостаточно.
Известно , что крупнозернистые лимфоциты обнаруживаются только в плацентомальном эпителии и связаны с гибридными структурами, однако их функция остается неясной. Известно, что гипоксия оказывает негативное влияние на репродуктивные процессы у млекопитающих, приводя к гестационным осложнениям . Исследования адаптации к гипоксии у мышей-оленей показали, что низкогорные особи при недостатке кислорода страдают от задержки роста плода, в то время как высокогорные особи сохраняют нормальный рост благодаря увеличению объема плаценты, что улучшает обмен веществ. Изменения в экспрессии генов плаценты, многие из которых аналогичны генам человека, участвующим в развитии плаценты , позволяют лучше понять общие механизмы адаптации к гипоксии и факторы, влияющие на рост плода. В рамках исследования, матки 25 беременных импал (срок беременности варьировался от 49 до 113 дней из общего срока в 190 дней) были подвергнуты детальному гистологическому и иммуногистохимическому анализу , . Было установлено, что аллантохорион плотно прилегает к амниону, но не срастается с ним. Тип плацентации у импалы соответствует таковому у других жвачных животных. Ворсины эмбриональной ткани глубоко внедряются в крипты материнской плаценты. Несмотря на общий тип плацентации, структура и биохимические характеристики плаценты импалы демонстрируют значительные отличия даже в сравнении с другими жвачными животными.
4. Заключение
1. На поздних сроках беременности у северного домашнего оленя (Rangifer tarandus) плацента представлена синэпителиохориально-аллатоисной структурой, и непосредственно в родах происходит отчетливое ремоделирование и потеря адгезии на границе раздела плод-мать.
2. Установили снижение количества плацентом и большую площадь поверхности карункулов и котиледонов в сравнении с другими жвачными животными.
3. В стенках перегородок (септ) между долями плаценты обнаружено свободное расположение ворсинок хорионаллантоиса. Межклеточное вещество этих перегородок содержало много нейтральных мукополисахаридов, в то время как в ворсинках хорионаллантоиса преобладали кислые мукополисахариды.
4. Крипты сливались, образуя структуры, напоминающие железы. В эпителии карункул (выступов на плаценте) наблюдалось уменьшение количества клеток трофобласта с тремя ядрами, а в ворсинках хорионаллантоиса в части плаценты, обращенной к плоду, выявлены признаки вакуольной дистрофии (повреждения).
5. Процесс отделения плодных оболочек во время родов связан с уменьшением активности фибробластов.
6. Трофобласт северных домашних оленей (Rangifer tarandus) состоит из двух популяций клеток: неядерных клеток трофобласта и двуядерных гигантских клеток трехядерных гибридных клеток.
4.1. Рекомендации и перспективы дальнейшей разработки проблемы:
1. Контроль пространственной деградации внеклеточного матрикса и последующее инициирование родового процесса могут осуществляться за счёт взаимодействия плодного и материнского компартментов. При этом механизмы, ответственные за утрату адгезивных свойств плодных оболочек после изгнания плода, в плаценте северного оленя (Rangifer tarandus) остаются слабо изученными и не имеют чёткого теоретического обоснования.
2. Установленные в ходе исследований материалы дают основание для разработки ветеринарных технологий краткосрочных прогнозов риска осложнений родов и в дальнейшем репродуктивных патологий, что связано с преждевременным выбытием из маточного стада племенных важенок северного домашнего оленя (Rangifer tarandus).
