КЛИНИЧЕСКОЕ НАБЛЮДЕНИЕ ПРОГРЕССИРУЮЩЕЙ ЭКТОПИЧЕСКОЙ БЕРЕМЕННОСТИ В РУДИМЕНТАРНОМ РОГЕ МАТКИ
КЛИНИЧЕСКОЕ НАБЛЮДЕНИЕ ПРОГРЕССИРУЮЩЕЙ ЭКТОПИЧЕСКОЙ БЕРЕМЕННОСТИ В РУДИМЕНТАРНОМ РОГЕ МАТКИ
Аннотация
Эктопическая беременность — беременность, при которой имплантация плодного яйца произошла вне полости матки . Данная патология не утрачивает свою актуальность в связи с тем, что является одной из причин материнских смертей. Беременность в рудиментарном роге матке относится к редким формам эктопической беременности, частота которой составляет 1 случай на 76 – 40 000 беременностей .
Развитие беременности в рудиментарном роге матки ассоциировано с высокой вероятностью возникновения жизнеугрожающих осложнений, вплоть до летального исхода, обусловленных разрывом стенки матки, гемоперитонеумом и геморрагическим шоком.
Ввиду трудностей диагностики аномалий развития матки на догоспитальном требуется повышенная настороженность к данной патологии и совершенствование методов визуализации.
В статье приводится клиническое наблюдение прогрессирующей эктопической беременности в рудиментарном роге матки c правильно поставленным диагнозом на догоспитальном этапе и успешно выполненным органосохраняющим оперативным лечением.
1. Введение
Список сокращений:
- КТР — копчико-теменной размер.
- УЗИ — ультразвуковое исследование.
- ХГЧ — хорионический гонадотропин человека.
- МРТ — магнитно-резонансная томография.

Рисунок 1 - Классификация пороков развития матки ESHRE/ESGE
Крайне важна своевременная диагностика эктопической беременности в рудиментарном роге до момента его разрыва. Это позволяет эффективно лечить данное состояние и значительно снизить риск материнской заболеваемости и смертности.
Приводим клиническое наблюдение пациентки с редкой формой эктопической беременности. Благодаря своевременной диагностике и оперативному вмешательству удалось сохранить репродуктивный орган. Акцент сделан на особенностях течения беременности в рудиментарном роге и технике выполненной операции. Такой подход позволяет избежать радикального удаления матки и сохранить возможность деторождения в будущем.
2. Клиническое наблюдение
В Городскую клиническую больницу №8 города Рязани поступила пациентка М., 32 года, с жалобами на тянущие боли в нижней части живота и задержкой менструации на протяжении полутора месяцев.
Согласно анамнезу: начало менструаций с 14-летнего возраста; менструации по 5–6 дней через 28 дней, болезненные, в умеренном количестве. Ранее гинекологических заболеваний в анамнезе не отмечалось. Соматические заболевания отрицает. Брак 1, зарегистрирован. Текущая беременность — первая. При задержке менструации в течение 1,5 месяцев самостоятельно провела мочевой тест на беременность, результат которого оказался положительным. Женщина обратилась на прием к гинекологу по месту жительства. Выполнен анализ крови на в-ХГЧ, результат которого составил 15070 МЕ/мл. Ввиду подозрения на аномалию развития матки и наличие беременности малого срока в рудиментарном роге, обнаруженных с помощью ультразвукового исследования (УЗИ) органов малого таза, пациентка была перенаправлена в Городскую клиническую больницу №8 города Рязани.
При госпитализации в стационар: состояние больной оценено как удовлетворительное. Гемодинамика не нарушена. Признаков патологических изменений со стороны внутренних органов не обнаружено. При осмотре в зеркалах: имеется легкий цианоз слизистой влагалища, шейка матки конической формы, наружный зев закрыт. В ходе бимануального осмотра выявлено образование у правого ребра матки, размером приблизительно 4 см, тестоватой консистенции и чувствительное при пальпации. Тело матки увеличено, соответствует сроку беременности 5-6 недель, имеет плотную структуру, пальпация ее безболезненна. Придатки матки с обеих сторон не определяются, область их безболезненны. Своды влагалища свободны. Отмечаются умеренные слизистые выделения.
При трансвагинальном УЗИ (рис.2, рис. 3): шейка 34 мм, эндоцервикс 2,9 мм, однородный. Тело матки 58х47х54мм, эндометрий повышенной эхогенности — 26 мм, с ровными контурами. По правому ребру матки имеется добавочный рудиментарный рог 38х32х35мм, в нем плодный пузырь 17 мм, КТР - 6 мм, сердцебиение определяется, желточный мешок 4,8 мм. Полость рудиментарного рога не сообщается с полостью матки. Яичники: правый 37х22х26 мм с желтым телом 19 мм, левый яичник 32х18х21 мм с фолликулами 5–6мм. Заключение: Беременность 6–7 недель в рудиментарном роге матки.

Рисунок 2 - Ультразвуковая сканограмма матки. 3D-изображение. Замкнутый рудиментарный рог, не сообщающийся с полостью матки:
1 - полость рога; 2 - полость матки

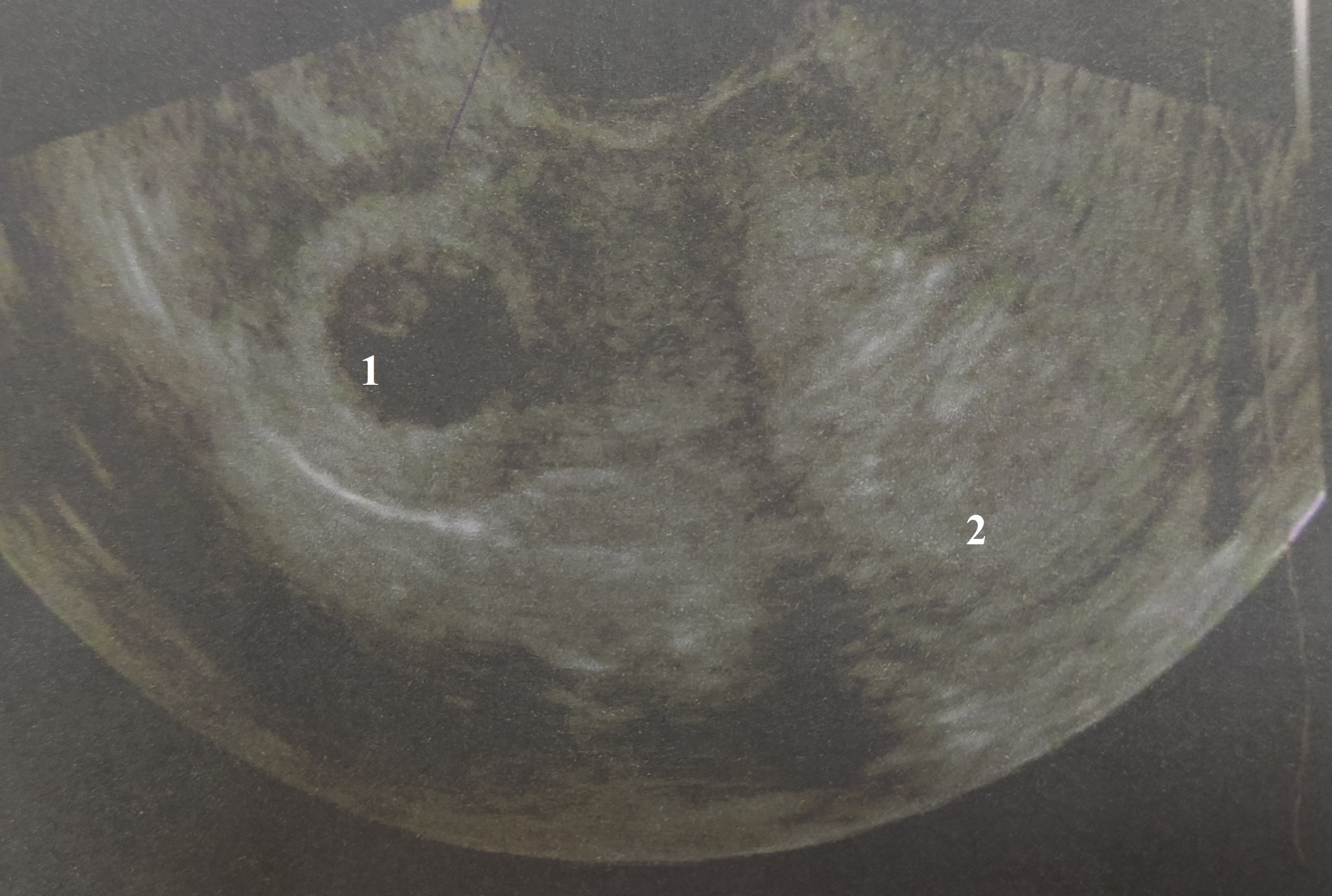
Рисунок 3 - Ультразвуковая сканограмма матки:
1 - полость рога; 2 - полость матки
После проведения клинико-лабораторного обследования в экстренном порядке пациентка прооперирована.
3. Описание операции
Под эндотрахеальным наркозом выполнена лапаротомия по Пфанненштилю. Выпота в малом тазу нет. Матка больше нормальных размеров, мягкая, розовой окраски, с наличием справа рудиментарного рога размером 4х3,5 см с выраженным сосудистым рисунком на поверхности, от которого отходит правая маточная труба обычного строения, фимбрии свободны. К этому рогу близко подходит собственная связка правого яичника (рис. 4, рис. 5). Правый яичник 4х3х3 см с желтым телом диаметром 2 см. Левые придатки матки — без патологии. Выполнено удаление рудиментарного рога, правой маточной трубы. Материал отправлен на патогистологическое исследование.

Рисунок 4 - Вид матки на операции:
1 - тело матки; 2 - рудиментарный рог с плодным яйцом

Рисунок 5 - Интраоперационно:
1 - рудиментарный рог; 2 - тело матки; 3 - правый яичник
Восстановительный период после хирургического вмешательства протекал без осложнений, рана зажила первичным натяжением. Пациентка была выписана из стационара в стабильном состоянии с рекомендацией дальнейшего наблюдения у акушера-гинеколога по месту жительства.
4. Обсуждение
В соответствии с критериями Американского общества фертильности рудиментарный рог матки бывает бесполостным в 33% случаев; полостным, но несообщающимся — в 22% случаев; полостным и сообщающимся — в 10% случаев .
Ввиду неспецифичности симптомов диагностика беременности в рудиментарном роге матки бывает затруднительной. Приблизительно у 40% женщин симптомы отсутствуют, а боль в животе не является специфическим признаком беременности в рудиментарном роге матки .
Диагностика данной формы беременности осложняется рядом обстоятельств, среди которых следует выделить: редкую встречаемость, недостаточную осведомленность специалистов акушерско-гинекологического профиля. Дисменорея, женское бесплодие, невынашивание беременности, генитальный эндометриоз, аномалии развития мочевывоводящей системы нередко встречаются при наличии рудиментарного рога матки. Рудиментарный рог матки можно и нужно выявлять еще до наступления беременности при рутинном УЗИ на профилактических осмотрах у акушера-гинеколога .
Королевским колледжем акушерства и гинекологии Великобритании (RCOG, 2016) были предложены следующие ультразвуковые критерии беременности в рудиментарном роге матки: визуализируется только один интерстициальный участок маточной трубы в основном роге матки; плодное яйцо полностью окружено миометрием, подвижно и определяется отдельно от матки; к плодному яйцу рудиментарного рога примыкает сосудистая ножка . Для уменьшения диагностических ошибок были предложены дополнительные критерии ультразвуковой картины беременности в рудиментарном роге матки: расстояние от центра плодного яйца до боковой стеки полости матки более 1 см, а толщина миометрия, окружающего гестационный мешок, менее 5 мм . Магнитно-резонансная томография (МРТ) может быть использована для диагностики беременности в рудиментарном роге матки, что позволит своевременно провести хирургическое вмешательство. Однако использование МРТ в качестве рутинного пренатального обследования женщин с нормально протекающей беременностью нецелесообразно .
Во всех случаях беременности в рудиментарном роге матки требуется немедленное хирургическое лечение. Традиционным вариантом лечения является лапаротомия, удаление рудиментарного рога с ипсилатеральной маточной трубой . В последние годы лапароскопическая хирургия стала стандартным методом лечения беременности в рудиментарном роге матки. При выполнении лапароскопии необходимо помнить о высокой вероятности лапароконверсии, а также расширении объема хирургического вмешательства.
5. Заключение
Представленное клиническое наблюдение направлено на привлечение внимания акушеров-гинекологов к диагностике и хирургическому лечению беременности в рудиментарном роге матки. Эта локализация беременности протекает без ярко выраженных клинических симптомов, что существенно усложняет ее раннюю диагностику. Учитывая своевременную диагностику этой редкой патологии, удалось провести органосохраняющую операцию, что особенно важно для реализации репродуктивной функции пациентки.
