ПАССАЖ КОНТРАСТНОГО ПРЕПАРАТА: ПРЯМОЙ ПУТЬ ОТ ПОДОЗРЕНИЯ ДО ПОСТАНОВКИ ДИАГНОЗА МАЛЬРОТАЦИИ КИШЕЧНИКА У НОВОРОЖДЕННЫХ
ПАССАЖ КОНТРАСТНОГО ПРЕПАРАТА: ПРЯМОЙ ПУТЬ ОТ ПОДОЗРЕНИЯ ДО ПОСТАНОВКИ ДИАГНОЗА МАЛЬРОТАЦИИ КИШЕЧНИКА У НОВОРОЖДЕННЫХ
Аннотация
Мальротация кишечника — аномалия внутриутробного развития средней кишки, которая при несвоевременной диагностике может привести к осложнениям и неблагоприятному исходу.
В настоящее время диагностика данной патологии у новорожденных начинается с ультразвукового исследования и ирригографии, при неинформативности которой проводится пассаж контрастного препарата. Дополнительное контрастное рентгенологическое исследование у изученных пациентов проводилось примерно в половине случаев.
В статье предложено первоначальное проведение пассажа контрастного препарата с целью снижения лучевой нагрузки на детей и ускорения постановки диагноза, а также подробно рассмотрена методика проведения исследования для получения наиболее информативных изображений.
1. Введение
Синдром мальротации — редкая врожденная аномалия, представляющая собой нарушение ротации и/или фиксации средней кишки в периоде внутриутробного развития . Данный порок в два раза чаще определяется у мальчиков и диагностируется преимущественно в первый месяц жизни; в связи с частым асимптомным течением истинная частота встречаемости его неизвестна, по современным литературным источникам составляет от 1:200 до 1:6000 новорожденных
, .Наиболее частые симптомы, позволяющие заподозрить мальротацию кишечника, это рвота желчью, недостаточный набор веса вследствие неэффективного кормления, вздутие живота, синдром срыгиваний
, . Выраженная клиническая картина имеет место при завороте средней кишки, который может привести к некрозу кишечника и к летальному исходу и требует проведения операции в кратчайшие сроки , .В настоящее время диагностика мальротации кишечника состоит из проведения ультразвукового и контрастного рентгенологического исследований. Ультразвуковое исследование (УЗИ) является методом первой линии, позволяющим заподозрить данную патологию, подтвердить которую помогает проведение дальнейшего рентгенологического исследования с контрастом — ирригографии и, при необходимости, пассажа контрастного препарата . УЗИ в диагностике мальротации кишечника обладает высокой чувствительностью, в частности для «знака водоворота», но низкой специфичностью, что приводит к ложноположительным результатам, в связи с чем требуется дальнейшее рентгенологическое исследование
, , .В данной статье пассаж контрастного препарата рассматривается в качестве первой и единственной рентгенологической методики, подтверждающей или опровергающей наличие мальротации кишечника у новорожденных и детей раннего возраста, а также приводится усовершенствованная методика проведения пассажа, которая улучшает визуализацию дуоденоеюнального перехода у данных пациентов.
2. Методы и принципы исследования
Исследование было проведено на базе федерального перинатального центра ФГБУ «НМИЦ им. В.А. Алмазова» Минздрава России и включало в себя 29 пациентов с клиническими симптомами со стороны желудочно-кишечного тракта (ЖКТ), которые составили основную группу, и 30 асимптомных детей, вошедших в состав контрольной группы. С учетом частоты встречаемости мальротации кишечника выборка из 59 пациентов являлась достаточной. Всем детям было проведено УЗИ органов брюшной полости. Были выявлены ультразвуковые (86%) и/или рентгенологические (93%) признаки врожденного порока развития.
В основной группе ирригография была проведена 22 (76%) пациентам, пассаж – 14 (48%) детям (табл. 1). В контрольной группе ирригография проводилась 30 (100%) детям, пассаж — 16 (53%) пациентам (табл. 2). Обследование проводилось на ультразвуковом аппарате Vivid I (General Electric) с использованием микроконвексного и линейного датчиков и на рентгеновском аппарате AXIOM Luminos DRF (Siemens) с использованием контрастного препарата Бар-ВИПС у детей старше недели и йодсодержащих водорастворимых контрастных веществ у новорожденных до семи дней жизни.
Таблица 1 - Виды проведенного рентгенологического исследования пациентам основной группы
Вид рентгенологического исследования | Количество пациентов | |
Абс. | (%) | |
Отсутствие рентгенологического исследования | 4 | 13,8 |
Ирригография и пассаж контрастного препарата | 11 | 37,9 |
Ирригография | 11 | 37,9 |
Пассаж контрастного препарата | 3 | 10,3 |
Всего пациентов | 29 | 100,0 |
Таблица 2 - Виды проведенного рентгенологического исследования пациентам контрольной группы
Вид рентгенологического исследования | Количество пациентов | |
Абс. | (%) | |
Ирригография и пассаж контрастного препарата | 16 | 53,3 |
Ирригография | 14 | 46,7 |
Всего пациентов | 30 | 100,0 |
3. Основные результаты
В результате проведенной работы выявлено, что 50% пациентов основной и 53% детей контрольной группы, которым была проведена ирригография, потребовалось дополнительное проведение пассажа контрастного препарата для уточнения полученных диагностических результатов. Мы пришли к выводу о целесообразности проведения пассажа контрастного препарата как первичной рентгенологической методики, на основании того, что при данном исследовании визуализируются как верхние отделы ЖКТ, в частности дуоденоеюнальный переход, так и толстая кишка, нарушение топографии которых наблюдается у детей с мальротацией кишечника. Нами предложена усовершенствованная методика пассажа контрастного препарата, позволяющая успешно проследить прохождение контраста по двенадцатиперстной кишке и визуализировать дуоденоеюнальный переход как зону особого интереса при диагностике данного порока развития.
За основу методики проведения пассажа у новорожденных взят принцип исследования ЖКТ у взрослых и учтены возрастные особенности педиатрических пациентов. После получения обзорной рентгенограммы органов брюшной полости в вертикальном положении в прямой проекции ребенку, также в вертикальном положении, дают 10–20 мл (в зависимости от возраста ребенка) контрастного препарата, разведенного в грудном молоке или детской смеси. Рекомендовано избегать большого количества контраста, который может экранировать зону интереса при скоплении в своде желудка. Затем на полминуты–минуту пациент помещается в горизонтальное положение с поднятым на 45 градусов головным концом.
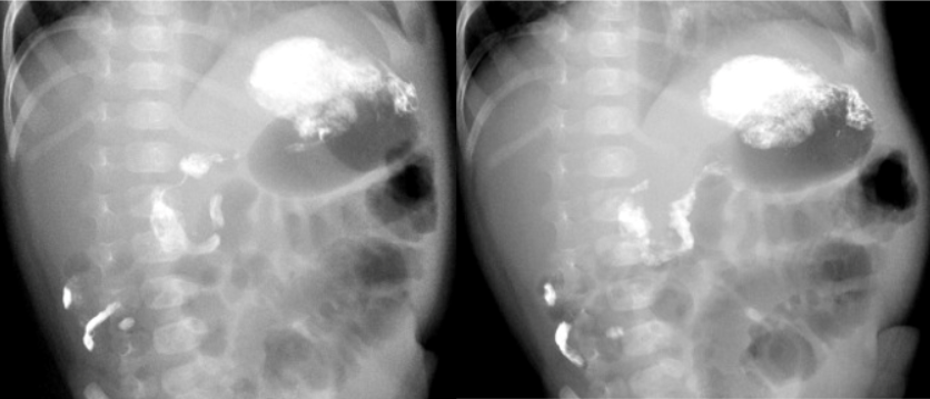
После этого ребенка рационально уложить горизонтально на правый бок на 5–10 секунд, после чего повернуть на спину и сделать снимок для оценки начала эвакуации контрастного препарата из желудка. У детей в данном исследовании снимок выполнялся в положении лежа на спине, без поворота на правый бок, что впоследствии было признано нерациональным: в таком случае невозможно оценить, началась ли эвакуация контраста, и визуализируется только его количество в желудке, что мы успешно можем оценить по мерной шкале на бутылочке. При визуализации контраста в начальном отделе двенадцатиперстной кишки, ребенка снова помещают на правый бок примерно на 5 секунд, после чего под контролем рентгеноскопии его поворачивают на спину, а затем в положение с приподнятым правым боком на 45о. Таким образом, прослеживается прохождение контрастного препарата по С-петле двенадцатиперстной кишки (рис. 1). После этого ребенка укладывают на спину и выполняют обзорную рентгенограмму для определения расположения дуоденоеюнального перехода относительно позвоночного столба.

Рисунок 1 - Ребенок возрастом 2 месяца 10 дней, пассаж контрастного препарата
Примечание: рентгеноскопия, положение на спине с приподнятым на 45о правым боком, прослеживается С-петля двенадцатиперстной кишки; визуализируются остатки контраста после проведения ирригографии
Все движения осуществляются плавно, важно обеспечить комфортное пребывание пациента на столе: для этого предварительно стоит успокоить, укачать ребенка, сохранять с ним словесный контакт. Для обеспечения тепла и мягкости мы размещали на столе рентгеновского аппарата три одноразовые пеленки, сложенные друг на друга.
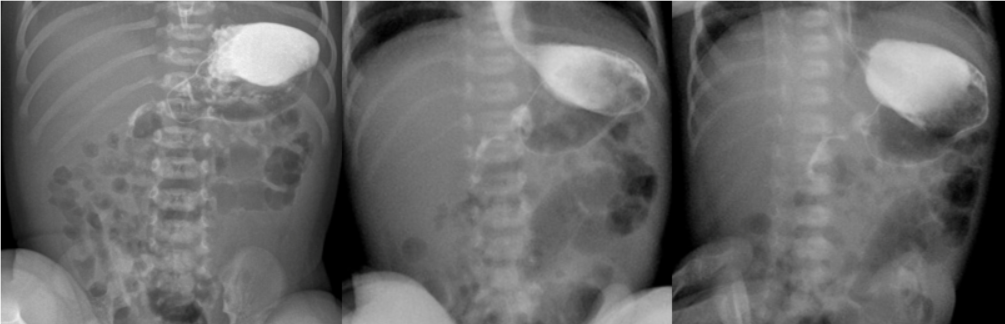
При задержке эвакуации или при неотчетливой визуализации С-петли, в частности её третьей части, повороты ребенка под контролем рентгеноскопии повторялись до трех раз включительно, поэтому перед проведением рентгеноскопии рекомендуется введение предварительного поворота на правый бок на 5 секунд и выполнение последующей рентгенограммы в положении лежа на спине, описанные ранее как целесообразные для визуализации начала эвакуации контраста из желудка и снижения лучевой нагрузки. Уменьшить её также позволяет диафрагмирование: следует охватывать прицельно область живота. Если визуализировать третью часть двенадцатиперстной кишки не удалось (рис. 2), необходимо получить обзорную рентгенограмму в прямой проекции в положении ребенка лежа на спине через 15 минут после перорального введения контрастного препарата. На полученной рентгенограмме должны визуализироваться проксимальные петли тонкой кишки, которые косвенно укажут на положение дуоденоеюнального перехода: если они расположены в левом верхнем квадранте, более вероятно, что переход расположен типично, слева от позвоночного столба (рис. 3).

Рисунок 2 - Ребенок возрастом 5 дней, пассаж контрастного препарата
Примечание: процесс осуществления поворота, визуализируется первая и вторая часть двенадцатиперстной кишки, третья часть отчетливо не визуализируется

Рисунок 3 - Ребенок возрастом 5 дней, пассаж контрастного препарата
Примечание: в левом верхнем отделе брюшной полости визуализируется проконтрастированный проксимальный отдел тонкой кишки
Дальнейшее обследование заключается в получении обзорных рентгенограмм органов брюшной полости в прямой проекции через 1, 3, 6, 9, 12 и 24 часа после введения контрастного препарата, их количество можно уменьшить более ранним завершением исследования, если эвакуация контраста ускорена (рис. 4). При неясной картине расположения петель кишечника добавляются снимки в косых проекциях, менее информативными считаются рентгенограммы в боковой проекции.

Рисунок 4 - Ребенок возрастом 2 месяца 10 дней, пассаж контрастного препарата
Примечание: рентгенограмма, полученная через час после введения контраста, положение лежа на спине, контрастный препарат поступил в тонкую кишку, визуализируется двенадцатиперстная кишка, дуоденоеюнальный переход расположен левее левой ножки позвонка, ниже пилоруса (норма)
4. Обсуждение
В процессе статистической обработки полученных данных был проведен ROC-анализ результатов ультразвукового и рентгенологического методов диагностики при совместном их использовании у всех пациентов выборки с поставленным диагнозом мальротации кишечника (81%) (табл. 3).
Статистическая значимость определялась для рентгенологических признаков при ирригографии (p=0,0324) и при проведении обеих рентгенологических методик (p=0,0055). P-value для рентгенологических признаков при пассаже был далек от статистической значимости (p=0,4771), полученные результаты объясняются тем, что в приведенном исследовании учитывались результаты пассажа, проведенного по старой методике: контрастный препарат в объеме 100 мл, проведение длительной рентгеноскопии или серии рентгенограмм, на которых в большинстве случаев дуоденоеюнальный переход был экранирован скоплением контраста в своде желудка или отчетливо не дифференцировался на фоне проконтрастированных петель тощей кишки. Оценить расположение дуоденоеюнального перехода удалось у 9 (64%) пациентов основной группы и у 8 (50%) пациентов контрольной группы, что указывает на низкую информативность. Также результаты исследования показывают, что примерно половине детей из контрольной и основной групп понадобилось проведение пассажа контрастного препарата после проведенной ирригографии. Полученные данные подчеркивают важность внедрения и дальнейшего изучения усовершенствованной методики пассажа контрастного препарата.
Таблица 3 - Результаты ROC-анализа результатов ультразвукового и рентгенологического видов лучевой диагностики при совместном их использовании у пациентов с мальротацией кишечника
Значения | RgBE | RgUGI | RG | US | US+ RgBE | US+ RgUGI | US+RG |
N (больные / здоровые) | 41/11 | 23/7 | 44/11 | 48/11 | 41/11 | 23/7 | 20/7 |
AUC | 0,7118 | 0,5901 | 0,7727 | 0,5322 | 0,6907 | 0,5807 | 0,6429 |
SE | 0,09797 | 0,125 | 0,07755 | 0,0991 | 0,0962 | 0,1191 | 0,1307 |
95% ДИ | 0,5197; 0,9038 | 0,3450; 0,8351 | 0,6207; 0,9247 | 0,3380; 0,7264 | 0,5021; 0,8793 | 0,3474; 0,8141 | 0,3867; 0,8990 |
р-value | 0,0324 | 0,4771 | 0,0055 | 0,7407 | 0,054 | 0,5238 | 0,2685 |
Чувствительность, % [95% ДИ] | 87,8 [74,46; 94,68] | - | 88,6 [76,02; 95,05] | 79,2 [65,74; 88,27] | 70,7 [55,52; 82,39] | - | - |
Специфичность, % [95% ДИ] | 54,5 [28,01; 78,73] | - | 54,55 [28,01; 78,73] | 27,3 [9,746; 56,56] | 63,6 [35,38; 84,83] | - | - |
Примечание: RG – рентгенологические признаки при пассаже и ирригографии; RgBE – рентгенологические признаки при ирригографии; RgUGI – рентгенологические признаки при пассаже; US – ультразвуковые признаки
5. Заключение
В результате проведенной работы усовершенствована методика пассажа контрастного препарата у новорожденных и детей раннего возраста с подозрением на мальротацию кишечника, однако статистически достоверно судить об ее информативности не представляется возможным, вследствие небольшого количества пациентов, которым она была проведена.
Дальнейшие исследования новорожденных, которым рентгенологическое исследование будет проведено по описанной методике, смогут подтвердить её информативность и улучшить диагностику такого серьезного порока развития как мальротация кишечника. Важно отметить, что значимость ирригографии и важность её проведения сохраняется при недостаточно информативной визуализации толстой кишки при пассаже. В данном исследовании подчеркивается возможность снижения лучевой нагрузки на детей раннего возраста проведением одного диагностического исследования вместо двух и ускорения диагностического поиска с двух суток при проведении обеих методик до одного дня при успешной визуализации толстой кишки при пассаже.
