АНАТОМИЧЕСКИЕ АСПЕКТЫ ДИАГНОСТИКИ ПРАВОЙ АБЕРРАНТНОЙ ПОДКЛЮЧИЧНОЙ АРТЕРИИ ПО ДАННЫМ МУЛЬТИСПИРАЛЬНОЙ КОМПЬЮТЕРНОЙ ТОМОГРАФИИ (НА ПРИМЕРЕ КЛИНИЧЕСКОГО СЛУЧАЯ)
АНАТОМИЧЕСКИЕ АСПЕКТЫ ДИАГНОСТИКИ ПРАВОЙ АБЕРРАНТНОЙ ПОДКЛЮЧИЧНОЙ АРТЕРИИ ПО ДАННЫМ МУЛЬТИСПИРАЛЬНОЙ КОМПЬЮТЕРНОЙ ТОМОГРАФИИ (НА ПРИМЕРЕ КЛИНИЧЕСКОГО СЛУЧАЯ)
Аннотация
Своевременная диагностика наличия и топографии правой аберрантной подключичной артерии является важнейшей задачей на этапе планирования оперативного доступа при выполнении операций на щитовидной железе и транскардиальных вмешательствах на коронарных сосудах. Целью исследования явилось изучение анатомических аспектов положения правой аберрантной подключичной артерии по данным мультиспиральной компьютерной томографии (на примере клинического случая).
Исследование выполнено на базе рентгенологического отделения ГБУЗ АО «Городская клиническая больница №3 им. С.М. Кирова» с использованием 64-срезового компьютерного томографа Philips Ingenuity CT. Проведен анализ 10789 компьютерных томограмм органов грудной клетки с мультипланарными MIP и MPR реконструкциями, из них аномалия развития выявлена как диагностическая находка у 11 (0,102%) пациентов, находящихся на лечении по поводу заболеваний дыхательной и сердечно-сосудистой систем.
Рассмотрены анатомические критерии диагностики положения правой аберрантной подключичной артерии. При данной аномалии от дуги аорты справа налево отходят правая общая сонная артерия, левая общая сонная артерия, левая подключичная артерия и правая аберрантной подключичная артерия; место отхождения правой аберрантной подключичной артерии локализовано на задней поверхности дуги аорты дистальнее устья левой подключичной артерии.
Приведены данные о топографии правой аберрантной подключичной артерии: аномальная артерия по задней поверхности пересекает правую общую сонную, левую общую сонную и левую подключичную артерии и пищевод, затем проходит ретроэзофагиально и поднимается косо наверх до наружного края первого ребра. Обосновано приоритетное значение мультиспиральной компьютерной томографии для анатомической оценки правой аберрантной подключичной артерии.
Учитывая, что данная аномалия развития может стать причиной интраоперационных осложнений, врачам различных клинических специальностей — кардиологам, хирургам и рентгенологам — следует учитывать анатомические особенности ее положения. Использование анатомических ориентиров в диагностике правой аберрантной подключичной артерии позволит повысить качество оказания медицинской помощи.
1. Введение
Правая аберрантная подключичная артерия, a. lusoria — редкая аномалия развития, которая соответствует коду по МКБ — 10 Q 27.8 (рубрика — другие уточненные врожденные аномалии системы периферических сосудов) . По данным литературы, частота встречаемости правой аберрантной подключичной артерии варьирует от 0,1% до 3% случаев, чаще аномалия развития встречается у женщин . Аномальная артерия отходит от левой стороны дуги аорты, после левой подключичной артерии, в литературе также описано ее отхождение от дивертикула Коммереля . Правая аберрантная подключичная артерия в 80% случаев проходит между пищеводом и позвоночным столбом, в 15% случаев — между трахеей и пищеводом, в 5% случаев располагается впереди трахеи .
В норме правая подключичная артерия берет начало от VII правой межаортальной дуги и правой дорсальной аорты. Между 5-й и 7-й неделями эмбрионального развития правая дорсальная аорта регрессирует каудально к истоку VII межаортальной артерии. В основе формирования аномалии лежит нарушение эмбриогенеза, заключающееся в инволюции IV межаортальной дуги вместе с правой дорсальной аортой при сохранении VII межаортальной дуги, отходящей от нисходящей части аорты .
В научной литературе широко обсуждается проблема своевременной диагностики наличия правой аберрантной подключичной артерии . В.С. Аракелян с соавт. (2015) установили, что наиболее часто правая аберрантная подключичная артерия сочетается с коарктацией аорты, кинкингом и гипоплазией дуги аорты. М.В. Медведев с соавт. (2021) показали, что у 52% плодов правая аберрантная подключичная артерия является сочетанной патологией, преимущественно с коарктацией аорты. В связи с чем авторы считают необходимым включить определение правой аберрантной подключичной артерии в протокол скринингового ультразвукового исследования плода в сроке 19–21 недели беременности .
Высоко востребованы данные о топографии правой аберрантной подключичной артерии на этапе планирования хирургического лечения заболеваний органов грудной клетки и щитовидной железы , . О.В. Пикин с соавт. (2024) обосновали необходимость своевременной диагностики наличия правой аберрантная подключичная артерия у больных с ретростернальным зобом. Особенности топографии правой аберрантной подключичной артерии диктуют необходимость при хирургическом лечении ретростернального зоба дополнять шейный доступ стернотомией. Авторы рекомендуют всем больным с образованием в области средостения в предоперационном периоде выполнить МСКТ .
Угрожающим жизни осложнением данной аномалии является развитие пищеводного кровотечения из артерио-пищеводной фистулы между правой аберрантной артерией и пищеводом. Аномальное прохождение артерии может также стать причиной пищеводного кровотечения при выполнении трахеостомии .
Клинические проявления наличия правой аберрантной подключичной артерии могут быть различны: развитие дисфагии, особенно при употреблении твердой пищи, одышка, боли в груди, «прострелы» и слабость в правой руке, симптомы кахексии. Заболевание может клинически манифестировать в любом возрасте . В литературе описано бессимптомное течение данной аномалии, которая была выявлена случайно во время проведения КТ на этапе подготовки операций на органах грудной клетки и щитовидной железе . Бессимптомное течение аномалии представляет особую опасность, так как несвоевременная диагностика может стать причиной развития грозных интраоперационных осложнений , .
В настоящее время приоритетным методом диагностики наличия правой аберрантной подключичной артерии является мультиспиральная компьютерная томография, ввиду ее широких возможностей визуализации, высокой скорости исследования и низкой лучевой нагрузки на пациента. Возможность выполнять ультратонкие срезы толщиной до 0,5 мм, получать высокого качества изображения в различных проекциях делает метод востребованным не только для врача практического здравоохранения, но и для анатомов, так как позволяет изучать прижизненную анатомию в норме, так и у людей с аномалиями развития. Компьютерная томография (КТ) сосудов дает возможность оценивать не только патологические изменения артерий, но и прослеживать топографию сосудов в различных областях тела .
Отсутствие четких анатомических критериев диагностики правой аберрантной подключичной определили цель нашего исследования.
Цель исследования: изучить анатомические аспекты положения правой аберрантной подключичной артерии по данным мультиспиральной компьютерной томографии (на примере клинического случая).
2. Материал и методы исследования
С января 2024 г. по сентябрь 2025 г. на базе рентгеновского отделения ГБУЗ Астраханской области «Городской клинической больницы № 3 им. С.М. Кирова» с использованием 64-срезового компьютерного томографа Philips Ingenuity CT 10789 пациентам была выполнена мультиспиральная компьютерная томография (МСКТ) органов грудной клетки в коронарном, аксиальном и сагиттальном срезах. Исследования проведены в высокоразрешающем режиме, с шагом сканирования и толщиной срезов 1мм, с последующими мультипланарными MIP и MPR реконструкциями.
3. Описание клинического случая
Пациент А. 1955 г.р., доставлен в приемное отделение с подозрением на внебольничную пневмонию. Из анамнеза жалобы на субфибрильную температуру, кашель, одышку, першение в горле в течение трех недель. В связи с отсутствием положительной динамики на фоне проводимого амбулаторного лечения пациент направлен в пульмонологическое отделение ГБУЗ АО «Городской клинической больницы № 3 им. С.М. Кирова». В приемном отделении направлен на МСКТ органов грудной клетки.
На МСКТ органов грудной клетки с мультипланарными MIP и MPR реконструкцией определяются следующие анатомические структуры.
Грудная клетка не деформирована. Легкие симметричные (D=S), полностью расправлены, прилежат к грудной стенке. Объективных данных за наличие очаговых, инфильтративных изменений в паренхиме легких не выявлено. Бронхи нормального просвета, проходимы и прослежены до субсегментарного порядка. Отмечается неравномерное интерстициальное уплотнение стенок бронхов. Сосудистый рисунок выражен обычно, сосуды прослеживаются до периферии плащевой зоны, симметрично. Ход и калибр трахеи и видимых бронхов в корнях лёгких не изменены. Внутрибронхиального объёмного процесса не получено. Листки плевры не утолщены. Корни легких структурны, не расширены, внутригрудные лимфатические узлы не увеличены. Диафрагма расположена обычно.
Структуры средостения дифференцированы, без дополнительных образований. Аорта с пристеночными атеросклеротическими бляшками, от ее дуги отходят правая общая сонная артерия, левая общая сонная артерия, левая подключичная артерия, а также отмечается удлиненная до 67,3 мм (от места отхождения до межлестничного промежутка) аберрантная правая подключичная артерия. Последняя отходит от задней поверхности дуги аорты, на 4,8 мм дистальнее устья левой подключичной артерии, пересекая ветви дуги аорты и пищевода, проходит в задний отдел средостения, располагаясь ретроэзофагеально и далее продолжается косо вверх до уровня 1-ого ребра, протяженность на данном уровне (от межлестничного промежутка до наружного края 1-ого ребра) составляет 49,7 мм. В плевральной полости и перикарде жидкость не определяется. Костно-деструктивных изменений в зоне сканирования не выявлено.
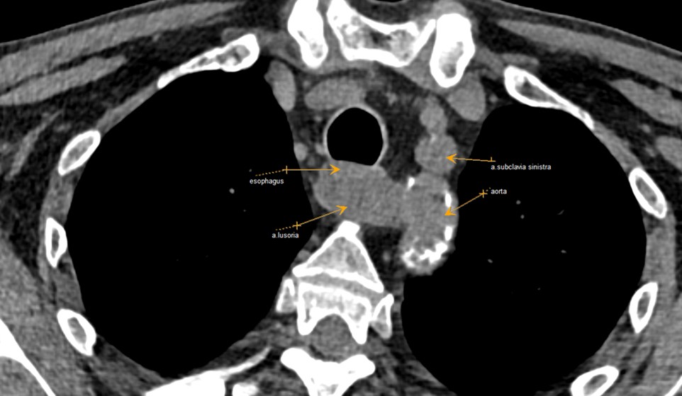
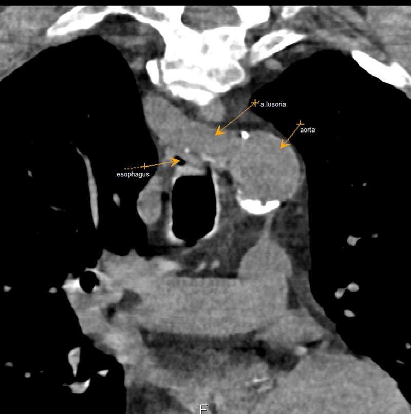
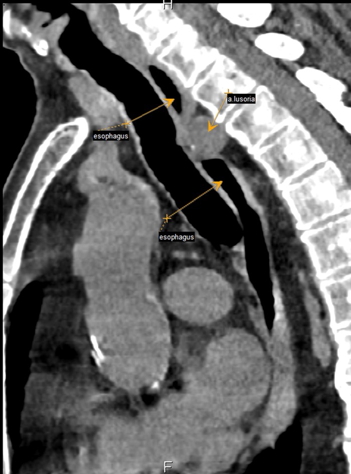
Заключение. На основании КТ-картины объективных данных за наличие очаговых, инфильтративных изменений в паренхиме легких не выявлено. Признаки хронического бронхита. Атеросклероз аорты. Аберрантная правая подключичная артерия (рис. 1–3).

Рисунок 1 - Пациент А. 1955 г.р., аксиальная проекция КТ органов грудной клетки
Примечание: cтрелками указаны a. lusoria, отходящая от аорты дистальнее левой подключичной артерии, позади пищевода

Рисунок 2 - Пациент А. 1955 г.р., корональная проекция КТ органов грудной клетки
Примечание: cтрелками указаны a. lusoria, отходящая от дуги аорты, пересекающая пищевод

Рисунок 3 - Пациент А. 1955 г.р., сагиттальная проекция КТ органов грудной клетки
Примечание: стрелками указаны a. lusoria, расположенная между пищеводом и позвоночным столбом
Пациент консультирован кардиохирургом. Учитывая, что аномальное отхождение подключичной артерии не имеет клинических проявлений, а также отсутствие КТ-данных, свидетельствующих о сдавлении близлежащих органов, оперативное лечение не показано, рекомендована стабилизация состояния и динамическое наблюдение.
После стабилизации витальных функций пациент выписан на 5-е сутки с положительной динамикой, показано динамическое наблюдение у кардиолога по месту жительства и КТ-контроль.
4. Обсуждение
Правая аберрантная подключичная артерия явилась диагностической находкой у 1,02% (n = 11) обследованных, что сопоставимо с данными литературы. Аномалия диагностирована у 10 пациентов, находящихся на лечении в пульмонологическом отделении по поводу внебольничной пневмонии и у 1 пациента, получающего лечение в кардиологическом отделении, который был направлен на МСКТ с целью исключения тромбоэмболии легочной артерии.
Во всех исследованных случаях при мультиспиральной компьютерной томографии с MPR реконструкцией в аксиальной, корональной и сагиттальной проекциях в мягкотканном (средостенном) окне определялось отсутствие плечеголовного ствола, от аорты отходили правая общая сонная артерия, левая общая сонная артерия, левая подключичная артерия и удлиненная a. lusoria (110-163 мм), отходящая непосредственно от задней поверхности дуги аорты четвертым стволом в диапазоне 1-9 мм дистальнее устья левой подключичной артерии, пересекая ветви дуги аорты и пищевод. У всех обследованных аномальная артерия располагалась между пищеводом и позвоночным столбом, далее проходила косо вверх до уровня 1-ого ребра (протяженность на участке от межлестничного промежутка до наружного края 1-го ребра варьирует в диапазоне 49-54 мм).
В норме от дуги аорты справа налево отходят плечеголовной ствол, левая общая сонная артерия и левая подключичная артерия. На уровне правого грудино-ключичного сустава плечеголовной ствол делится на правую общую сонную и правую подключичные артерии. Длина правой подключичной артерии в норме составляет от 50 до 120 мм. По передней поверхности правой подключичной артерии и перпендикулярно к ней проходит блуждающий нерв, его ветвь — возвратный гортанный нерв, огибает артерию сзади и ложится в трахеопищеводную борозду. Кнаружи от правой подключичной артерии проходит правая общая сонная артерия . При аномальном отхождении правой подключичной артерии плечеголовной ствол не визуализируется, правая общая сонная артерия и правая подключичная артерии отходят от дуги аорты . Аномальное расположение правой аберрантной подключичной артерии изменяет топографию правого возвратного гортанного нерва, что может стать причиной его повреждения во время оперативных вмешательств на щитовидной железе .
Прохождение правой аберрантной подключичной артерии позади ветвей дуги аорты и ее ретроэзофагиальное расположение является фактором риска развития интраоперационных кровотечений при транскардиальных вмешательствах и операциях на пищеводе . Изменение топографии правой подключичной артерии также может стать причиной формирования артерио-пищеводной фистулы между правой аберрантной подключичной артерией и пищеводом, что является причиной развития кровотечения. Расположение аномальной артерии между пищеводом и позвоночным столбом приводит к сдавлению пищевода и как следствие развитию дисфагии .
В доступной отечественной и зарубежной литературе нами не обнаружено четких критериев диагностики аномального отхождения правой подключичной артерии по данным мультиспиральной компьютерной томографии. Полученные в ходе исследования данные дополнят имеющиеся сведения об анатомических критериях диагностики правой аберрантной подключичной артерии.
5. Заключение
В статье приведено описание анатомических аспектов диагностики правой аберрантной подключичной артерии: место отхождения локализовано на задней поверхности дуги аорты дистальнее устья левой подключичной артерии, увеличение длины сосуда, аномальная артерия по задней поверхности пересекает правую общую сонную, левую общую сонную, левую подключичную артерии и пищевод, затем проходит ретроэзофагиально и поднимается косо наверх до наружного края первого ребра. Высокие возможности метода мультиспиральной компьютерной томографии позволяют объективно оценивать анатомические ориентиры при визуализации правой аберрантной подключичной артерии. Использование анатомических ориентиров при интерпритации данных мультиспиральной компьютерной томографии у обследованных с правой аберрантной подключичной артерией позволяет уменьшить показатели интраоперационных осложнений при выполнении операций на щитовидной железе и транскардиальных вмешательствах на коронарных сосудах.
